• 文献检索
  • 文档翻译
  • 深度研究
  • 学术资讯
  • Suppr Zotero 插件Zotero 插件
  • 邀请有礼
  • 套餐&价格
  • 历史记录
应用&插件
Suppr Zotero 插件Zotero 插件浏览器插件Mac 客户端Windows 客户端微信小程序
定价
高级版会员购买积分包购买API积分包
服务
文献检索文档翻译深度研究API 文档MCP 服务
关于我们
关于 Suppr公司介绍联系我们用户协议隐私条款
关注我们

Suppr 超能文献

核心技术专利:CN118964589B侵权必究
粤ICP备2023148730 号-1Suppr @ 2026

文献检索

告别复杂PubMed语法,用中文像聊天一样搜索,搜遍4000万医学文献。AI智能推荐,让科研检索更轻松。

立即免费搜索

文件翻译

保留排版,准确专业,支持PDF/Word/PPT等文件格式,支持 12+语言互译。

免费翻译文档

深度研究

AI帮你快速写综述,25分钟生成高质量综述,智能提取关键信息,辅助科研写作。

立即免费体验

一例罕见的冠状动脉瘘合并急性心肌梗死的病例。

A rare case of coronary artery fistula presented with acute myocardial infarction.

作者信息

Smettei Osama Abdalhadi, Abazid Rami Mahmood

机构信息

Advanced Cardiac Imaging Prince Sultan Cardiac Centre, Qassim, Saudi Arabia.

出版信息

Avicenna J Med. 2015 Apr-Jun;5(2):49-51. doi: 10.4103/2231-0770.154200.

DOI:10.4103/2231-0770.154200
PMID:25878968
原文链接:https://pmc.ncbi.nlm.nih.gov/articles/PMC4394573/
Abstract

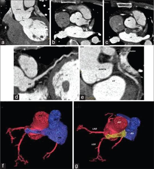
Coronary artery fistulas (CAFs): Are anomalous connections of the coronary arteries (CA) with major vascular structures or heart chambers. Most of CAFs are incidental findings during invasive coronary angiography (ICA) or computed tomography angiography (CTA). Many patients with CAFs are asymptomatic; only a minority has been associated with various clinical features and outcomes. We have reported a rare CAF complicated with acute myocardial infarction (AMI) in 43 years old female Patient who was admitted to our institution with a Diagnosis of Acute Infero-Posterior Myocardial Infarction (AMI). ICA and CTA showed a thrombosed CAF between left main coronary artery and right atrium with totally occluded left circumflex artery by a thrombus extended from the fistula. As there was a high risk associated with immediate intervention, the patient was kept on conservative management with a future plan of catheter-assisted or surgical closure. We have shown a rare case of CAF presenting with AMI that is unusual for such an anomaly, and have highlighted the role of CTA in the diagnosis and management of such rare disorder.

摘要

冠状动脉瘘(CAFs):是冠状动脉(CA)与主要血管结构或心腔的异常连接。大多数冠状动脉瘘是在有创冠状动脉造影(ICA)或计算机断层血管造影(CTA)期间偶然发现的。许多患有冠状动脉瘘的患者没有症状;只有少数患者与各种临床特征和预后相关。我们报道了一例罕见的冠状动脉瘘合并急性心肌梗死(AMI)的病例,该43岁女性患者因急性下后壁心肌梗死(AMI)诊断入院。ICA和CTA显示左冠状动脉主干与右心房之间有一个血栓形成的冠状动脉瘘,左旋支动脉被从瘘管延伸而来的血栓完全阻塞。由于立即干预存在高风险,患者接受保守治疗,并计划未来进行导管辅助或手术闭合。我们展示了一例罕见的以急性心肌梗死为表现的冠状动脉瘘病例,这种异常情况并不常见,并强调了CTA在诊断和管理这种罕见疾病中的作用。

https://cdn.ncbi.nlm.nih.gov/pmc/blobs/defb/4394573/90b2855b3a75/AJM-5-49-g003.jpg
https://cdn.ncbi.nlm.nih.gov/pmc/blobs/defb/4394573/a1ecbfd4d498/AJM-5-49-g001.jpg
https://cdn.ncbi.nlm.nih.gov/pmc/blobs/defb/4394573/cef886799449/AJM-5-49-g002.jpg
https://cdn.ncbi.nlm.nih.gov/pmc/blobs/defb/4394573/90b2855b3a75/AJM-5-49-g003.jpg
https://cdn.ncbi.nlm.nih.gov/pmc/blobs/defb/4394573/a1ecbfd4d498/AJM-5-49-g001.jpg
https://cdn.ncbi.nlm.nih.gov/pmc/blobs/defb/4394573/cef886799449/AJM-5-49-g002.jpg
https://cdn.ncbi.nlm.nih.gov/pmc/blobs/defb/4394573/90b2855b3a75/AJM-5-49-g003.jpg

