• 文献检索
  • 文档翻译
  • 深度研究
  • 学术资讯
  • Suppr Zotero 插件Zotero 插件
  • 邀请有礼
  • 套餐&价格
  • 历史记录
应用&插件
Suppr Zotero 插件Zotero 插件浏览器插件Mac 客户端Windows 客户端微信小程序
定价
高级版会员购买积分包购买API积分包
服务
文献检索文档翻译深度研究API 文档MCP 服务
关于我们
关于 Suppr公司介绍联系我们用户协议隐私条款
关注我们

Suppr 超能文献

核心技术专利:CN118964589B侵权必究
粤ICP备2023148730 号-1Suppr @ 2026

文献检索

告别复杂PubMed语法,用中文像聊天一样搜索,搜遍4000万医学文献。AI智能推荐,让科研检索更轻松。

立即免费搜索

文件翻译

保留排版,准确专业,支持PDF/Word/PPT等文件格式,支持 12+语言互译。

免费翻译文档

深度研究

AI帮你快速写综述,25分钟生成高质量综述,智能提取关键信息,辅助科研写作。

立即免费体验

3特斯拉磁共振成像中偶然发现的胰腺囊肿的患病率

Prevalence of incidental pancreatic cysts on 3 tesla magnetic resonance.

作者信息

de Oliveira Patricia Bedesco, Puchnick Andrea, Szejnfeld Jacob, Goldman Suzan Menasce

机构信息

Department of Imaging Diagnosis, Escola Paulista de Medicina, Universidade Federal de São Paulo (UNIFESP), São Paulo, SP, Brazil.

出版信息

PLoS One. 2015 Mar 23;10(3):e0121317. doi: 10.1371/journal.pone.0121317. eCollection 2015.

DOI:10.1371/journal.pone.0121317
PMID:25798910
原文链接:https://pmc.ncbi.nlm.nih.gov/articles/PMC4370618/
Abstract

OBJECTIVES

To ascertain the prevalence of pancreatic cysts detected incidentally on 3-Tesla magnetic resonance imaging (MRI) of the abdomen and correlate this prevalence with patient age and gender; assess the number, location, and size of these lesions, as well as features suspicious for malignancy; and determine the prevalence of incidentally detected dilatation of the main pancreatic duct (MPD).

METHODS

Retrospective analysis of 2,678 reports of patients who underwent abdominal MRI between January 2012 and June 2013. Patients with a known history of pancreatic conditions or surgery were excluded, and the remaining 2,583 reports were examined for the presence of pancreatic cysts, which was then correlated with patient age and gender. We also assessed whether cysts were solitary or multiple, as well as their location within the pancreatic parenchyma, size, and features suspicious for malignancy. Finally, we calculated the prevalence of incidental MPD dilatation, defined as MPD diameter ≥ 2.5 mm.

