Suppr超能文献

一例乳腺癌患者在接受他莫昔芬治疗后发生上矢状窦硬脑膜动静脉瘘。

A case of dural arteriovenous fistula of superior sagittal sinus after tamoxifen treatment for breast cancer.

作者信息

Hwang Sung-Kyun

机构信息

Department of Neurosurgery, College of Medicine, Ewha Womans University, Mokdong Hospital, Seoul, Korea.

出版信息

J Korean Neurosurg Soc. 2015 Mar;57(3):204-7. doi: 10.3340/jkns.2015.57.3.204. Epub 2015 Mar 20.

Abstract

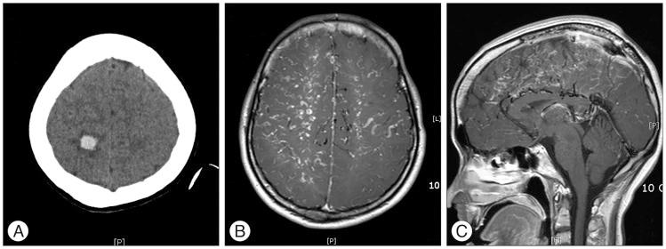
We are reporting an unusual case of dural arteriovenous fistula (AVF) of the superior sagittal sinus (SSS) after tamoxifen treatment for breast cancer. A 30-year-old female arrived at the emergency room with a sudden headache and left sided weakness and sensory loss. In her past medical history, she was diagnosed with breast cancer 1 year prior, and subsequently underwent a breast conserving mastectomy with whole breast radiation and adjuvant chemotherapy with tamoxifen. At the time of admission, computed tomography showed a small acute intracerebral hemorrhage at the right parietal cortex, and magnetic resonance imaging showed that a dural AVF at the SSS with a prominent and tortuous venous enhancement along the centrum semiovale was present. Cerebral angiography showed that the dural AVF at the mid-portion of the SSS with meningeal arterial feeding vessels entering the wall of the SSS, then draining through the dilated cortical veins. Our patient had no signs of active malignancy or any abnormalities in her coagulation profile, so it can be concluded that the tamoxifen was the likely cause of the SSS thrombosis and dural AVF. The dural AVF was treated by an endovascular coil embolization for the arterialized segment of the SSS. The patient dramatically recovered favorably from left side motor and sensory deficit. The best clinical approach is to screen potential patients of tamoxifen hormonal therapy and educate them on the sign and symptoms of life threatening thromboembolic events while taking tamoxifen.

摘要

我们报告了一例在他莫昔芬治疗乳腺癌后发生上矢状窦(SSS)硬脑膜动静脉瘘(AVF)的罕见病例。一名30岁女性因突发头痛、左侧肢体无力和感觉丧失入住急诊室。既往病史显示,她1年前被诊断为乳腺癌,随后接受了保乳乳房切除术、全乳放疗以及他莫昔芬辅助化疗。入院时,计算机断层扫描显示右侧顶叶皮质有一小片急性脑内出血,磁共振成像显示SSS处存在硬脑膜AVF,沿半卵圆中心有明显且迂曲的静脉强化。脑血管造影显示SSS中部的硬脑膜AVF,有脑膜动脉供血血管进入SSS壁,然后通过扩张的皮质静脉引流。我们的患者没有活动性恶性肿瘤迹象,凝血指标也无任何异常,因此可以得出结论,他莫昔芬可能是导致SSS血栓形成和硬脑膜AVF的原因。通过血管内弹簧圈栓塞术治疗了SSS动脉化段的硬脑膜AVF。患者左侧运动和感觉功能障碍显著好转。最佳临床处理方法是筛查他莫昔芬激素治疗的潜在患者,并告知他们在服用他莫昔芬期间危及生命的血栓栓塞事件的体征和症状。

https://cdn.ncbi.nlm.nih.gov/pmc/blobs/3a36/4373050/a20d61693988/jkns-57-204-g001.jpg

