Reynolds Alan W, Melvin Patricia R, Yakish Eric J, Sotereanos Nicholas, Altman Gregory T, Sewecke Jeffrey J
Department of Orthopedic Surgery, Allegheny General Hospital, Pittsburgh, Pennsylvania, United States.
Department of Orthopedic Surgery, Mid-Atlantic Permanente Medical Group, North Bethesda, Maryland, United States.
J Orthop Case Rep. 2021 Jul;11(7):19-23. doi: 10.13107/jocr.2021.v11.i07.2298.
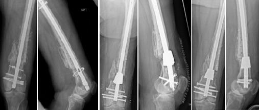
Segmental bone loss in the distal femur presents a challenge for reconstruction regardless of etiology. Use of tantalum trabecular metal cones with intramedullary fixation and autologous bone graft may be used as a salvage technique in difficult situations where other options have either been exhausted or are unavailable.
Surgical planning and technique for this approach to reconstruction are described. A retrospective review of five cases with >1 year of follow-up was performed to provide radiographic and clinical outcomes. All five patients had satisfactory outcomes with clinical union and retention of implants at final follow-up (average >4 years).
Use of tantalum metal cones for reconstruction of distal femur nonunion with segmental bone defects can be a successful technique in a complex group of patients.
无论病因如何,股骨远端的节段性骨缺损都给重建带来挑战。在其他选择已用尽或不可用时,使用带髓内固定的钽小梁金属锥体和自体骨移植可作为一种挽救技术用于困难情况。
描述了这种重建方法的手术规划和技术。对5例随访超过1年的病例进行回顾性研究,以提供影像学和临床结果。所有5例患者在末次随访时(平均>4年)均获得了满意的结果,实现了临床愈合且植入物保留良好。
对于伴有节段性骨缺损的股骨远端骨不连患者,使用钽金属锥体进行重建可能是一种成功的技术。