RESULTS

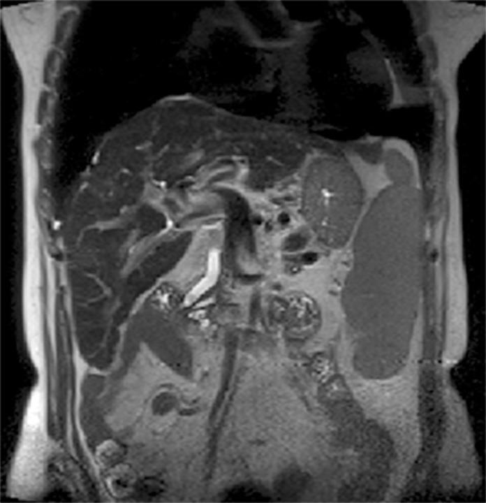
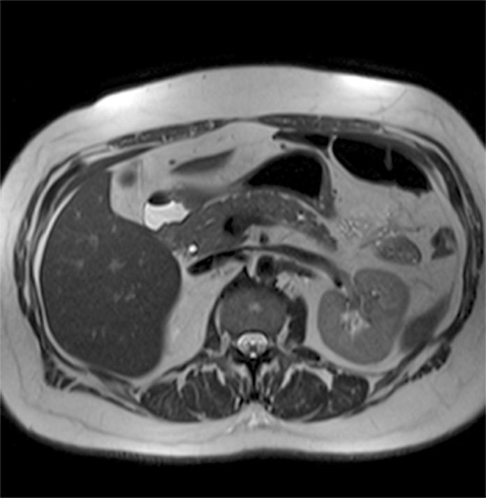
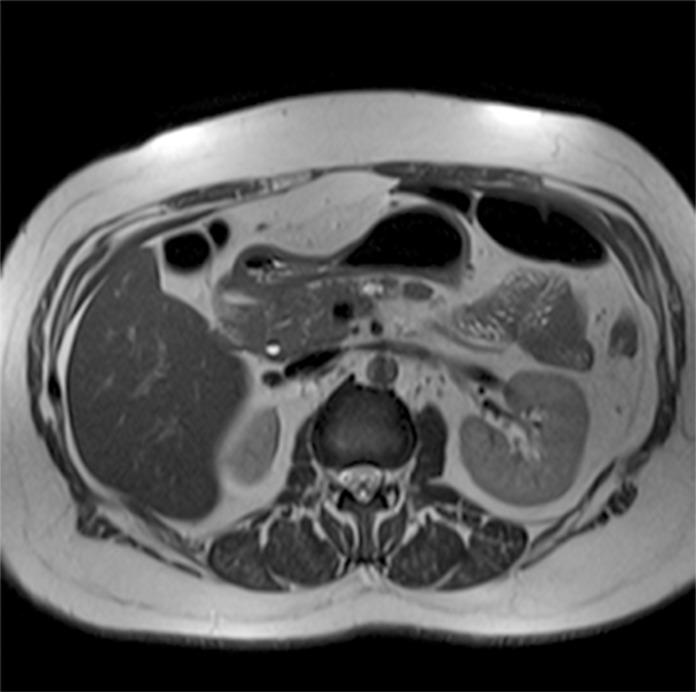
Pancreatic cysts were detected incidentally in 9.3% of patients (239/2,583). The prevalence of pancreatic cysts increased significantly with age (p<0.0001). There were no significant differences in prevalence between men and women (p=0.588). Most cysts were multiple (57.3%), distributed diffusely throughout the pancreas (41.8%), and 5 mm or larger (81.6%). In 12.1% of cases, cysts exhibited features suspicious for malignancy. Overall, 2.7% of subjects exhibited incidental MPD dilatation.

CONCLUSIONS

In this sample, the prevalence of pancreatic cysts detected incidentally on 3T MRI of the abdomen was 9.3%. Prevalence increased with age and was not associated with gender. The majority of cysts were multiple, diffusely distributed through the pancreatic parenchyma, and ≥ 5 mm in size; 12.1% were suspicious for malignancy. An estimated 2.7% of subjects had a dilated MPD.

摘要

目的

确定在腹部3特斯拉磁共振成像(MRI)检查中偶然发现的胰腺囊肿的患病率,并将该患病率与患者年龄和性别相关联;评估这些病变的数量、位置和大小,以及可疑恶性特征;并确定偶然发现的主胰管(MPD)扩张的患病率。

方法

回顾性分析2012年1月至2013年6月期间接受腹部MRI检查的2678例患者的报告。排除有已知胰腺疾病或手术史的患者,对其余2583份报告检查是否存在胰腺囊肿,然后将其与患者年龄和性别相关联。我们还评估囊肿是单发还是多发,以及它们在胰腺实质内的位置、大小和可疑恶性特征。最后,我们计算偶然MPD扩张的患病率,定义为MPD直径≥2.5毫米。

结果

9.3%的患者(239/2583)偶然发现胰腺囊肿。胰腺囊肿的患病率随年龄显著增加(p<0.0001)。男性和女性的患病率无显著差异(p=0.588)。大多数囊肿为多发(57.3%),弥漫分布于整个胰腺(41.8%),且直径为5毫米或更大(81.6%)。在12.1%的病例中,囊肿表现出可疑恶性特征。总体而言,2.7%的受试者表现出偶然的MPD扩张。

