Suppr超能文献

脉络膜和视网膜的血管性肿瘤。

Vascular tumors of the choroid and retina.

作者信息

Shanmugam P Mahesh, Ramanjulu Rajesh

机构信息

Vitreo-retina and Ocular Oncology, Sankara Eye Hospital, Bengaluru, Karnataka, India.

出版信息

Indian J Ophthalmol. 2015 Feb;63(2):133-40. doi: 10.4103/0301-4738.154387.

Abstract

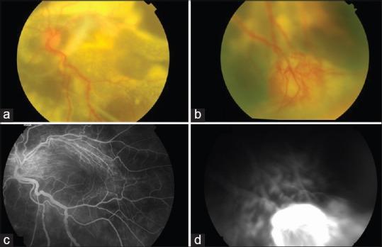
Vascular tumors of the retina and choroid can be seen occasionally. In the following article, the key clinical and diagnostic features of the major retinal and choroidal vascular tumors, their systemic associations, and the literature pertaining to the most currently available treatment strategies are reviewed.

摘要

视网膜和脉络膜血管肿瘤偶尔可见。在以下文章中,将对主要视网膜和脉络膜血管肿瘤的关键临床和诊断特征、它们与全身的关联以及与目前最常用治疗策略相关的文献进行综述。

https://cdn.ncbi.nlm.nih.gov/pmc/blobs/6ec4/4399122/fa9cbd8e93fd/IJO-63-133-g001.jpg

文献AI研究员

20分钟写一篇综述,助力文献阅读效率提升50倍。

立即体验

用中文搜PubMed

大模型驱动的PubMed中文搜索引擎

马上搜索

文档翻译

学术文献翻译模型,支持多种主流文档格式。

立即体验