相似文献

1
A rare case of coronary artery fistula presented with acute myocardial infarction.一例罕见的冠状动脉瘘合并急性心肌梗死的病例。
Avicenna J Med. 2015 Apr-Jun;5(2):49-51. doi: 10.4103/2231-0770.154200.
2
Double coronary anomaly: A case report.双冠状动脉异常:一例报告。
J Cardiol Cases. 2022 May 20;26(3):178-180. doi: 10.1016/j.jccase.2022.04.007. eCollection 2022 Sep.
3
The prevalence of coronary artery anomalies in Qassim Province detected by cardiac computed tomography angiography.卡西姆省通过心脏计算机断层扫描血管造影检测到的冠状动脉异常患病率。
J Saudi Heart Assoc. 2017 Apr;29(2):84-89. doi: 10.1016/j.jsha.2016.07.006. Epub 2016 Aug 3.
4
Long-term outcomes following surgical repair of coronary artery fistula in adults.成人冠状动脉瘘手术后的长期结果。
J Card Surg. 2021 Dec;36(12):4618-4622. doi: 10.1111/jocs.16056. Epub 2021 Oct 7.
5
Prevalence and types of coronary artery fistulas detected with coronary CT angiography.冠状动脉 CT 血管造影检出的冠状动脉瘘的患病率和类型。
AJR Am J Roentgenol. 2014 Sep;203(3):W237-43. doi: 10.2214/AJR.13.11613.
6
A rare case of dual congenital coronary cameral fistula and myocardial bridge: A case report.先天性冠状动脉心腔瘘和心肌桥双重罕见病例:病例报告。
Medicine (Baltimore). 2022 Apr 22;101(16):e28952. doi: 10.1097/MD.0000000000028952.
7
Transcatheter closure of coronary artery fistula using Guglielmi detachable coil.经导管应用弹簧圈栓塞冠状动脉瘘。
J Geriatr Cardiol. 2012 Mar;9(1):11-6. doi: 10.3724/SP.J.1263.2012.00011.
8
Coronary artery fistulas: A 12-year single-center experience.冠状动脉瘘:一项为期12年的单中心经验。
Rev Port Cardiol. 2022 Oct;41(10):843-850. doi: 10.1016/j.repc.2021.06.024. Epub 2022 Aug 9.
9
An unusual case of infective endocarditis involving a right coronary artery to superior vena cava fistula.一例罕见的感染性心内膜炎病例,累及右冠状动脉至 superior vena cava 瘘(此处 superior vena cava 可直接保留英文,因为医学上常称为“上腔静脉”)。
Catheter Cardiovasc Interv. 2015 Mar;85(4):620-4. doi: 10.1002/ccd.25597. Epub 2014 Jul 25.
10
Infective endocarditis related to a coronary artery fistula with an unusual localization and ectatic coronary arteries.与冠状动脉瘘相关的感染性心内膜炎,伴有不寻常的定位和冠状动脉扩张。
Echocardiography. 2015 Apr;32(4):711-5. doi: 10.1111/echo.12822. Epub 2014 Nov 1.

引用本文的文献

1
Coronary Cameral Fistula: A Rare Case Presenting With Non-ST-Segment Elevation Myocardial Infarction and Pulmonary Arterial Hypertension.冠状动脉心腔瘘:一例以非ST段抬高型心肌梗死和肺动脉高压为表现的罕见病例
Cureus. 2024 Jun 3;16(6):e61604. doi: 10.7759/cureus.61604. eCollection 2024 Jun.
2
Unlocking the Hidden Pathway: A Rare Encounter With Right Coronary Artery Fistula to Coronary Sinus and Right Ventricle.揭开隐匿路径:右冠状动脉瘘至冠状窦及右心室的罕见病例
Cureus. 2024 Apr 27;16(4):e59155. doi: 10.7759/cureus.59155. eCollection 2024 Apr.
3
Benign incidental cardiac findings in chest and cardiac CT imaging.

