Suppr超能文献

莫尔比昂病与面部播散性粟粒性狼疮:一例报告。

Morbihan disease and extrafacial lupus miliaris disseminatus faceie: a case report.

作者信息

Kou Kenzen, Chin Keishi, Matsukura Setsuko, Sasaki Takeshi, Nozawa Akinori, Aihara Michiko, Kambara Takeshi

机构信息

Dr. Kenzen Kou, Department of Environmental Immuno-Dermatology, Yokohama City University Graduate School of Medicine and Department of Dermatology Yokohama City Medical Center, Yokohama, Japan, T: +81-45-787-2675; F: +81-45-786-0243, kenzenkou@ yeah.net.

出版信息

Ann Saudi Med. 2014 Jul-Aug;34(4):351-3. doi: 10.5144/0256-4947.2014.351.

Abstract

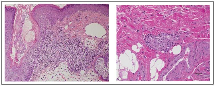
Lupus miliaris disseminatus faciei (LMDF) is characterized by discrete dome-shaped papules on the bilateral face and neck. We report the first case of LMDF with a widespread distribution of extrafacial papules and concomitant bilateral eyelid edema. A unique case of a 30-year-old man presented with nonpruritic, painless, papular eruptions (3-5 mm in diameter) involving the bilateral trunk and upper extremities, along with bilateral eyelid edema. There was no facial eruption involved. The outbreak initially involved the back, and gradually spread to the chest and wrists. The histologic examination of the eyelids revealed histiocytic epitheloid cells, dermal intercellular edema, and an expanded vascular space, which led to the diagnosis of Morbihan disease. The immunohistochemical staining of the truncal eruption revealed nodular inflammatory changes involving the middle to lower dermis around the follicles, containing histiocytes, multinucleated giant cells, and small lymphocytes. This led to the diagnosis of LMDF. The truncal papular eruption ultimately improved with roxithromycin treatment, but the eyelid edema required surgical treatment.

摘要

面部播散性粟粒性狼疮(LMDF)的特征是双侧面部和颈部出现孤立的圆顶状丘疹。我们报告了首例伴有广泛面部外丘疹分布及双侧眼睑水肿的LMDF病例。一名30岁男性的独特病例,表现为双侧躯干和上肢出现非瘙痒性、无痛性丘疹(直径3 - 5毫米),伴有双侧眼睑水肿。未累及面部皮疹。皮疹最初出现在背部,逐渐蔓延至胸部和手腕。眼睑组织学检查显示组织细胞上皮样细胞、真皮细胞间水肿和血管间隙增宽,这导致诊断为莫尔比昂病。躯干皮疹的免疫组化染色显示毛囊周围中至下真皮出现结节性炎症改变,包含组织细胞、多核巨细胞和小淋巴细胞。这导致诊断为LMDF。躯干丘疹性皮疹最终通过罗红霉素治疗得到改善,但眼睑水肿需要手术治疗。

https://cdn.ncbi.nlm.nih.gov/pmc/blobs/bf5f/6152571/ba5b8376f8a8/asm-4-351f1.jpg

文献AI研究员

20分钟写一篇综述,助力文献阅读效率提升50倍。

立即体验

用中文搜PubMed

大模型驱动的PubMed中文搜索引擎

马上搜索

文档翻译

学术文献翻译模型,支持多种主流文档格式。

立即体验