Rajarathnam Basetty N, Rakesh N, Murali Anita, Asha M L
Department of Oral Medicine and Radiology, Dr. Syamala Reddy Dental College, Bengaluru, Karnataka, India.
Department of Oral Medicine and Radiology, Faculty of Dental Sciences, M. S. Ramaiah University of Applied Sciences, Bengaluru, Karnataka, India.
J Oral Maxillofac Pathol. 2022 Oct-Dec;26(4):598. doi: 10.4103/jomfp.jomfp_451_21. Epub 2022 Dec 22.
The intestine plays an important role in the digestion and absorption of ingested food and the elimination of undigested food, microbes, and microbial products. The functional reliability of the intestinal mucosal epithelial cells depends on the organised regulation of the epithelial cells, mucus layer, the intercellular tight junction, host innate and acquired immune response. The mucus layer of the gastrointestinal tract is the first line of innate host defense, essentially because of the secretory products of intestinal cells.
Present study was conducted to evaluate the effect of arecoline on the gastrointestinal system due to systemic absorption of the drug during the induction period of oral submucous fibrosis (OSMF) in Wistar rats.
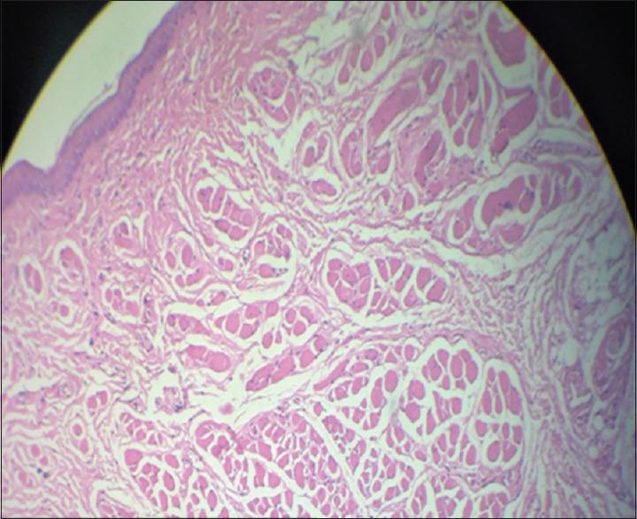
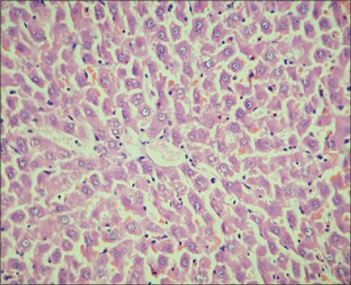
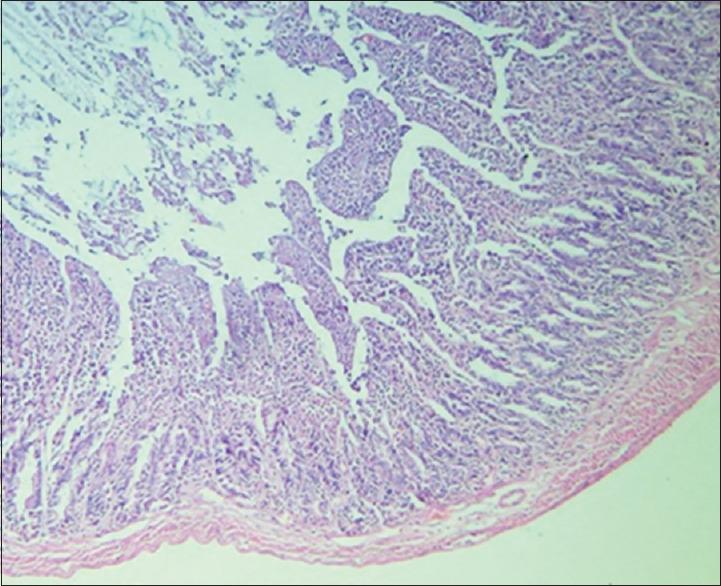
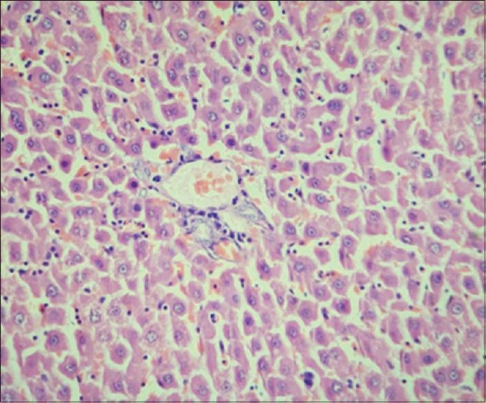
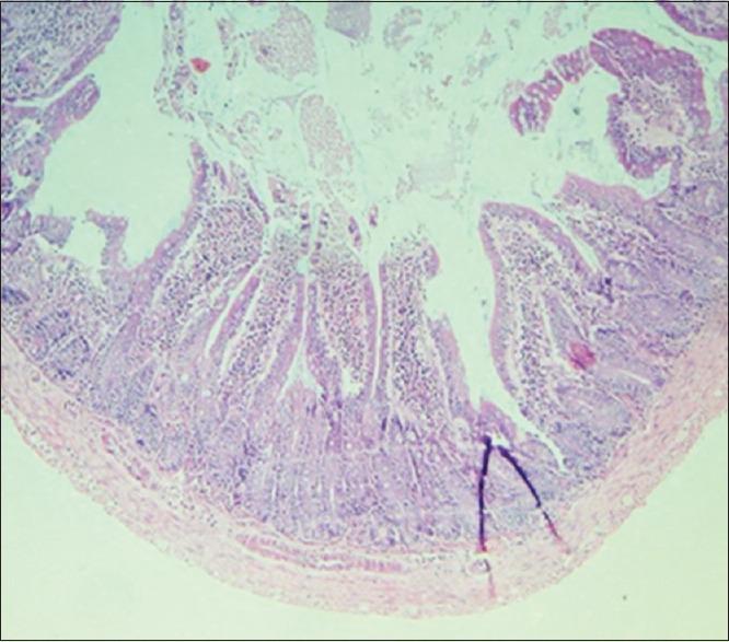
