Li Fangyin, Xu Yipeng, Wang Hua, Chen B O, Wang Zongping, Zhao Yang, Zhu Shaoxing, Chen Guiping
Department of Urology, Zhejiang Cancer Hospital, Hangzhou, Zhejiang 310022, P.R. China.
Department of Pathology, Zhejiang Cancer Hospital, Hangzhou, Zhejiang 310022, P.R. China.
Oncol Lett. 2015 Apr;9(4):1687-1690. doi: 10.3892/ol.2015.2909. Epub 2015 Jan 27.
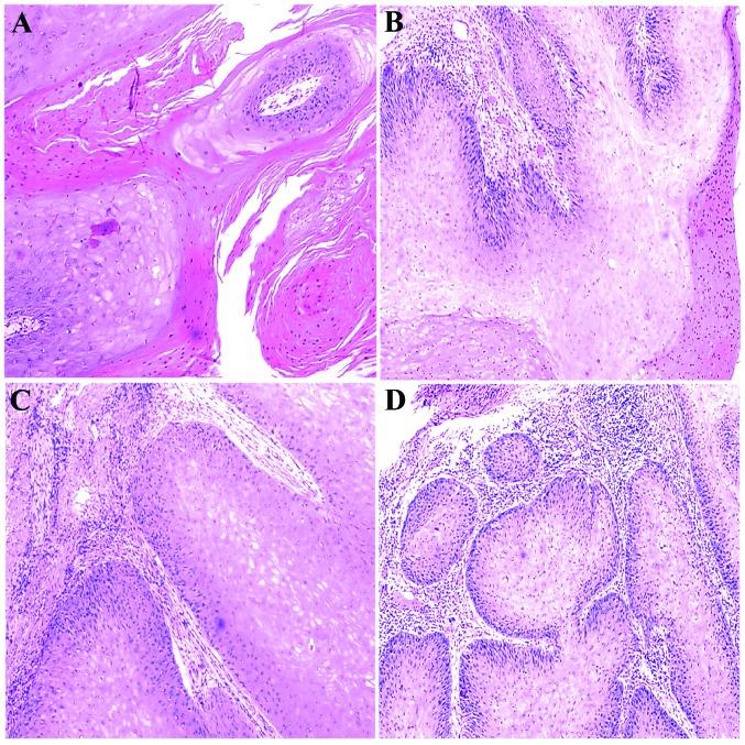
Penile verrucous carcinoma is an extremely rare disease that, at present, has not been well characterized. The etiology, diagnosis and treatment of this carcinoma remain poorly understood, particularly in the Chinese population. The aim of the present study was to discuss the methods of diagnosis and treatment of penile verrucous carcinoma in the Chinese population. The clinical and pathological data of 10 patients with penile verrucous carcinoma were analyzed alongside a literature review. All the tumors were exophytic papillary lesions, ranging between 0.4 and 4 cm in diameter and all 10 patients underwent partial penectomy with tumor-negative surgical margins. None of the 10 patients underwent ilioinguinal lymphadenectomy. All patients were regularly followed up for 0.7-9 years, which revealed that no patients developed recurrence, and only one case resulted in mortality due to unassociated causes. It was found that penile verrucous carcinoma is a well-differentiated disease with low malignant potential and locally aggressive features, which seldom metastasizes to regional lymph nodes or distant regions. However, misdiagnosis may occur due to an incorrect biopsy. Favorable outcomes can be achieved by surgery, even without any adjuvant therapy, but patients should be carefully followed up.
阴茎疣状癌是一种极为罕见的疾病,目前其特征尚未完全明确。这种癌症的病因、诊断和治疗仍知之甚少,在中国人群中尤其如此。本研究的目的是探讨中国人群中阴茎疣状癌的诊断和治疗方法。对10例阴茎疣状癌患者的临床和病理资料进行了分析,并结合文献复习。所有肿瘤均为外生性乳头状病变,直径在0.4至4厘米之间,所有10例患者均接受了肿瘤切缘阴性的部分阴茎切除术。10例患者均未接受髂腹股沟淋巴结清扫术。所有患者均定期随访0.7至9年,结果显示无患者复发,仅1例因无关原因死亡。研究发现,阴茎疣状癌是一种分化良好、恶性潜能低且具有局部侵袭性的疾病,很少转移至区域淋巴结或远处。然而,由于活检不正确可能会发生误诊。即使不进行任何辅助治疗,手术也可取得良好效果,但应对患者进行仔细随访。