• 文献检索
  • 文档翻译
  • 深度研究
  • 学术资讯
  • Suppr Zotero 插件Zotero 插件
  • 邀请有礼
  • 套餐&价格
  • 历史记录
应用&插件
Suppr Zotero 插件Zotero 插件浏览器插件Mac 客户端Windows 客户端微信小程序
定价
高级版会员购买积分包购买API积分包
服务
文献检索文档翻译深度研究API 文档MCP 服务
关于我们
关于 Suppr公司介绍联系我们用户协议隐私条款
关注我们

Suppr 超能文献

核心技术专利:CN118964589B侵权必究
粤ICP备2023148730 号-1Suppr @ 2026

文献检索

告别复杂PubMed语法,用中文像聊天一样搜索,搜遍4000万医学文献。AI智能推荐,让科研检索更轻松。

立即免费搜索

文件翻译

保留排版,准确专业,支持PDF/Word/PPT等文件格式,支持 12+语言互译。

免费翻译文档

深度研究

AI帮你快速写综述,25分钟生成高质量综述,智能提取关键信息,辅助科研写作。

立即免费体验

采用延长后髓内钉技术对股骨远端部分截肢伴广泛节段性骨缺损进行保肢治疗:1例病例报告

Limb salvage in a partially amputated distal femur with extensive segmental bone loss using the nailing after lengthening technique: a case report.

作者信息

Wozasek Gerald Eliot

机构信息

Department of Trauma Surgery, Medical University of Vienna, Waehringerguertel 18-20, 1090, Vienna, Austria,

出版信息

Strategies Trauma Limb Reconstr. 2015 Apr;10(1):59-63. doi: 10.1007/s11751-015-0212-8. Epub 2015 Mar 10.

DOI:10.1007/s11751-015-0212-8
PMID:25754024
原文链接:https://pmc.ncbi.nlm.nih.gov/articles/PMC4395569/
Abstract

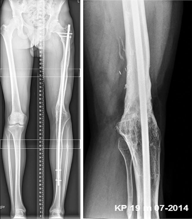
Segmental long bone defects resulting from high-energy trauma with severe soft tissue loss are difficult problems to manage. Amputation was for a long time the primary mainstay of treatment. This is the report on a 15-year-old male patient who sustained a third-degree open, traumatic fracture with partial amputation of the left distal femur and extensive bone loss of 26 cm. Successful limb salvage was performed after vascular repair, shortening of the bone defect, primary placement of an antibiotic cement spacer and simple external fixation. This was followed by bifocal lengthening modifying the simple frame until limb equality was achieved and secondary intramedullary nailing 11 months after injury.

摘要

因高能创伤导致的节段性长骨缺损伴有严重软组织缺失,是治疗上的难题。长期以来,截肢一直是主要的治疗手段。本文报告了一名15岁男性患者,其遭受了左股骨远端三度开放性创伤骨折,伴有部分截肢及26厘米的广泛骨质缺损。在进行血管修复、缩短骨缺损、一期植入抗生素骨水泥间隔物及简单外固定后,成功实施了保肢手术。随后进行双焦点延长,对简单外固定架进行改良,直至双下肢等长,伤后11个月进行二期髓内钉固定。

https://cdn.ncbi.nlm.nih.gov/pmc/blobs/81f3/4395569/0f77b2daf285/11751_2015_212_Fig6_HTML.jpg
https://cdn.ncbi.nlm.nih.gov/pmc/blobs/81f3/4395569/0b8290eaa361/11751_2015_212_Fig1_HTML.jpg
https://cdn.ncbi.nlm.nih.gov/pmc/blobs/81f3/4395569/deaef93cbc6f/11751_2015_212_Fig2_HTML.jpg
https://cdn.ncbi.nlm.nih.gov/pmc/blobs/81f3/4395569/9393f35639a8/11751_2015_212_Fig3_HTML.jpg
https://cdn.ncbi.nlm.nih.gov/pmc/blobs/81f3/4395569/91027464f6b6/11751_2015_212_Fig4_HTML.jpg
https://cdn.ncbi.nlm.nih.gov/pmc/blobs/81f3/4395569/90707e569706/11751_2015_212_Fig5_HTML.jpg
https://cdn.ncbi.nlm.nih.gov/pmc/blobs/81f3/4395569/0f77b2daf285/11751_2015_212_Fig6_HTML.jpg
https://cdn.ncbi.nlm.nih.gov/pmc/blobs/81f3/4395569/0b8290eaa361/11751_2015_212_Fig1_HTML.jpg
https://cdn.ncbi.nlm.nih.gov/pmc/blobs/81f3/4395569/deaef93cbc6f/11751_2015_212_Fig2_HTML.jpg
https://cdn.ncbi.nlm.nih.gov/pmc/blobs/81f3/4395569/9393f35639a8/11751_2015_212_Fig3_HTML.jpg
https://cdn.ncbi.nlm.nih.gov/pmc/blobs/81f3/4395569/91027464f6b6/11751_2015_212_Fig4_HTML.jpg
https://cdn.ncbi.nlm.nih.gov/pmc/blobs/81f3/4395569/90707e569706/11751_2015_212_Fig5_HTML.jpg
https://cdn.ncbi.nlm.nih.gov/pmc/blobs/81f3/4395569/0f77b2daf285/11751_2015_212_Fig6_HTML.jpg

