• 文献检索
  • 文档翻译
  • 深度研究
  • 学术资讯
  • Suppr Zotero 插件Zotero 插件
  • 邀请有礼
  • 套餐&价格
  • 历史记录
应用&插件
Suppr Zotero 插件Zotero 插件浏览器插件Mac 客户端Windows 客户端微信小程序
定价
高级版会员购买积分包购买API积分包
服务
文献检索文档翻译深度研究API 文档MCP 服务
关于我们
关于 Suppr公司介绍联系我们用户协议隐私条款
关注我们

Suppr 超能文献

核心技术专利:CN118964589B侵权必究
粤ICP备2023148730 号-1Suppr @ 2026

文献检索

告别复杂PubMed语法,用中文像聊天一样搜索,搜遍4000万医学文献。AI智能推荐,让科研检索更轻松。

立即免费搜索

文件翻译

保留排版,准确专业,支持PDF/Word/PPT等文件格式,支持 12+语言互译。

免费翻译文档

深度研究

AI帮你快速写综述,25分钟生成高质量综述,智能提取关键信息,辅助科研写作。

立即免费体验

下颌骨成釉细胞纤维肉瘤:一例报告并文献简要回顾

Ameloblastic fibrosarcoma of the mandible: a case report and brief review of the literature.

作者信息

Loya-Solis Abelardo, González-Colunga Karla Judith, Pérez-Rodríguez Cynthia M, Ramírez-Ochoa Natalie Sofía, Ceceñas-Falcón Luis, Barboza-Quintana Oralia

机构信息

Pathology Department, University Hospital "Dr. Jose E. Gonzalez" and Medical School of the Autonomous University of Nuevo Leon, Francisco I. Madero and Gonzalitos, 64460 Monterrey, NL, Mexico.

Otolaryngology-Head and Neck Surgery Department, University Hospital "Dr. Jose E. Gonzalez" and Medical School of the Autonomous University of Nuevo Leon, Francisco I. Madero and Gonzalitos, 64460 Monterrey, NL, Mexico.

出版信息

Case Rep Pathol. 2015;2015:245026. doi: 10.1155/2015/245026. Epub 2015 Mar 10.

DOI:10.1155/2015/245026
PMID:25861504
原文链接:https://pmc.ncbi.nlm.nih.gov/articles/PMC4377457/
Abstract

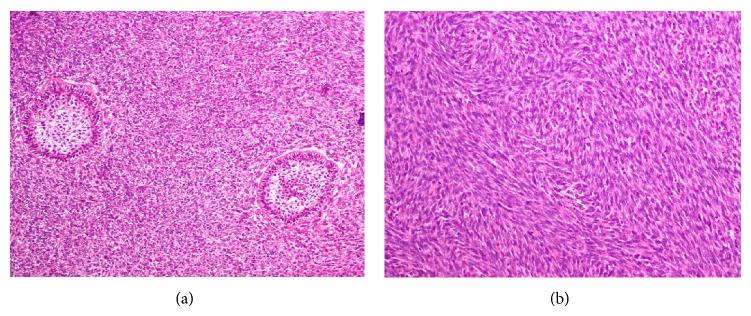
Ameloblastic fibrosarcoma is an uncommon odontogenic tumor composed of a benign epithelial component and a malignant ectomesenchymal component most frequently seen in the third and fourth decades of life. It mainly presents as a painful maxillary or mandibular swelling. Radiographs show a radiolucent mass with ill-defined borders. Radical surgical excision and long-term follow-up are the suggested treatment. We report the case of a 22-year-old female with a 2-month history of an asymptomatic swelling in her left mandible. Examination revealed an exophytic growth measuring 3 × 3 cm extending from the mandibular left first premolar to the second molar. The patient underwent a left hemimandibular resection. Histopathological examination revealed a biphasic tumor composed of inconspicuous islands of benign odontogenic epithelium and an abundant malignant mesenchymal component with marked cellularity, nuclear pleomorphism, hyperchromatism, and moderate mitotic figures with clear margins; one year after the surgical procedure, the patient is clinically and radiologically disease-free.