结论

在本样本中,腹部3T MRI偶然发现的胰腺囊肿患病率为9.3%。患病率随年龄增加,与性别无关。大多数囊肿为多发,弥漫分布于胰腺实质,大小≥5毫米;12.1%可疑恶性。估计2.7%的受试者有MPD扩张。

https://cdn.ncbi.nlm.nih.gov/pmc/blobs/6f8c/4370618/5e3fac1d6d51/pone.0121317.g008.jpg
https://cdn.ncbi.nlm.nih.gov/pmc/blobs/6f8c/4370618/0f2158f6b876/pone.0121317.g001.jpg
https://cdn.ncbi.nlm.nih.gov/pmc/blobs/6f8c/4370618/61c056a41e7c/pone.0121317.g002.jpg
https://cdn.ncbi.nlm.nih.gov/pmc/blobs/6f8c/4370618/ec59585a8f5c/pone.0121317.g003.jpg
https://cdn.ncbi.nlm.nih.gov/pmc/blobs/6f8c/4370618/505ae8e18672/pone.0121317.g004.jpg
https://cdn.ncbi.nlm.nih.gov/pmc/blobs/6f8c/4370618/004b633c068f/pone.0121317.g005.jpg
https://cdn.ncbi.nlm.nih.gov/pmc/blobs/6f8c/4370618/7fb8201db4b1/pone.0121317.g006.jpg
https://cdn.ncbi.nlm.nih.gov/pmc/blobs/6f8c/4370618/803152172b43/pone.0121317.g007.jpg
https://cdn.ncbi.nlm.nih.gov/pmc/blobs/6f8c/4370618/5e3fac1d6d51/pone.0121317.g008.jpg
https://cdn.ncbi.nlm.nih.gov/pmc/blobs/6f8c/4370618/0f2158f6b876/pone.0121317.g001.jpg
https://cdn.ncbi.nlm.nih.gov/pmc/blobs/6f8c/4370618/61c056a41e7c/pone.0121317.g002.jpg
https://cdn.ncbi.nlm.nih.gov/pmc/blobs/6f8c/4370618/ec59585a8f5c/pone.0121317.g003.jpg
https://cdn.ncbi.nlm.nih.gov/pmc/blobs/6f8c/4370618/505ae8e18672/pone.0121317.g004.jpg
https://cdn.ncbi.nlm.nih.gov/pmc/blobs/6f8c/4370618/004b633c068f/pone.0121317.g005.jpg
https://cdn.ncbi.nlm.nih.gov/pmc/blobs/6f8c/4370618/7fb8201db4b1/pone.0121317.g006.jpg
https://cdn.ncbi.nlm.nih.gov/pmc/blobs/6f8c/4370618/803152172b43/pone.0121317.g007.jpg
https://cdn.ncbi.nlm.nih.gov/pmc/blobs/6f8c/4370618/5e3fac1d6d51/pone.0121317.g008.jpg

