Suppr超能文献

认知训练引起的短期功能和长期结构的可塑性变化与健康老年人的整体认知能力的提高有关:一项初步研究。

Cognitive training-induced short-term functional and long-term structural plastic change is related to gains in global cognition in healthy older adults: a pilot study.

机构信息

Regenerative Neuroscience Group, Brain and Mind Research Institute, University of Sydney Sydney, NSW, Australia.

Regenerative Neuroscience Group, Brain and Mind Research Institute, University of Sydney Sydney, NSW, Australia ; Monash Clinical and Imaging Neuroscience, School of Psychological Science, Monash University Melbourne, VIC, Australia.

出版信息

Front Aging Neurosci. 2015 Mar 9;7:14. doi: 10.3389/fnagi.2015.00014. eCollection 2015.

Abstract

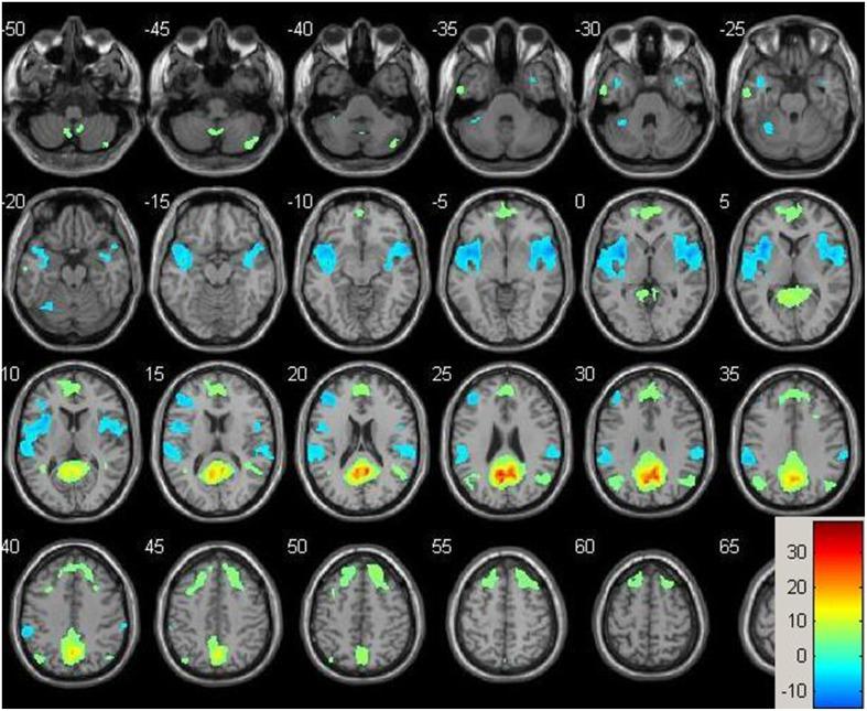
Computerized cognitive training (CCT) is a safe and inexpensive intervention to enhance cognitive performance in the elderly. However, the neural underpinning of CCT-induced effects and the timecourse by which such neural changes occur are unknown. Here, we report on results from a pilot study of healthy older adults who underwent three 1-h weekly sessions of either multidomain CCT program (n = 7) or an active control intervention (n = 5) over 12 weeks. Multimodal magnetic resonance imaging (MRI) scans and cognitive assessments were performed at baseline and after 9 and 36 h of training. Voxel-based structural analysis revealed a significant Group × Time interaction in the right post-central gyrus indicating increased gray matter density in the CCT group compared to active control at both follow-ups. Across the entire sample, there were significant positive correlations between changes in the post-central gyrus and change in global cognition after 36 h of training. A post-hoc vertex-based analysis found a significant between-group difference in rate of thickness change between baseline and post-training in the left fusiform gyrus, as well as a large cluster in the right parietal lobe covering the supramarginal and post-central gyri. Resting-state functional connectivity between the posterior cingulate and the superior frontal gyrus, and between the right hippocampus and the superior temporal gyrus significantly differed between the two groups after 9 h of training and correlated with cognitive change post-training. No significant interactions were found for any of the spectroscopy and diffusion tensor imaging data. Though preliminary, our results suggest that functional change may precede structural and cognitive change, and that about one-half of the structural change occurs within the first 9 h of training. Future studies are required to determine the role of these brain changes in the mechanisms underlying CCT-induced cognitive effects.

摘要

计算机认知训练(CCT)是一种安全且廉价的干预手段,可增强老年人的认知表现。然而,CCT 诱导效应的神经基础以及这些神经变化发生的时间进程尚不清楚。在这里,我们报告了一项针对健康老年人的试点研究结果,这些老年人接受了为期 12 周的每周 3 次、每次 1 小时的多维 CCT 方案(n = 7)或主动对照干预(n = 5)。在基线以及训练 9 和 36 小时后,进行了多模态磁共振成像(MRI)扫描和认知评估。基于体素的结构分析显示,右侧后中央回存在显著的组间×时间交互作用,表明与主动对照组相比,CCT 组在两次随访时的灰质密度均增加。在整个样本中,在后中央回的变化与 36 小时训练后的整体认知变化之间存在显著的正相关。事后顶点分析发现,在基线和训练后之间,左侧梭状回的厚度变化率在两组之间存在显著差异,以及右侧顶叶的一个大簇,覆盖了缘上回和后中央回。在训练 9 小时后,后扣带回与额上回之间以及右侧海马体与颞上回之间的静息态功能连接在两组之间存在显著差异,并且与训练后的认知变化相关。在任何光谱学和弥散张量成像数据中均未发现显著的交互作用。尽管初步研究结果,但我们的研究结果表明,功能变化可能先于结构和认知变化,并且大约一半的结构变化发生在训练的前 9 小时内。需要进一步的研究来确定这些大脑变化在 CCT 诱导的认知效应的机制中的作用。

https://cdn.ncbi.nlm.nih.gov/pmc/blobs/0e3a/4353252/8d846688f93d/fnagi-07-00014-g0001.jpg

文献AI研究员

20分钟写一篇综述,助力文献阅读效率提升50倍。

立即体验

用中文搜PubMed

大模型驱动的PubMed中文搜索引擎

马上搜索

文档翻译

学术文献翻译模型,支持多种主流文档格式。

立即体验