相似文献

1
A case of dural arteriovenous fistula of superior sagittal sinus after tamoxifen treatment for breast cancer.
J Korean Neurosurg Soc. 2015 Mar;57(3):204-7. doi: 10.3340/jkns.2015.57.3.204. Epub 2015 Mar 20.
4
Dural arteriovenous fistula involving the superior sagittal sinus following sinus thrombosis--case report.
Neurol Med Chir (Tokyo). 2002 May;42(5):217-20. doi: 10.2176/nmc.42.217.
6
A case of dural arteriovenous fistula draining to the diploic vein presenting with intracerebral hemorrhage.
J Neurosurg. 2016 Mar;124(3):726-9. doi: 10.3171/2015.2.JNS142227. Epub 2015 Aug 21.
7
Multiple Dural and Pial Arteriovenous Fistulae in a Twenty-Four-Year-Old Woman in the Setting of Superior Sagittal Sinus Thrombosis: Case Report and Review of Literature.
J Stroke Cerebrovasc Dis. 2016 Oct;25(10):e192-9. doi: 10.1016/j.jstrokecerebrovasdis.2016.07.037. Epub 2016 Aug 17.
10
Atypical dural arteriovenous fistula associated with meningitis.
Neurol Med Chir (Tokyo). 2008 Feb;48(2):68-71. doi: 10.2176/nmc.48.68.

引用本文的文献

1
A Comprehensive Analysis of Dural Arteriovenous Fistula Involving the Superior Sagittal Sinus: A Systematic Review.
J Neuroendovasc Ther. 2021;15(1):1-7. doi: 10.5797/jnet.ra.2020-0085. Epub 2020 Sep 8.
2
Cyclosporine-A-Induced Intracranial Thrombotic Complications: Systematic Review and Cases Report.
Front Neurol. 2021 Feb 11;11:563037. doi: 10.3389/fneur.2020.563037. eCollection 2020.
3
Chemotherapy associated dural sinus thrombosis presenting as a cerebrospinal fluid leak.
BMJ Case Rep. 2020 Jun 1;13(6):e235240. doi: 10.1136/bcr-2020-235240.
4
Cyclosporin A-related cerebral venous sinus thrombosis: A case report.
Medicine (Baltimore). 2018 Aug;97(31):e11642. doi: 10.1097/MD.0000000000011642.

本文引用的文献

3
4
The natural history and management of intracranial dural arteriovenous fistulae. Part 2: aggressive lesions.
Interv Neuroradiol. 1997 Dec 20;3(4):303-11. doi: 10.1177/159101999700300405. Epub 2001 May 15.
5
The natural history and management of intracranial dural arteriovenous fistulae. Part 1: benign lesions.
Interv Neuroradiol. 1997 Dec 20;3(4):295-302. doi: 10.1177/159101999700300404. Epub 2001 May 15.
6
Endovascular treatment of intracranial dural arteriovenous fistulas with cortical venous drainage: new management using Onyx.
AJNR Am J Neuroradiol. 2008 Feb;29(2):235-41. doi: 10.3174/ajnr.A0817. Epub 2007 Nov 7.
7
Thrombosis of the cerebral veins and sinuses.
N Engl J Med. 2005 Jul 21;353(3):314-5.
8
The cerebrovascular risks associated with tamoxifen use.
Expert Opin Drug Saf. 2005 May;4(3):501-7. doi: 10.1517/14740338.4.3.501.
9
Tamoxifen: a new risk factor for cerebral sinus thrombosis.
Neurology. 2004 Jan 27;62(2):334-5. doi: 10.1212/01.wnl.0000103294.81923.12.
10
A case with cerebral thrombosis receiving tamoxifen treatment.
Eur J Neurol. 2001 Nov;8(6):723-4. doi: 10.1046/j.1468-1331.2001.00297.x.

文献AI研究员

20分钟写一篇综述,助力文献阅读效率提升50倍。

立即体验

用中文搜PubMed

大模型驱动的PubMed中文搜索引擎

马上搜索

文档翻译

学术文献翻译模型,支持多种主流文档格式。

立即体验