相似文献

1
Prevalence of incidental pancreatic cysts on 3 tesla magnetic resonance.3特斯拉磁共振成像中偶然发现的胰腺囊肿的患病率
PLoS One. 2015 Mar 23;10(3):e0121317. doi: 10.1371/journal.pone.0121317. eCollection 2015.
2
Prevalence of incidental pancreatic cysts in the adult population on MR imaging.成人人群磁共振成像偶然发现的胰腺囊肿的患病率。
Am J Gastroenterol. 2010 Sep;105(9):2079-84. doi: 10.1038/ajg.2010.122. Epub 2010 Mar 30.
3
Association Between Advances in High-Resolution Cross-Section Imaging Technologies and Increase in Prevalence of Pancreatic Cysts From 2005 to 2014.2005年至2014年高分辨率横断面成像技术进展与胰腺囊肿患病率增加之间的关联
Clin Gastroenterol Hepatol. 2016 Apr;14(4):585-593.e3. doi: 10.1016/j.cgh.2015.08.038. Epub 2015 Sep 11.
4
Incidental pancreatic cysts: a frequent finding in liver-transplanted patients as assessed by 3D T2-weighted turbo spin echo magnetic resonance cholangiopancreatography.偶然发现的胰腺囊肿:通过三维T2加权快速自旋回波磁共振胰胆管造影评估发现,在肝移植患者中很常见。
JOP. 2009 Sep 4;10(5):507-14.
5
High prevalence of pancreatic cysts detected by screening magnetic resonance imaging examinations.通过筛查性磁共振成像检查发现胰腺囊肿的高患病率。
Clin Gastroenterol Hepatol. 2010 Sep;8(9):806-11. doi: 10.1016/j.cgh.2010.05.017. Epub 2010 Jun 1.
6
Incidental pancreatic cysts found by magnetic resonance imaging and their relationship with pancreatic cancer.磁共振成像偶然发现的胰腺囊肿及其与胰腺癌的关系。
Pancreas. 2012 Nov;41(8):1241-6. doi: 10.1097/MPA.0b013e31824f5970.
7
Transabdominal Ultrasound for Follow-Up of Incidentally Detected Low-Risk Pancreatic Cysts: A Prospective Multicenter Study.经腹超声对偶然发现的低危胰腺囊肿的随访:一项前瞻性多中心研究。
AJR Am J Roentgenol. 2021 Jun;216(6):1521-1529. doi: 10.2214/AJR.20.22965. Epub 2021 Apr 7.
8
Prevalence of incidental clinically relevant pancreatic cysts at diagnosis based on current guidelines.根据现行指南,诊断时偶然发现的具有临床相关性的胰腺囊肿的患病率。
Gastroenterol Hepatol. 2018 May;41(5):293-301. doi: 10.1016/j.gastrohep.2017.12.005. Epub 2018 Feb 9.
9
Delayed Growth in Incidental Pancreatic Cysts: Are the Current American College of Radiology Recommendations for Follow-up Appropriate?偶然发现的胰腺囊肿生长延迟:当前美国放射学会的随访建议是否合适?
Radiology. 2016 Mar;278(3):752-61. doi: 10.1148/radiol.2015140972. Epub 2015 Sep 4.
10
Prospective study on the incidence, prevalence and 5-year pancreatic-related mortality of pancreatic cysts in a population-based study.基于人群的研究中胰腺囊肿的发生率、患病率和 5 年胰腺相关死亡率的前瞻性研究。
Gut. 2018 Jan;67(1):138-145. doi: 10.1136/gutjnl-2016-313127. Epub 2017 Sep 6.

引用本文的文献

1
Prevalence of incidentally detected pancreatic cysts on magnetic resonance imaging in an adult population in Latin America.拉丁美洲成年人群中磁共振成像偶然发现的胰腺囊肿患病率。
Radiol Bras. 2025 Apr 14;58:e20240103. doi: 10.1590/0100-3984.2024.0103. eCollection 2025 Jan-Dec.
2
Global Prevalence of Pancreatic Cystic Lesions in the General Population on Magnetic Resonance Imaging: A Systematic Review and Meta-analysis.基于磁共振成像的普通人群胰腺囊性病变的全球患病率:系统评价和荟萃分析。
Clin Gastroenterol Hepatol. 2024 Sep;22(9):1798-1809.e6. doi: 10.1016/j.cgh.2024.02.018. Epub 2024 Feb 28.
3
The Role of Magnetic Resonance Imaging (MRI) in the Diagnosis of Pancreatic Cystic Lesions (PCLs).