摘要

成釉细胞纤维肉瘤是一种罕见的牙源性肿瘤,由良性上皮成分和恶性外胚间叶成分组成,最常见于30至40岁。它主要表现为上颌或下颌的疼痛性肿胀。X线片显示边界不清的透射性肿块。建议的治疗方法是根治性手术切除和长期随访。我们报告一例22岁女性,左下颌无症状肿胀2个月。检查发现一个从左下颌第一前磨牙延伸至第二磨牙的外生性肿物,大小为3×3厘米。患者接受了左半下颌骨切除术。组织病理学检查显示为双相性肿瘤,由不明显的良性牙源性上皮岛和丰富的恶性间叶成分组成,细胞丰富,有明显的核多形性、核深染,有中度核分裂象且边界清晰;手术后一年,患者临床和影像学检查均无疾病。

https://cdn.ncbi.nlm.nih.gov/pmc/blobs/36fd/4377457/b07d11f0d2e0/CRIPA2015-245026.007.jpg
https://cdn.ncbi.nlm.nih.gov/pmc/blobs/36fd/4377457/680df6caa776/CRIPA2015-245026.001.jpg
https://cdn.ncbi.nlm.nih.gov/pmc/blobs/36fd/4377457/e4bc01500672/CRIPA2015-245026.002.jpg
https://cdn.ncbi.nlm.nih.gov/pmc/blobs/36fd/4377457/3115ba8d2352/CRIPA2015-245026.003.jpg
https://cdn.ncbi.nlm.nih.gov/pmc/blobs/36fd/4377457/6f8839baca76/CRIPA2015-245026.004.jpg
https://cdn.ncbi.nlm.nih.gov/pmc/blobs/36fd/4377457/f47ef5331099/CRIPA2015-245026.005.jpg
https://cdn.ncbi.nlm.nih.gov/pmc/blobs/36fd/4377457/eb742af0ecfc/CRIPA2015-245026.006.jpg
https://cdn.ncbi.nlm.nih.gov/pmc/blobs/36fd/4377457/b07d11f0d2e0/CRIPA2015-245026.007.jpg
https://cdn.ncbi.nlm.nih.gov/pmc/blobs/36fd/4377457/680df6caa776/CRIPA2015-245026.001.jpg
https://cdn.ncbi.nlm.nih.gov/pmc/blobs/36fd/4377457/e4bc01500672/CRIPA2015-245026.002.jpg
https://cdn.ncbi.nlm.nih.gov/pmc/blobs/36fd/4377457/3115ba8d2352/CRIPA2015-245026.003.jpg
https://cdn.ncbi.nlm.nih.gov/pmc/blobs/36fd/4377457/6f8839baca76/CRIPA2015-245026.004.jpg
https://cdn.ncbi.nlm.nih.gov/pmc/blobs/36fd/4377457/f47ef5331099/CRIPA2015-245026.005.jpg
https://cdn.ncbi.nlm.nih.gov/pmc/blobs/36fd/4377457/eb742af0ecfc/CRIPA2015-245026.006.jpg
https://cdn.ncbi.nlm.nih.gov/pmc/blobs/36fd/4377457/b07d11f0d2e0/CRIPA2015-245026.007.jpg

