Suppr超能文献

揭开隐匿路径:右冠状动脉瘘至冠状窦及右心室的罕见病例

Unlocking the Hidden Pathway: A Rare Encounter With Right Coronary Artery Fistula to Coronary Sinus and Right Ventricle.

作者信息

Rivera Boadla Marlon E, Sharma Nava R, Gulati Amit, Khurana Sakshi, Khan Muhammad H, Batool Asiya, Farooqui Arafat Ali, Cabrera Juan S, Aparicio Recarte Triccia, Hashmi Arsalan Talib

机构信息

Internal Medicine, Maimonides Medical Center, Brooklyn, USA.

Medicine, Manipal College of Medical Science, Pokhara, NPL.

出版信息

Cureus. 2024 Apr 27;16(4):e59155. doi: 10.7759/cureus.59155. eCollection 2024 Apr.

Abstract

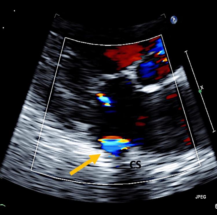
Coronary artery fistulas (CAFs) are rare vascular anomalies characterized by abnormal connections between coronary arteries and cardiac chambers or adjacent structures. Advances in cardiac interventions have led to an increasing recognition of acquired CAFs, which are typically congenital. We present a case of a 62-year-old male with a complex medical history, including hypertension, atrial fibrillation, and heart failure, who presented with exertional chest pain and palpitations. Diagnostic evaluation revealed a significant CAF originating from the right coronary artery (RCA) and terminating into the coronary sinus and right ventricle. Despite the absence of significant coronary artery occlusions, the fistula was deemed clinically significant due to its potential to cause myocardial ischemia. Management involved guideline-directed medical therapy and lifestyle modifications. This case underscores the importance of early recognition and appropriate management of CAFs to optimize patient outcomes. Further research is needed to better understand the natural history and optimal management strategies of CAFs.

摘要

冠状动脉瘘(CAFs)是一种罕见的血管异常,其特征是冠状动脉与心腔或相邻结构之间存在异常连接。心脏介入技术的进步使得人们越来越认识到获得性CAFs,而CAFs通常是先天性的。我们报告一例62岁男性病例,其有复杂的病史,包括高血压、心房颤动和心力衰竭,表现为劳力性胸痛和心悸。诊断评估发现一个源自右冠状动脉(RCA)并终止于冠状窦和右心室的大型冠状动脉瘘。尽管没有明显的冠状动脉闭塞,但由于该瘘管有导致心肌缺血的可能性,故被认为具有临床意义。治疗包括遵循指南的药物治疗和生活方式改变。该病例强调了早期识别和适当管理冠状动脉瘘以优化患者预后的重要性。需要进一步研究以更好地了解冠状动脉瘘的自然病程和最佳管理策略。

https://cdn.ncbi.nlm.nih.gov/pmc/blobs/cffe/11129799/48d957c11783/cureus-0016-00000059155-i01.jpg

文献AI研究员

20分钟写一篇综述,助力文献阅读效率提升50倍。

立即体验

用中文搜PubMed

大模型驱动的PubMed中文搜索引擎

马上搜索

文档翻译

学术文献翻译模型,支持多种主流文档格式。

立即体验