本文引用的文献

1
Incidental pancreatic cysts found by magnetic resonance imaging and their relationship with pancreatic cancer.磁共振成像偶然发现的胰腺囊肿及其与胰腺癌的关系。
Pancreas. 2012 Nov;41(8):1241-6. doi: 10.1097/MPA.0b013e31824f5970.
2
Incidentally detected cystic lesions of the pancreas on CT: review of literature and management suggestions.CT偶然发现的胰腺囊性病变:文献综述与处理建议
Abdom Imaging. 2013 Apr;38(2):331-41. doi: 10.1007/s00261-012-9898-y.
3
Frequent detection of pancreatic lesions in asymptomatic high-risk individuals.
磁共振成像(MRI)在胰腺囊性病变(PCLs)诊断中的作用
Diagnostics (Basel). 2023 Feb 5;13(4):585. doi: 10.3390/diagnostics13040585.
4
Main pancreatic duct dilatation and pancreatic cysts in relatives and spouses of patients with pancreatic cancer.主胰管扩张和胰腺癌患者的亲属及配偶中的胰腺囊肿。
PLoS One. 2023 Jan 11;18(1):e0280403. doi: 10.1371/journal.pone.0280403. eCollection 2023.
5
A Novel Scoring System to Improve the Detection Efficiency of Pancreatic Cystic Lesions in the General Population.一种新型评分系统,提高普通人群胰腺囊性病变的检出效率。
Intern Med. 2023 Feb 1;62(3):335-344. doi: 10.2169/internalmedicine.9104-21. Epub 2022 Jul 14.
6
Clinical features and prognostic impact of asymptomatic pancreatic cancer.无症状胰腺癌的临床特征和预后影响。
Sci Rep. 2022 Mar 11;12(1):4262. doi: 10.1038/s41598-022-08083-6.
7
Opportunistic Detection for Pancreatic Cystic Lesions During Chest Multidetector CT Scans for Lung Cancer Screening.肺癌筛查胸部多排CT扫描时胰腺囊性病变的机会性检测
Cancer Manag Res. 2021 Oct 2;13:7559-7568. doi: 10.2147/CMAR.S327022. eCollection 2021.
8
Updates in diagnosis and management of pancreatic cysts.胰腺囊肿的诊断和治疗进展。
World J Gastroenterol. 2021 Sep 14;27(34):5700-5714. doi: 10.3748/wjg.v27.i34.5700.
9
Pancreas Cancer Incidence and Pancreas Cancer-Associated Mortality Are Low in National Cohort of 7211 Pancreas Cyst Patients.在一个包含 7211 例胰腺囊肿患者的全国性队列中,胰腺癌的发病率和与胰腺癌相关的死亡率较低。
Dig Dis Sci. 2022 Mar;67(3):1065-1072. doi: 10.1007/s10620-021-06923-5. Epub 2021 Mar 30.
10
Molecular analysis of cyst fluids improves the diagnostic accuracy of pre-operative assessment of pancreatic cystic lesions.对囊液进行分子分析可提高术前评估胰腺囊性病变的诊断准确性。
Sci Rep. 2021 Feb 3;11(1):2901. doi: 10.1038/s41598-021-81065-2.
频繁检测无症状高危人群的胰腺病变。
Gastroenterology. 2012 Apr;142(4):796-804; quiz e14-5. doi: 10.1053/j.gastro.2012.01.005. Epub 2012 Jan 12.
4
Prevalence of incidental pancreatic cysts in the adult population on MR imaging.成人人群磁共振成像偶然发现的胰腺囊肿的患病率。
Am J Gastroenterol. 2010 Sep;105(9):2079-84. doi: 10.1038/ajg.2010.122. Epub 2010 Mar 30.
5
Slight dilatation of the main pancreatic duct and presence of pancreatic cysts as predictive signs of pancreatic cancer: a prospective study.主胰管轻度扩张和胰腺囊肿存在作为胰腺癌的预测性征象:一项前瞻性研究。
Radiology. 2010 Mar;254(3):965-72. doi: 10.1148/radiol.09090992.
6
Prevalence of unsuspected pancreatic cysts on MDCT.多层螺旋CT(MDCT)检查中未被怀疑的胰腺囊肿的患病率。
AJR Am J Roentgenol. 2008 Sep;191(3):802-7. doi: 10.2214/AJR.07.3340.
7
Clinical importance of precursor lesions in the pancreas.胰腺前驱病变的临床重要性。
J Hepatobiliary Pancreat Surg. 2007;14(3):255-63. doi: 10.1007/s00534-006-1170-9. Epub 2007 May 29.
8
Cystic lesions of the pancreas: an appraisal of an aggressive resectional policy adopted at a single institution during 15 years.胰腺囊性病变:对某一机构在15年间所采用的积极切除策略的评估。
Am J Surg. 2006 Aug;192(2):148-54. doi: 10.1016/j.amjsurg.2006.02.020.
9
Cystic pancreatic neoplasms: observe or operate.胰腺囊性肿瘤:观察还是手术。
Ann Surg. 2004 May;239(5):651-7; discussion 657-9. doi: 10.1097/01.sla.0000124299.57430.ce.
10
Cystic pancreatic neoplasms: enucleate or resect?胰腺囊性肿瘤:剜除还是切除?
J Gastrointest Surg. 2003 Nov;7(7):890-7. doi: 10.1007/s11605-003-0035-7.