相似文献

1
Limb salvage in a partially amputated distal femur with extensive segmental bone loss using the nailing after lengthening technique: a case report.采用延长后髓内钉技术对股骨远端部分截肢伴广泛节段性骨缺损进行保肢治疗:1例病例报告
Strategies Trauma Limb Reconstr. 2015 Apr;10(1):59-63. doi: 10.1007/s11751-015-0212-8. Epub 2015 Mar 10.
2
[Primary shortening--secondary lengthening. A new treatment concept for reconstruction of extensive soft tissue and bone injuries after 3rd degree open fracture and amputation of the lower leg].[一期缩短——二期延长。小腿Ⅲ度开放性骨折及截肢后广泛软组织和骨损伤重建的一种新治疗理念]
Handchir Mikrochir Plast Chir. 1998 Jan;30(1):30-9.
3
Successful limb salvage using the two-staged technique with internal fixation after osteodistraction in an effort to treat large segmental bone defects in the lower extremity.采用骨牵张后二期内固定技术成功保肢治疗下肢大节段骨缺损。
Arch Orthop Trauma Surg. 2012 Oct;132(10):1399-405. doi: 10.1007/s00402-012-1564-x. Epub 2012 Jun 15.
4
The Masquelet technique in the treatment of a non-infected open complex fracture of the distal tibia with severe bone and soft tissue loss: A case report.Masquelet技术治疗伴有严重骨与软组织缺损的胫骨远端非感染性开放性复杂骨折:病例报告
Injury. 2018 Dec;49 Suppl 4:S58-S62. doi: 10.1016/j.injury.2018.11.039. Epub 2018 Dec 3.
5
Bifocal compression-distraction in the acute treatment of grade III open tibia fractures with bone and soft-tissue loss: a report of 24 cases.双焦点加压-撑开技术在急性治疗伴有骨与软组织缺损的Ⅲ度开放性胫骨骨折中的应用:24例报告
J Orthop Trauma. 2004 Mar;18(3):150-7. doi: 10.1097/00005131-200403000-00005.
6
[Change in the procedure from external fixator to intramedullary nailing osteosynthesis of the femur and tibia].[股骨和胫骨从外固定器到髓内钉接骨术的手术方式改变]
Aktuelle Traumatol. 1993 Jul;23 Suppl 1:21-35.
7
[Single-plane external fixation of fresh fractures of the femur: critical analysis of 53 cases].[股骨新鲜骨折的单平面外固定:53例病例的批判性分析]
Rev Chir Orthop Reparatrice Appar Mot. 2005 Sep;91(5):446-56. doi: 10.1016/s0035-1040(05)84362-4.
8
Staged bone grafting following placement of an antibiotic spacer block for the management of segmental long bone defects.在放置抗生素间隔块后进行分期骨移植以治疗节段性长骨缺损。
Orthopedics. 2011 Nov 9;34(11):e730-5. doi: 10.3928/01477447-20110922-16.
9
Tibio-talo-calcaneal fusion after limb salvage procedures-A retrospective study.保肢手术后的胫距跟融合术——一项回顾性研究
Injury. 2017 Jul;48(7):1684-1688. doi: 10.1016/j.injury.2017.03.045. Epub 2017 Apr 15.
10
Simultaneous treatment of tibial bone and soft-tissue defects with the Ilizarov method.采用伊里扎洛夫方法同时治疗胫骨骨缺损和软组织缺损。
J Orthop Trauma. 2006 Mar;20(3):197-205. doi: 10.1097/00005131-200603000-00006.