相似文献

1
Ameloblastic fibrosarcoma of the mandible: a case report and brief review of the literature.下颌骨成釉细胞纤维肉瘤:一例报告并文献简要回顾
Case Rep Pathol. 2015;2015:245026. doi: 10.1155/2015/245026. Epub 2015 Mar 10.
2
Ameloblastic fibro-odontosarcoma of the mandible in a pediatric patient.一名儿科患者下颌骨的成釉细胞纤维牙肉瘤
Eur Ann Otorhinolaryngol Head Neck Dis. 2016 Dec;133(6):419-421. doi: 10.1016/j.anorl.2015.11.010. Epub 2016 Apr 26.
3
Ameloblastic fibrosarcoma: a rare malignant odontogenic tumor.成釉纤维肉瘤:一种罕见的恶性牙源性肿瘤。
Eur Ann Otorhinolaryngol Head Neck Dis. 2014 Feb;131(1):53-6. doi: 10.1016/j.anorl.2013.03.001. Epub 2013 Jul 9.
4
Ameloblastic fibrosarcoma transformation from ameloblastic fibroma.成釉细胞纤维瘤转变为成釉细胞纤维肉瘤。
Natl J Maxillofac Surg. 2022 Aug;13(Suppl 1):S145-S149. doi: 10.4103/njms.NJMS_100_20. Epub 2022 Aug 20.
5
Ameloblastic fibro-odontosarcoma of the mandible with active epithelial proliferation: A rare case report.下颌骨成釉细胞纤维牙肉瘤伴活跃上皮增生:一例罕见病例报告
Mol Clin Oncol. 2017 Dec;7(6):971-975. doi: 10.3892/mco.2017.1448. Epub 2017 Oct 12.
6
Clinical management of primary odontogenic sarcoma in the mandible: a case report after WHO nomination.下颌原发性牙源性肉瘤的临床管理:世界卫生组织命名后的病例报告
J Biomed Res. 2022 Jan 28;36(1):58-62. doi: 10.7555/JBR.35.20210133.
7
Ameloblastic fibrosarcoma of the mandible: A case report and mini review.下颌骨成釉细胞纤维肉瘤:一例报告及简要综述。
Exp Ther Med. 2014 Nov;8(5):1463-1466. doi: 10.3892/etm.2014.1940. Epub 2014 Aug 29.
8
Ameloblastic Fibrosarcoma Arising in the Maxilla.上颌骨发生的成釉细胞纤维肉瘤
Ochsner J. 2016 Summer;16(2):143-5.
9
Malignant transformation of ameloblastic fibroma to ameloblastic fibrosarcoma: case report and review of the literature.成釉细胞纤维瘤恶变成为成釉细胞纤维肉瘤:病例报告及文献复习
J Craniomaxillofac Surg. 2005 Oct;33(5):352-5. doi: 10.1016/j.jcms.2005.04.006.
10
Ameloblastic fibroodontoma of the mandible with normal karyotype in a pediatric patient.一名小儿患者下颌骨的成釉细胞纤维牙瘤,核型正常。
Case Rep Dent. 2012;2012:969687. doi: 10.1155/2012/969687. Epub 2012 Aug 9.

引用本文的文献

1
Ameloblastic fibrosarcoma of the maxilla arising in an old woman, a rare case report and literature review.上颌骨造釉细胞瘤性纤维肉瘤:一例老年女性罕见病例报告及文献复习。
BMC Oral Health. 2024 Jun 27;24(1):743. doi: 10.1186/s12903-024-04509-x.
2
Clinical management of primary odontogenic sarcoma in the mandible: a case report after WHO nomination.下颌原发性牙源性肉瘤的临床管理:世界卫生组织命名后的病例报告
J Biomed Res. 2022 Jan 28;36(1):58-62. doi: 10.7555/JBR.35.20210133.
3
A maxillary ameloblastic fibrosarcoma tumor: a rare case report from Syria.

