Suppr超能文献

幕上皮质室管膜瘤:一种罕见肿瘤的不寻常表现。

Supratentorial cortical ependymoma: An unusual presentation of a rare tumor.

作者信息

Mohaghegh Mohammad Reza, Chitsaz Ahmad, Okhovat Ali Asghar, Pour Elnaz Babaei

机构信息

Department of Neurology and Pathology, Isfahan Neurosciences Research Center, Alzahra Hospital, Isfahan, Iran.

Department of Neurology, Isfahan Neurosciences Research Center, Alzahra Hospital, Isfahan, Iran.

出版信息

Adv Biomed Res. 2015 Mar 25;4:72. doi: 10.4103/2277-9175.153896. eCollection 2015.

Abstract

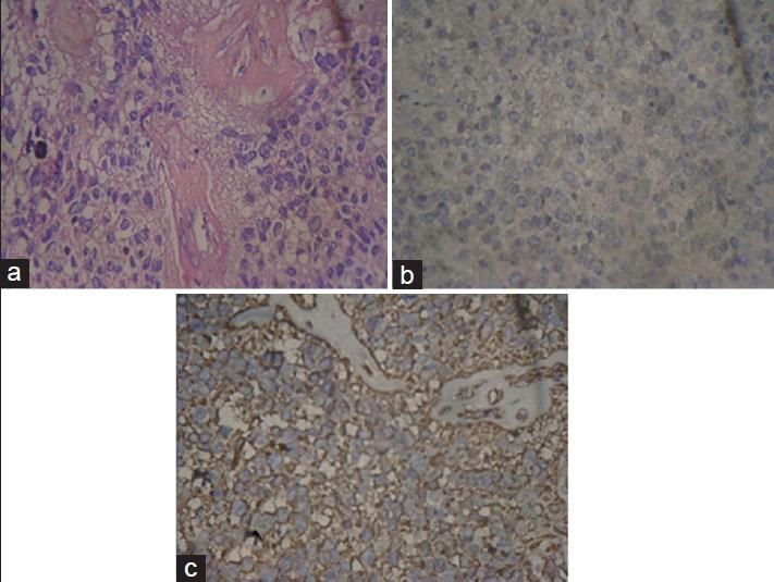
Ependymomas are glial tumors derived from ependymal cells lining the ventricles and the central canal of the spinal cord. Two thirds of ependymomas arise in the infratentorial or intraventricles, whereas one-third are located in supratentorial space. But supratentorial "cortical" ependymomas are very rare. We report a case of a cortical ependymoma in a 17-year-old boy. The patient presented with transient recurrent right weakness and diplopia. This tumor was located in the left parieto-occipital region and he had gross total excision. Microscopy and immunohistochemistry showed grade III differentiation ependymoma.

摘要

室管膜瘤是起源于脑室和脊髓中央管内衬室管膜细胞的神经胶质瘤。三分之二的室管膜瘤发生于幕下或脑室内,而三分之一位于幕上间隙。但幕上“皮质”室管膜瘤非常罕见。我们报告一例17岁男孩的皮质室管膜瘤病例。该患者表现为短暂性复发性右侧肢体无力和复视。肿瘤位于左顶枕区,行肿瘤全切术。显微镜检查和免疫组化显示为Ⅲ级分化的室管膜瘤。

https://cdn.ncbi.nlm.nih.gov/pmc/blobs/43d8/4386199/7d0724981a6a/ABR-4-72-g001.jpg

文献检索

告别复杂PubMed语法,用中文像聊天一样搜索,搜遍4000万医学文献。AI智能推荐,让科研检索更轻松。

立即免费搜索

文件翻译

保留排版,准确专业,支持PDF/Word/PPT等文件格式,支持 12+语言互译。

免费翻译文档

深度研究

AI帮你快速写综述,25分钟生成高质量综述,智能提取关键信息,辅助科研写作。

立即免费体验