• 文献检索
  • 文档翻译
  • 深度研究
  • 学术资讯
  • Suppr Zotero 插件Zotero 插件
  • 邀请有礼
  • 套餐&价格
  • 历史记录
应用&插件
Suppr Zotero 插件Zotero 插件浏览器插件Mac 客户端Windows 客户端微信小程序
定价
高级版会员购买积分包购买API积分包
服务
文献检索文档翻译深度研究API 文档MCP 服务
关于我们
关于 Suppr公司介绍联系我们用户协议隐私条款
关注我们

Suppr 超能文献

核心技术专利:CN118964589B侵权必究
粤ICP备2023148730 号-1Suppr @ 2026

文献检索

告别复杂PubMed语法,用中文像聊天一样搜索,搜遍4000万医学文献。AI智能推荐,让科研检索更轻松。

立即免费搜索

文件翻译

保留排版,准确专业,支持PDF/Word/PPT等文件格式,支持 12+语言互译。

免费翻译文档

深度研究

AI帮你快速写综述,25分钟生成高质量综述,智能提取关键信息,辅助科研写作。

立即免费体验

新发组织样麻风:来自消除后地区的一例病例报告。

De novo histoid leprosy: a case report from a post-elimination area.

作者信息

Bhat Yasmeen J, Hassan Iffat, Yaseen Atiya, Wani Rohi

机构信息

Department of Dermatology, STD and Leprosy, Government Medical College, Srinagar, Jammu and Kashmir, India.

Department of Pathology, Government Medical College, Srinagar, Jammu and Kashmir, India.

出版信息

Indian J Dermatol. 2015 Mar-Apr;60(2):214. doi: 10.4103/0019-5154.152590.

DOI:10.4103/0019-5154.152590
PMID:25814742
原文链接:https://pmc.ncbi.nlm.nih.gov/articles/PMC4372946/
Abstract

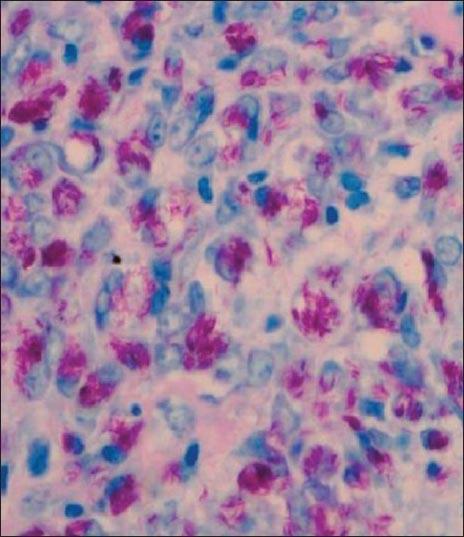
Histoid leprosy is an uncommon variant of lepromatous leprosy that usually follows treatment failure. Occasionally it occurs de novo without any history of previous inadequate or irregular treatment. We, hereby, report a case of de novo histoid leprosy in a 25-year-old man from the post-elimination area of Kashmir, where the prevalence rate of the disease was reported to be 0.17/10000 in March, 2013 (NLEP).

摘要

组织样麻风是瘤型麻风的一种罕见变异型,通常发生于治疗失败后。偶尔也会在没有任何先前治疗不足或不规范病史的情况下新发。在此,我们报告一例来自克什米尔消除地区的25岁男性新发组织样麻风病例,该地区在2013年3月报告的该病患病率为0.17/10000(国家麻风病消除项目)。

https://cdn.ncbi.nlm.nih.gov/pmc/blobs/6492/4372946/bc612962fad6/IJD-60-214c-g004.jpg
https://cdn.ncbi.nlm.nih.gov/pmc/blobs/6492/4372946/0ac9d8286afd/IJD-60-214c-g001.jpg
https://cdn.ncbi.nlm.nih.gov/pmc/blobs/6492/4372946/f8dc725b2c2d/IJD-60-214c-g002.jpg
https://cdn.ncbi.nlm.nih.gov/pmc/blobs/6492/4372946/d40da0cacf40/IJD-60-214c-g003.jpg
https://cdn.ncbi.nlm.nih.gov/pmc/blobs/6492/4372946/bc612962fad6/IJD-60-214c-g004.jpg
https://cdn.ncbi.nlm.nih.gov/pmc/blobs/6492/4372946/0ac9d8286afd/IJD-60-214c-g001.jpg
https://cdn.ncbi.nlm.nih.gov/pmc/blobs/6492/4372946/f8dc725b2c2d/IJD-60-214c-g002.jpg
https://cdn.ncbi.nlm.nih.gov/pmc/blobs/6492/4372946/d40da0cacf40/IJD-60-214c-g003.jpg
https://cdn.ncbi.nlm.nih.gov/pmc/blobs/6492/4372946/bc612962fad6/IJD-60-214c-g004.jpg