引用本文的文献

1
Different Protocols of Combined Application of Photobiomodulation In Vitro and In Vivo Plus Adipose-Derived Stem Cells Improve the Healing of Bones in Critical Size Defects in Rat Models.体外和体内光生物调节联合应用不同方案加脂肪来源干细胞改善大鼠模型临界尺寸骨缺损的愈合
J Lasers Med Sci. 2022 Mar 5;13:e10. doi: 10.34172/jlms.2022.10. eCollection 2022.
2
Use of Tantalum Trabecular Metal Cones for Management of Nonunion of the Distal Femur with Segmental Bone Defects: Technique and Case Series.使用钽小梁金属锥体治疗伴有节段性骨缺损的股骨远端骨不连:技术与病例系列
J Orthop Case Rep. 2021 Jul;11(7):19-23. doi: 10.13107/jocr.2021.v11.i07.2298.
3

本文引用的文献

1
Lower limb salvage surgery using Ilizarov circular external frame for a landmine injury about the knee.使用伊利扎洛夫环形外固定架对膝关节附近地雷伤进行下肢保肢手术。
Eklem Hastalik Cerrahisi. 2013;24(1):41-5. doi: 10.5606/ehc.2013.10.
2
A cost-utility analysis of amputation versus salvage for Gustilo type IIIB and IIIC open tibial fractures.Gustilo ⅢB 和ⅢC 型开放性胫骨骨折保肢与截肢的成本-效用分析。
Plast Reconstr Surg. 2009 Dec;124(6):1965-1973. doi: 10.1097/PRS.0b013e3181bcf156.
3
The combined use of the Ilizarov method and microsurgical techniques for limb salvage.
Traumatic periimplant fracture after nail arthrodesis of the knee in a limb reconstruction case.
肢体重建病例中膝关节髓内钉固定术后的创伤性植入物周围骨折。
Trauma Case Rep. 2019 Feb 8;20:100173. doi: 10.1016/j.tcr.2019.100173. eCollection 2019 Apr.
伊里扎洛夫方法与显微外科技术联合用于肢体挽救。
Ann Plast Surg. 2009 May;62(5):486-91. doi: 10.1097/SAP.0b013e318189a9e5.
4
Limb lengthening and then insertion of an intramedullary nail: a case-matched comparison.肢体延长术及随后的髓内钉植入:病例匹配对照研究
Clin Orthop Relat Res. 2008 Dec;466(12):2923-32. doi: 10.1007/s11999-008-0509-8. Epub 2008 Sep 18.
5
Combined single-stage osseous and soft tissue reconstruction of the tibia with the Ilizarov method and tissue transfer.采用伊里扎洛夫方法和组织转移技术对胫骨进行联合单阶段骨与软组织重建。
J Orthop Trauma. 2008 Mar;22(3):183-9. doi: 10.1097/BOT.0b013e3181678a64.
6
Complex limb salvage or early amputation for severe lower-limb injury: a meta-analysis of observational studies.复杂肢体挽救术或严重下肢损伤的早期截肢术:观察性研究的荟萃分析
J Orthop Trauma. 2007 Jan;21(1):70-6. doi: 10.1097/BOT.0b013e31802cbc43.
7
Treatment of malunion and nonunion at the site of an ankle fusion with the Ilizarov apparatus.应用伊里扎洛夫器械治疗踝关节融合部位的畸形愈合和骨不连。
J Bone Joint Surg Am. 2005 Feb;87(2):302-9. doi: 10.2106/JBJS.C.01421.
8
Bifocal compression-distraction in the acute treatment of grade III open tibia fractures with bone and soft-tissue loss: a report of 24 cases.双焦点加压-撑开技术在急性治疗伴有骨与软组织缺损的Ⅲ度开放性胫骨骨折中的应用:24例报告
J Orthop Trauma. 2004 Mar;18(3):150-7. doi: 10.1097/00005131-200403000-00005.
9
Muscle reconstruction in reconstructive surgery: soft tissue repair and long bone reconstruction.重建手术中的肌肉重建:软组织修复与长骨重建。
Langenbecks Arch Surg. 2003 Oct;388(5):344-6. doi: 10.1007/s00423-003-0379-1. Epub 2003 Sep 11.
10
Bone reconstruction of the lower extremity: complications and outcomes.下肢骨重建:并发症与结果
Plast Reconstr Surg. 2003 Jun;111(7):2223-9. doi: 10.1097/01.PRS.0000060116.21049.53.