Suppr超能文献

伴有皮肤表现的黄色瘤型菊池病。

Kikuchi's disease of the xanthomathous type with cutaneous manifestations.

作者信息

Resende Cristina, Araújo Catarina, Duarte Maria da Luz, Vieira Ana Paula, Brito Celeste

机构信息

Hospital de Braga, Braga, Portugal.

出版信息

An Bras Dermatol. 2015 Mar-Apr;90(2):245-7. doi: 10.1590/abd1806-4841.20153228.

Abstract

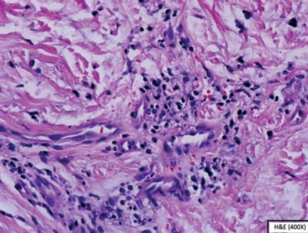
Kikuchi's disease is a benign, self-limiting disease, whose pathogenesis remains unknown. Patients most often present with cervical lymphadenopathy, sometimes associated with fever and leukopenia. It has been reported that up to 40% of patients with Kikuchi's disease have also cutaneous eruptions, but no specific skin changes have been described. Kikuchi's disease can be subclassified into three histologic subtypes: a proliferative type, a necrotizing type and a xantomathous type. Most patients with Kikuchi's disease require no specific treatment, because the disease regresses spontaneously, within a few weeks to months. We report a case of a 31-year-old woman with xanthomatous type of Kikuchi's disease, whose first manifestation was the onset of erythematous papules with central suppuration on her face and on her left hand.

摘要

菊池病是一种良性的自限性疾病,其发病机制尚不清楚。患者最常表现为颈部淋巴结病,有时伴有发热和白细胞减少。据报道,高达40%的菊池病患者也有皮肤疹,但尚未描述具体的皮肤变化。菊池病可分为三种组织学亚型:增殖型、坏死型和黄色瘤型。大多数菊池病患者不需要特殊治疗,因为该病会在几周至几个月内自行消退。我们报告一例31岁女性的黄色瘤型菊池病,其首发表现为面部和左手出现中央化脓的红斑丘疹。

https://cdn.ncbi.nlm.nih.gov/pmc/blobs/8795/4371676/09cfd99b4a79/abd-90-02-0245-g01.jpg

文献检索

告别复杂PubMed语法,用中文像聊天一样搜索,搜遍4000万医学文献。AI智能推荐,让科研检索更轻松。

立即免费搜索

文件翻译

保留排版,准确专业,支持PDF/Word/PPT等文件格式,支持 12+语言互译。

免费翻译文档

深度研究

AI帮你快速写综述,25分钟生成高质量综述,智能提取关键信息,辅助科研写作。

立即免费体验