本文引用的文献

1
Prevalence of coronary artery anomalies in 12,457 adult patients who underwent coronary angiography.12457 例行冠状动脉造影术的成年患者中心冠状动脉异常的发生率。
Clin Cardiol. 2010 Dec;33(12):E60-4. doi: 10.1002/clc.20588.
2
Solitary coronary artery fistulas: a congenital anomaly in children and adults. A contemporary review.孤立性冠状动脉瘘:儿童和成人的一种先天性异常。当代综述。
Congenit Heart Dis. 2006 May;1(3):63-76. doi: 10.1111/j.1747-0803.2006.00012.x.
3
Doppler findings in a rare coronary artery fistula.罕见冠状动脉瘘的多普勒检查结果
胸部和心脏 CT 成像中的良性偶然心脏发现。
Br J Radiol. 2023 Feb;96(1142):20211302. doi: 10.1259/bjr.20211302. Epub 2022 Aug 22.
4
Giant coronary artery fistula complicated with coronary artery aneurysm and acute myocardial infarction: a case report.巨大冠状动脉瘘并发冠状动脉瘤和急性心肌梗死 1 例报告。
BMC Cardiovasc Disord. 2020 Mar 14;20(1):136. doi: 10.1186/s12872-020-01415-2.
5
Extensively Thrombosed Ectatic Circumflex Coronary Artery Fistula Presenting as Acute Coronary Syndrome.表现为急性冠状动脉综合征的广泛血栓形成的扩张型回旋支冠状动脉瘘
Curr Cardiol Rev. 2019;15(4):316-319. doi: 10.2174/1573403X15666181206120138.
6
The prevalence of coronary artery anomalies in Qassim Province detected by cardiac computed tomography angiography.卡西姆省通过心脏计算机断层扫描血管造影检测到的冠状动脉异常患病率。
J Saudi Heart Assoc. 2017 Apr;29(2):84-89. doi: 10.1016/j.jsha.2016.07.006. Epub 2016 Aug 3.
7
Congenital coronary artery fistulas complicated with pulmonary hypertension: Analysis of 211 cases.先天性冠状动脉瘘合并肺动脉高压:211例分析
World J Cardiol. 2016 Oct 26;8(10):596-605. doi: 10.4330/wjc.v8.i10.596.
Cardiovasc Ultrasound. 2007 Mar 9;5:10. doi: 10.1186/1476-7120-5-10.
4
Giant congenital coronary artery fistula to left brachial vein clearly detected by multidetector computed tomography.多层螺旋计算机断层扫描清晰检测到巨大先天性冠状动脉瘘至左肱静脉。
Circ J. 2006 Jun;70(6):796-9. doi: 10.1253/circj.70.796.
5
Dutch survey of coronary artery fistulas in adults: congenital solitary fistulas.荷兰成年人冠状动脉瘘调查:先天性孤立性瘘
Int J Cardiol. 2006 Jan 26;106(3):323-32. doi: 10.1016/j.ijcard.2005.01.047.
6
Coronary artery fistulas: clinical and therapeutic considerations.冠状动脉瘘:临床与治疗考量
Int J Cardiol. 2006 Feb 8;107(1):7-10. doi: 10.1016/j.ijcard.2005.01.067. Epub 2005 Aug 24.
7
Myocardial ischemia secondary to a large coronary-pulmonary fistula--a case report.继发于巨大冠状动脉-肺瘘的心肌缺血——病例报告
Angiology. 2002 May-Jun;53(3):353-7. doi: 10.1177/000331970205300315.
8
Coronary artery fistulas: clinical consequences and methods of closure. A literature review.冠状动脉瘘:临床后果及闭合方法。文献综述。
Ital Heart J. 2001 Sep;2(9):669-76.
9
Coronary artery fistula. Management and intermediate-term outcome after transcatheter coil occlusion.冠状动脉瘘。经导管弹簧圈封堵术后的管理及中期结果。
Tex Heart Inst J. 2001;28(1):21-5.
10
Prognostic significance of clinically silent coronary artery fistulas.临床无症状性冠状动脉瘘的预后意义。
Am J Cardiol. 1999 Feb 1;83(3):407-11. doi: 10.1016/s0002-9149(98)00878-9.