Suppr超能文献

盲肠憩室炎:临床表现与治疗

Caecal diverticulitis: Presentation and management.

作者信息

Cristaudo Adam, Pillay Praga, Naidu Sanjeev

机构信息

The Queen Elizabeth II Hospital, Coopers Plains, Queensland, Australia.

The Queen Elizabeth II Hospital, Coopers Plains, Queensland, Australia ; University of Queensland, Brisbane, Queensland, Australia.

出版信息

Ann Med Surg (Lond). 2015 Feb 23;4(1):72-5. doi: 10.1016/j.amsu.2015.02.002. eCollection 2015 Mar.

Abstract

INTRODUCTION

While left sided colonic diverticular disease is common in Western countries, right sided colonic diverticular disease is rare. With increasing migration from Asia, many western countries including Australia, are now seeing more right sided diverticular disease, of which caecal diverticulitis is the commonest. This study aims to determine the incidence of caecal diverticulitis in patients presenting with colonic diverticulitis, as well as identify the symptoms and clinical features that may aid in making a pre-operative diagnosis.

METHODS

Data was collected using the Queen Elizabeth II Hospital medical records database identifying patients diagnosed with colonic diverticulitis and, more specifically, those with caecal diverticulitis from January 2007 to December 2013. Only those patients who had confirmed caecal diverticulitis on imaging studies or at laparoscopy on their first admission were included in this study.

RESULTS

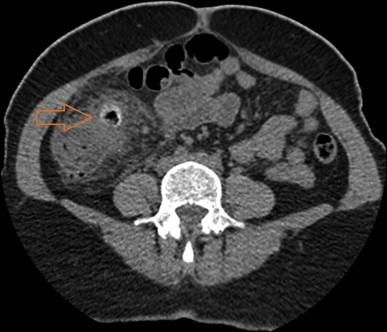
A total of 632 patients with colonic diverticulitis were admitted to our institution over a seven-year period, of which 13 patients had caecal diverticulitis (2.06%). Of the 13 patients, twelve were of Asian background and ten were considered young (≤50 years of age). The main complaints were right sided abdominal pain (n = 11, 84.6%) and diarrhoea (n = 5, 38.5%). Nine were diagnosed using computed tomography (n = 9/10, 90%), three on laparoscopy and one using ultrasound (n = 1/2, 50%). Ten patients were treated successfully by conservative means.

DISCUSSION

A high index of suspicion in Asian patients with atypical symptoms of appendicitis, especially diarrhoea, may provide the diagnosis of caecal diverticulitis.

摘要

引言

虽然左侧结肠憩室病在西方国家很常见,但右侧结肠憩室病却很罕见。随着来自亚洲的移民增加,包括澳大利亚在内的许多西方国家现在出现了更多的右侧憩室病,其中盲肠憩室炎最为常见。本研究旨在确定结肠憩室炎患者中盲肠憩室炎的发病率,并识别有助于进行术前诊断的症状和临床特征。

方法

使用伊丽莎白二世女王医院的医疗记录数据库收集数据,确定2007年1月至2013年12月期间被诊断为结肠憩室炎的患者,更具体地说是患有盲肠憩室炎的患者。本研究仅纳入那些在首次入院时经影像学检查或腹腔镜检查确诊为盲肠憩室炎的患者。

结果

在七年期间,共有632例结肠憩室炎患者入住我院,其中13例患有盲肠憩室炎(2.06%)。在这13例患者中,12例具有亚洲背景,10例被认为是年轻人(≤50岁)。主要症状为右侧腹痛(n = 11,84.6%)和腹泻(n = 5,38.5%)。9例通过计算机断层扫描确诊(n = 9/10,90%),3例通过腹腔镜检查确诊,1例通过超声检查确诊(n = 1/2,50%)。10例患者通过保守治疗成功治愈。