Oral submucous fibrosis was induced by submucosal injection of arecoline in the buccal mucosa. Arecoline hydrochloride at a dosage of 10 mg/kg was injected into the submucosa of right buccal mucosa in experimental animals over a period of 3 months on every alternate day. After which, right buccal mucosa, gastrointestinal tract organs like stomach, large intestine, small intestine and liver were dissected, subjected to histopathological evaluation of the healthy and experimental Wistar rats were subjected to histopathological evaluation.
On histological evaluation, OSMF was seen to affect Wistar rats showed significant changes in oral mucosa, decrease number of goblet cells in the small intestine as well in the large intestine and deranged hepatocytes. These marked changes indicated a definite effect on the gastro intestinal system by arecoline.
The study has highlighted the effect of arecoline due to systemic absorption during the induction process of OSMF in Wistar rats.
肠道在摄入食物的消化和吸收以及未消化食物、微生物和微生物产物的清除中发挥着重要作用。肠黏膜上皮细胞的功能可靠性取决于上皮细胞、黏液层、细胞间紧密连接、宿主固有免疫和获得性免疫反应的有序调节。胃肠道的黏液层是宿主固有防御的第一道防线,主要是因为肠道细胞的分泌产物。
本研究旨在评估槟榔碱在Wistar大鼠口腔黏膜下纤维化(OSMF)诱导期因药物全身吸收对胃肠系统的影响。
通过在颊黏膜下注射槟榔碱诱导口腔黏膜下纤维化。在3个月的时间里,每隔一天给实验动物的右侧颊黏膜下注射剂量为10mg/kg的盐酸槟榔碱。之后,解剖右侧颊黏膜、胃肠道器官如胃、大肠、小肠和肝脏,对健康和实验Wistar大鼠进行组织病理学评估。
组织学评估显示,OSMF影响Wistar大鼠,表现为口腔黏膜有明显变化,小肠和大肠杯状细胞数量减少,肝细胞排列紊乱。这些显著变化表明槟榔碱对胃肠系统有明确影响。
该研究突出了槟榔碱在Wistar大鼠OSMF诱导过程中因全身吸收所产生的影响。