Wei Xiaojuan, Zhang Jiyu, Niu Jianrong, Zhou Xuzheng, Li Jianyong, Li Bing
Key Laboratory of New Animal Drug Project of Gansu Province, Gansu Province, China; Key Laboratory of Veterinary Pharmaceutical Development of Ministry of Agriculture, Gansu Province, China; Lanzhou Institute of Husbandryand Pharmaceutical Sciences of CAAS, Jiangouyan, Qilihe District, Lanzhou 730050, PR China.
PLoS One. 2015 Apr 16;10(4):e0120165. doi: 10.1371/journal.pone.0120165. eCollection 2015.
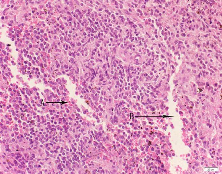
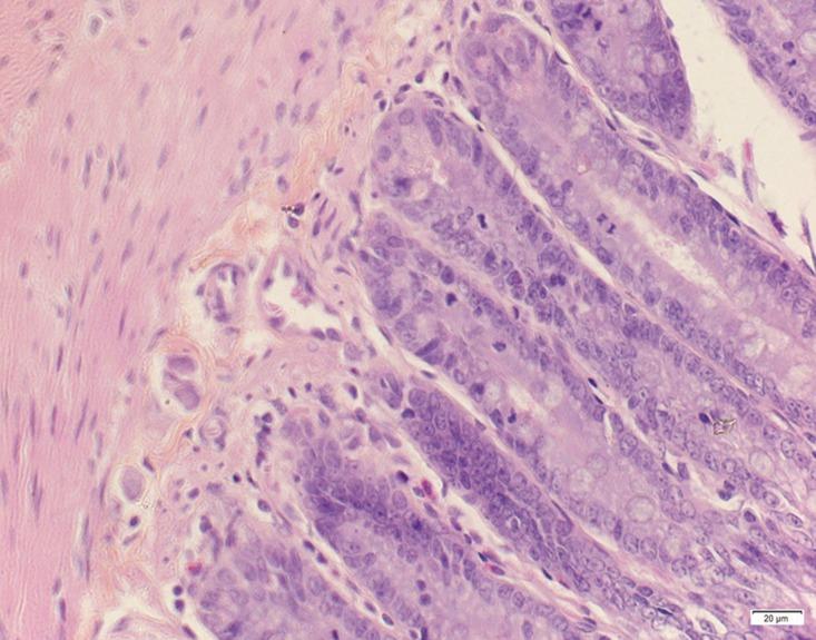
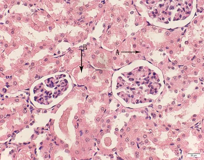
A subchronic toxicity test was conducted in rats on the basis of a previous acute toxicity test to evaluate the safety of arecoline hydrobromide (Ah), to systematically study its pharmacological effects and to provide experimental support for a safe clinical dose. Eighty rats were randomly divided into four groups: a high-dose group (1000 mg/kg), medium-dose group (200 mg/kg), low-dose group (100mg/kg) and blank control group. The doses were administered daily via gastric lavage for 14 consecutive days. There were no significant differences in the low-dose Ah group compared to the control group (P>0.05) with regard to body weight, organ coefficients, hematological parameters and histopathological changes. The high-dose of Ah influenced some of these parameters, which requires further study. The results of this study indicated that a long-term, continuous high dose of Ah was toxic. However, it is safe to use Ah according to the clinically recommended dosing parameters. The level of Ah at which no adverse effects were observed was 100 mg/kg/day under the present study conditions.
在先前急性毒性试验的基础上,对大鼠进行了亚慢性毒性试验,以评估氢溴酸槟榔碱(Ah)的安全性,系统研究其药理作用,并为安全临床剂量提供实验支持。80只大鼠随机分为四组:高剂量组(1000mg/kg)、中剂量组(200mg/kg)、低剂量组(100mg/kg)和空白对照组。连续14天每天通过灌胃给药。低剂量Ah组与对照组相比,在体重、器官系数、血液学参数和组织病理学变化方面无显著差异(P>0.05)。高剂量Ah影响了其中一些参数,这需要进一步研究。本研究结果表明,长期、持续高剂量的Ah具有毒性。然而,根据临床推荐的给药参数使用Ah是安全的。在本研究条件下,未观察到不良反应的Ah水平为100mg/kg/天。