讨论

对有非典型阑尾炎症状,尤其是腹泻的亚洲患者保持高度怀疑,可能有助于诊断盲肠憩室炎。

https://cdn.ncbi.nlm.nih.gov/pmc/blobs/a357/4355451/529044dbcb10/gr1.jpg

相似文献

1
Caecal diverticulitis: Presentation and management.
Ann Med Surg (Lond). 2015 Feb 23;4(1):72-5. doi: 10.1016/j.amsu.2015.02.002. eCollection 2015 Mar.
2
Surgery for right-sided colonic diverticulitis: results of a 10-year-observation period.
Langenbecks Arch Surg. 2007 Mar;392(2):143-7. doi: 10.1007/s00423-006-0109-6. Epub 2006 Oct 28.
3
Right-sided diverticulitis in a Western population.
Int J Colorectal Dis. 2022 Jun;37(6):1251-1256. doi: 10.1007/s00384-022-04135-5. Epub 2022 May 4.
4
[Surgical therapy in right-sided diverticulitis].
Zentralbl Chir. 2005 Apr;130(2):123-7. doi: 10.1055/s-2005-836337.
5
Laparoscopic treatment of caecal diverticulitis.
Chir Ital. 2006 Jan-Feb;58(1):55-9.
6
Conservative treatment of right-sided colonic diverticulitis.
Eur J Gastroenterol Hepatol. 2012 Nov;24(11):1254-8. doi: 10.1097/MEG.0b013e328357e672.
7
Right sided diverticulitis in western countries: A review.
World J Gastrointest Surg. 2021 Dec 27;13(12):1721-1735. doi: 10.4240/wjgs.v13.i12.1721.
9
Non-operative treatment of right-sided colonic diverticulitis has good long-term outcome: a review of 226 patients.
Int J Colorectal Dis. 2013 Jun;28(6):849-54. doi: 10.1007/s00384-012-1595-3. Epub 2012 Oct 16.

引用本文的文献

1
Unusual Variations and Atypical Presentations of Diverticulitis.
Clin Colon Rectal Surg. 2024 Oct 7;38(4):277-282. doi: 10.1055/s-0044-1791553. eCollection 2025 Jul.
2
Cecal Diverticulitis in a Geriatric Patient.
Cureus. 2022 Aug 21;14(8):e28231. doi: 10.7759/cureus.28231. eCollection 2022 Aug.
3
An Unusual Case of Right Lower Quadrant Pain: A Case Report.
Clin Pract Cases Emerg Med. 2022 Feb;6(1):61-63. doi: 10.5811/cpcem.2021.11.53795.
4
Right sided diverticulitis in western countries: A review.
World J Gastrointest Surg. 2021 Dec 27;13(12):1721-1735. doi: 10.4240/wjgs.v13.i12.1721.
5
Right-sided acute diverticulitis in the West: experience at a university hospital in Argentina.
Ann Coloproctol. 2023 Apr;39(2):123-130. doi: 10.3393/ac.2021.00402.0057. Epub 2021 Nov 24.
6
Caecal diverticulitis can be misdiagnosed as acute appendicitis: a systematic review of the literature.
Colorectal Dis. 2021 Oct;23(10):2515-2526. doi: 10.1111/codi.15818. Epub 2021 Aug 3.
8
Diverticulitis: An Update From the Age Old Paradigm.
Curr Probl Surg. 2020 Oct;57(10):100862. doi: 10.1016/j.cpsurg.2020.100862. Epub 2020 Jul 18.
9
Solitary cecal diverticulitis, a rare cause of right lower quadrant pain: Four cases.
North Clin Istanb. 2018 Mar 15;5(2):148-152. doi: 10.14744/nci.2017.60565. eCollection 2018.
10
Colorectal surgeon consensus with diverticulitis clinical practice guidelines.
World J Gastrointest Surg. 2017 Nov 27;9(11):224-232. doi: 10.4240/wjgs.v9.i11.224.

本文引用的文献

1
Diagnosing appendicitis: evidence-based review of the diagnostic approach in 2014.
West J Emerg Med. 2014 Nov;15(7):859-71. doi: 10.5811/westjem.2014.9.21568. Epub 2014 Oct 7.
2
Diagnostic markers in acute appendicitis.
Am J Surg. 2015 Jun;209(6):1043-7. doi: 10.1016/j.amjsurg.2014.05.024. Epub 2014 Jul 29.
3
Colonic diverticulitis in young Asians: a predominantly mild and right-sided disease.
ANZ J Surg. 2014 Mar;84(3):181-4. doi: 10.1111/ans.12273. Epub 2013 Jun 25.
4
Therapy of solitary cecal diverticulitis in a young patient with laparoscopic right hemicolectomy.
Surg Laparosc Endosc Percutan Tech. 2011 Aug;21(4):e176-8. doi: 10.1097/SLE.0b013e31821e5f96.
5
Smoking increases the incidence of complicated diverticular disease of the sigmoid colon.
Scand J Surg. 2010;99(1):14-7. doi: 10.1177/145749691009900104.
7
Acute diverticulitis of the right colon.
Am J Surg. 1996 Feb;171(2):244-6. doi: 10.1016/S0002-9610(97)89559-1.
8
Diverticulitis of the cecum and ascending colon.
Dis Colon Rectum. 1984 Jul;27(7):454-8. doi: 10.1007/BF02555537.
9
Diverticular disease of the colon in Japan. A review of 615 cases.
Dis Colon Rectum. 1984 Aug;27(8):531-7. doi: 10.1007/BF02555517.
10
Surgical management of right colon diverticulitis.
Dis Colon Rectum. 1992 Aug;35(8):799-802. doi: 10.1007/BF02050332.

文献AI研究员

20分钟写一篇综述,助力文献阅读效率提升50倍。

立即体验

用中文搜PubMed

大模型驱动的PubMed中文搜索引擎

马上搜索

文档翻译

学术文献翻译模型,支持多种主流文档格式。

立即体验