Suppr超能文献

用于儿童和青少年股骨近端截骨术的空心锁定接骨板

Cannulated, locking blade plates for proximal femoral osteotomy in children and adolescents.

作者信息

Zhou Leena, Camp Mark, Gahukamble Abhay, Khot Abhay, Graham H Kerr

机构信息

Department of Paediatrics, The University of Melbourne, Carlton, VIC, 3052, Australia.

出版信息

J Child Orthop. 2015 Apr;9(2):121-7. doi: 10.1007/s11832-015-0649-9. Epub 2015 Mar 24.

Abstract

BACKGROUND

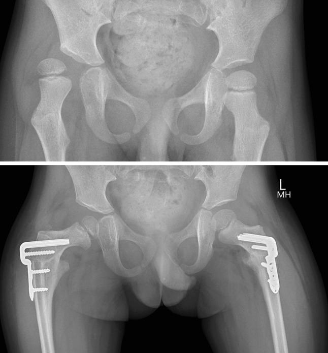
Proximal femoral osteotomy is the most common major reconstructive surgery in the region of the hip joint in children and adolescents. Given that it may be required across a wide range of ages and indications, appropriate instrumentation is necessary to ensure a technically satisfactory result. Recent developments in fixation include cannulation of the blade plate and locking screw technology.

METHODS

We conducted a prospective audit of our first 25 patients who had a unilateral or bilateral proximal femoral osteotomy using a recently available system which combines cannulation and locking plate technology. The principal outcome measures were the radiographic position of the osteotomy at the time of union and surgical adverse events.

RESULTS

Forty-five proximal femoral osteotomies were performed in 25 patients, mean age 8 years (range 3-17 years), for a variety of indications, the most common of which was hip subluxation in children with cerebral palsy. All osteotomies were soundly united by 6 weeks in children and by 3 months in adolescents, in the position achieved intra-operatively. There were no revision procedures and the technical goals of surgery were achieved in all patients. There was one adverse event, a low-grade peri-prosthetic infection, diagnosed at the time of implant removal.

CONCLUSIONS

In this prospective audit of our first 25 patients, the new system performed well across a wide range of ages, body weights and surgical indications. Further comparative studies will be required to determine whether it offers additional advantages over more traditional systems.

摘要

背景

股骨近端截骨术是儿童和青少年髋关节区域最常见的主要重建手术。鉴于该手术可能适用于广泛的年龄范围和适应证,因此需要合适的器械以确保获得技术上令人满意的结果。固定技术的最新进展包括刀片钢板的套管置入和锁定螺钉技术。

方法

我们对首批25例接受单侧或双侧股骨近端截骨术的患者进行了前瞻性审计,这些患者使用了一种结合了套管置入和锁定钢板技术的现有系统。主要观察指标为截骨处愈合时的影像学位置及手术不良事件。

结果

25例患者共进行了45次股骨近端截骨术,平均年龄8岁(范围3 - 17岁),适应证多样,其中最常见的是脑瘫患儿的髋关节半脱位。所有截骨在儿童6周时和青少年3个月时均牢固愈合,且处于术中达到的位置。无翻修手术,所有患者均实现了手术的技术目标。有1例不良事件,在取出植入物时诊断为轻度假体周围感染。

结论

在对我们首批25例患者的这项前瞻性审计中,新系统在广泛的年龄、体重和手术适应证范围内表现良好。需要进一步的比较研究来确定它是否比更传统的系统具有更多优势。

https://cdn.ncbi.nlm.nih.gov/pmc/blobs/5b22/4417733/4b2b25f6f22e/11832_2015_649_Fig1_HTML.jpg

文献检索

告别复杂PubMed语法,用中文像聊天一样搜索,搜遍4000万医学文献。AI智能推荐,让科研检索更轻松。

立即免费搜索

文件翻译

保留排版,准确专业,支持PDF/Word/PPT等文件格式,支持 12+语言互译。

免费翻译文档

深度研究

AI帮你快速写综述,25分钟生成高质量综述,智能提取关键信息,辅助科研写作。

立即免费体验