Suppr超能文献

使用多模态磁共振成像为幕上脑室外室管膜瘤开发一种影像组学特征

Developing a Radiomics Signature for Supratentorial Extra-Ventricular Ependymoma Using Multimodal MR Imaging.

作者信息

Safai Apoorva, Shinde Sumeet, Jadhav Manali, Chougule Tanay, Indoria Abhilasha, Kumar Manoj, Santosh Vani, Jabeen Shumyla, Beniwal Manish, Konar Subhash, Saini Jitender, Ingalhalikar Madhura

机构信息

Symbiosis Center for Medical Image Analysis, Symbiosis Institute of Technology, Symbiosis International University, Pune, India.

Department of Neuroimaging & Interventional Radiology, National Institute of Mental Health & Neurosciences, Bangalore, India.

出版信息

Front Neurol. 2021 Jul 22;12:648092. doi: 10.3389/fneur.2021.648092. eCollection 2021.

Abstract

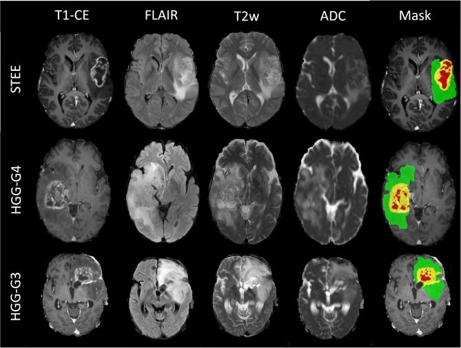
To build a machine learning-based diagnostic model that can accurately distinguish adult supratentorial extraventricular ependymoma (STEE) from similarly appearing high-grade gliomas (HGG) using quantitative radiomic signatures from a multi-parametric MRI framework. We computed radiomic features on the preprocessed and segmented tumor masks from a pre-operative multimodal MRI dataset [contrast-enhanced T1 (T1ce), T2, fluid-attenuated inversion recovery (FLAIR), apparent diffusion coefficient (ADC)] from STEE ( = 15), HGG-Grade IV (HGG-G4) ( = 24), and HGG-Grade III (HGG-G3) ( = 36) patients, followed by an optimum two-stage feature selection and multiclass classification. Performance of multiple classifiers were evaluated on both unimodal and multimodal feature sets and most discriminative radiomic features involved in classification of STEE from HGG subtypes were obtained. Multimodal features demonstrated higher classification performance over unimodal feature set in discriminating STEE and HGG subtypes with an accuracy of 68% on test data and above 80% on cross validation, along with an overall above 90% specificity. Among unimodal feature sets, those extracted from FLAIR demonstrated high classification performance in delineating all three tumor groups. Texture-based radiomic features particularly from FLAIR were most important in discriminating STEE from HGG-G4, whereas first-order features from T2 and ADC consistently ranked higher in differentiating multiple tumor groups. This study illustrates the utility of radiomics-based multimodal MRI framework in accurately discriminating similarly appearing adult STEE from HGG subtypes. Radiomic features from multiple MRI modalities could capture intricate and complementary information for a robust and highly accurate multiclass tumor classification.

摘要

构建一个基于机器学习的诊断模型,该模型能够使用多参数MRI框架中的定量放射组学特征,准确区分成人幕上脑室外室管膜瘤(STEE)与外观相似的高级别胶质瘤(HGG)。我们从STEE(n = 15)、IV级HGG(HGG-G4)(n = 24)和III级HGG(HGG-G3)(n = 36)患者的术前多模态MRI数据集[对比增强T1(T1ce)、T2、液体衰减反转恢复(FLAIR)、表观扩散系数(ADC)]的预处理和分割肿瘤掩码上计算放射组学特征,随后进行最优的两阶段特征选择和多类分类。在单模态和多模态特征集上评估了多个分类器的性能,并获得了区分STEE与HGG亚型的最具鉴别力的放射组学特征。在区分STEE和HGG亚型方面,多模态特征在测试数据上的准确率为68%,在交叉验证中高于80%,总体特异性高于90%,其分类性能优于单模态特征集。在单模态特征集中,从FLAIR提取的特征在区分所有三个肿瘤组方面表现出较高的分类性能。基于纹理的放射组学特征,特别是来自FLAIR 的特征,在区分STEE与HGG-G4方面最为重要,而来自T2和ADC的一阶特征在区分多个肿瘤组时始终排名较高。本研究说明了基于放射组学的多模态MRI框架在准确区分外观相似的成人STEE与HGG亚型方面的实用性。来自多种MRI模态的放射组学特征可以捕获复杂且互补的信息,以实现强大且高度准确的多类肿瘤分类。

https://cdn.ncbi.nlm.nih.gov/pmc/blobs/65dc/8339322/c333fbb8f0c5/fneur-12-648092-g0001.jpg

文献AI研究员

20分钟写一篇综述,助力文献阅读效率提升50倍。

立即体验

用中文搜PubMed

大模型驱动的PubMed中文搜索引擎

马上搜索

文档翻译

学术文献翻译模型,支持多种主流文档格式。

立即体验