本文引用的文献

1
Ameloblastic fibrosarcoma of the mandible: A case report and mini review.下颌骨成釉细胞纤维肉瘤:一例报告及简要综述。
Exp Ther Med. 2014 Nov;8(5):1463-1466. doi: 10.3892/etm.2014.1940. Epub 2014 Aug 29.
2
Ameloblastic fibrosarcoma: a rare malignant odontogenic tumor.成釉纤维肉瘤:一种罕见的恶性牙源性肿瘤。
Eur Ann Otorhinolaryngol Head Neck Dis. 2014 Feb;131(1):53-6. doi: 10.1016/j.anorl.2013.03.001. Epub 2013 Jul 9.
3
Ameloblastic fibrosarcoma of the mandible: treatment, long-term follow-up, and subsequent reconstruction of a case.
一例上颌成釉细胞性纤维肉瘤:叙利亚的罕见病例报告。
J Surg Case Rep. 2020 Aug 6;2020(8):rjaa255. doi: 10.1093/jscr/rjaa255. eCollection 2020 Aug.
4
Odontogenic sarcoma: First report after new who nomenclature with systematic review.牙源性肉瘤:基于新的世界卫生组织命名法并经系统评价后的首例报告
J Oral Maxillofac Pathol. 2020 Jan-Apr;24(1):157-163. doi: 10.4103/jomfp.JOMFP_14_20. Epub 2020 May 8.
5
A mixed odontogenic sarcoma: A challenging histopathologic case and brief review of the literature.混合性牙源性肉瘤:一例具有挑战性的组织病理学病例及文献简要综述。
J Oral Maxillofac Pathol. 2018 Jan;22(Suppl 1):S29-S34. doi: 10.4103/jomfp.JOMFP_74_17.
6
Ameloblastic fibro-odontosarcoma of the mandible with active epithelial proliferation: A rare case report.下颌骨成釉细胞纤维牙肉瘤伴活跃上皮增生:一例罕见病例报告
Mol Clin Oncol. 2017 Dec;7(6):971-975. doi: 10.3892/mco.2017.1448. Epub 2017 Oct 12.
7
A delayed presentation of ameloblastic fibrosarcoma in an African patient.一名非洲患者的成釉细胞纤维肉瘤延迟表现。
BMJ Case Rep. 2017 Aug 1;2017:bcr-2017-220436. doi: 10.1136/bcr-2017-220436.
8
Successful treatment of a rare case of ameloblastic fibrosarcoma with radiation therapy.放射治疗成功治愈一例罕见的成釉细胞纤维肉瘤病例。
Strahlenther Onkol. 2017 Aug;193(8):666-672. doi: 10.1007/s00066-017-1136-7. Epub 2017 Apr 25.
下颌骨成釉细胞纤维肉瘤:一例病例的治疗、长期随访及后续重建
J Oral Maxillofac Surg. 2012 Dec;70(12):2930-5. doi: 10.1016/j.joms.2012.02.018. Epub 2012 Apr 26.
4
Ameloblastic fibrosarcoma: report of a case, study of immunophenotype, and comprehensive review of the literature.成釉细胞纤维肉瘤:一例报告、免疫表型研究及文献综述
J Oral Maxillofac Surg. 2012 Aug;70(8):2007-12. doi: 10.1016/j.joms.2011.09.012. Epub 2011 Dec 16.
5
Ameloblastic fibrosarcoma of the mandible: report of 2 chemosensitive pediatric cases.下颌骨成釉细胞纤维肉瘤:2例化疗敏感儿童病例报告
J Pediatr Hematol Oncol. 2012 Mar;34(2):e72-6. doi: 10.1097/MPH.0b013e31821ba989.
6
Immunoexpression of Ki67, proliferative cell nuclear antigen, and Bcl-2 proteins in a case of ameloblastic fibrosarcoma.Ki67、增殖细胞核抗原和 Bcl-2 蛋白在成釉细胞瘤性纤维肉瘤中的免疫表达。
Ann Diagn Pathol. 2010 Dec;14(6):447-52. doi: 10.1016/j.anndiagpath.2009.10.007. Epub 2010 Feb 4.
7
Lectures on Certain Diseases of the Jaws.颌部某些疾病讲座
Br Med J. 1887 Jul 2;2(1383):5-13. doi: 10.1136/bmj.2.1383.5.
8
Rapid sarcomatous transformation of an ameloblastic fibroma of the mandible: case report and literature review.下颌骨成釉细胞纤维瘤的快速肉瘤样转变:病例报告及文献复习
Oral Surg Oral Med Oral Pathol Oral Radiol Endod. 2009 Sep;108(3):e80-5. doi: 10.1016/j.tripleo.2008.07.031.
9
Malignant transformation of ameloblastic fibroma to ameloblastic fibrosarcoma: case report and review of the literature.成釉细胞纤维瘤恶变成为成釉细胞纤维肉瘤:病例报告及文献复习
J Craniomaxillofac Surg. 2005 Oct;33(5):352-5. doi: 10.1016/j.jcms.2005.04.006.
10
Ameloblastic fibrosarcoma: report of a case. Immunohistochemical study and review of the literature.成釉细胞纤维肉瘤:一例报告。免疫组织化学研究及文献复习
Med Oral. 2001 May-Jul;6(3):173-9.