相似文献

1
De novo histoid leprosy: a case report from a post-elimination area.新发组织样麻风:来自消除后地区的一例病例报告。
Indian J Dermatol. 2015 Mar-Apr;60(2):214. doi: 10.4103/0019-5154.152590.
2
De Novo Histoid Leprosy.新发组织样麻风
Indian J Dermatol. 2015 Sep-Oct;60(5):525. doi: 10.4103/0019-5154.159666.
3
De novo histoid leprosy in a Colombian patient with multiple skin nodules on the ears and extremities.一名哥伦比亚患者耳部和四肢出现多个皮肤结节,诊断为新发类组织细胞型麻风。
Rev Soc Bras Med Trop. 2019 Feb 14;52:e20160502. doi: 10.1590/0037-8682-0502-2016.
4
De novo histoid leprosy in an elderly: a case report and review of the literature.老年患者的新发组织样麻风:一例病例报告及文献复习
Case Rep Pathol. 2012;2012:219421. doi: 10.1155/2012/219421. Epub 2012 Nov 5.
5
De-novo histoid hansen cases.新发组织样汉森病病例。
J Glob Infect Dis. 2014 Jan;6(1):19-22. doi: 10.4103/0974-777X.127944.
6
De-novo histoid leprosy.新发组织样麻风
J Lab Physicians. 2011 Jul;3(2):110-2. doi: 10.4103/0974-2727.86844.
7
De Novo Histoid Leprosy With Unusual Histological Features.具有不寻常组织学特征的新发组织样麻风
Cureus. 2021 Nov 3;13(11):e19230. doi: 10.7759/cureus.19230. eCollection 2021 Nov.
8
Histoid leprosy: a retrospective study of 40 cases from India.组织样麻风:对来自印度的40例病例的回顾性研究。
Br J Dermatol. 2009 Feb;160(2):305-10. doi: 10.1111/j.1365-2133.2008.08899.x. Epub 2008 Oct 22.
9
de novo Histoid leprosy: an expatriate case recently diagnosed in Johannesburg.新发结节性麻风:一名最近在约翰内斯堡被诊断出的侨民病例。
Rev Soc Bras Med Trop. 2019 Dec 20;53:e20190468. doi: 10.1590/0037-8682-0468-2018. eCollection 2019.
10
Isolated case of mucosal histoid Hansen's disease of the nasal cavity in a post-global elimination era.孤立性鼻腔组织细胞型汉森病 1 例——消除时代之后。
J Infect Public Health. 2015 Nov-Dec;8(6):630-3. doi: 10.1016/j.jiph.2015.05.002. Epub 2015 Jun 18.

引用本文的文献

1
Localized Glistening Nodules of the Right Ear: A Rare Occurrence of Histoid Leprosy.右耳局限性闪亮结节:类脂质渐进性坏死的罕见病例
Indian J Dermatol. 2016 Nov-Dec;61(6):694-696. doi: 10.4103/0019-5154.193703.

本文引用的文献

1
Leprosy in post-elimination era in India: difficult journey ahead.印度消除麻风病后的时代:前路艰难。
Indian J Dermatol. 2013 Nov;58(6):443-6. doi: 10.4103/0019-5154.119952.
2
A clinical and histopathological study of histoid leprosy.组织样麻风的临床和组织病理学研究。
Int J Dermatol. 2013 May;52(5):580-6. doi: 10.1111/j.1365-4632.2012.05753.x.
3
De-novo histoid leprosy.新发组织样麻风
J Lab Physicians. 2011 Jul;3(2):110-2. doi: 10.4103/0974-2727.86844.
4
Histoid leprosy: the impact of the entity on the postglobal leprosy elimination era.组织样麻风:该实体对全球麻风消除后时代的影响。
Int J Dermatol. 2009 Jun;48(6):603-10. doi: 10.1111/j.1365-4632.2009.03992.x.
5
Histoid leprosy: a retrospective study of 40 cases from India.组织样麻风:对来自印度的40例病例的回顾性研究。
Br J Dermatol. 2009 Feb;160(2):305-10. doi: 10.1111/j.1365-2133.2008.08899.x. Epub 2008 Oct 22.
6
Histoid leprosy as reservoir of the disease; a challenge to leprosy elimination.类组织细胞型麻风作为疾病的储存宿主;对消除麻风病的一项挑战。
Lepr Rev. 2007 Mar;78(1):47-9.
7
Lepromatous leprosy of histoid type.
Indian J Med Microbiol. 2007 Jan;25(1):70-1. doi: 10.4103/0255-0857.31069.
8
Histoid, a clinical variant of multibacillary leprosy: report from so-called nonendemic areas.
Int J Lepr Other Mycobact Dis. 2000 Sep;68(3):267-71.
9
Histoid leprosy in North India.印度北部的组织样麻风。
Int J Lepr Other Mycobact Dis. 1974 Apr-Jun;42(2):174-81.
10
Histoid leprosy.
Int J Dermatol. 1985 Jun;24(5):286-92. doi: 10.1111/j.1365-4362.1985.tb05783.x.