Suppr超能文献

一名9岁女孩的尿道肉阜:病例报告及文献综述

Urethral caruncle in a 9-year-old girl: a case report and review of the literature.

作者信息

Chiba Masahiro, Toki Akira, Sugiyama Akihide, Suganuma Rie, Osawa Shunsuke, Ishii Rie, Nakagami Tomokazu, Suzuki Junichi, Watarai Yu, Kawano Shinya, Suzuki Koumei

机构信息

Division of Pediatric Surgery, Department of Surgery, Showa University School of Medicine, Showa University Hospital, 1-5-8 Hatanodai, Shinagawa-ku, Tokyo, 142-8666, Japan.

Children's Medical Center, Showa University Northern Yokohama Hospital, 35-1 Chigasaki-chuo, Tsuzuki-ku, Yokohama-shi, Kanagawa-ken, 224-8503, Japan.

出版信息

J Med Case Rep. 2015 Mar 28;9:71. doi: 10.1186/s13256-015-0518-7.

Abstract

INTRODUCTION

Urethral caruncles are the most frequent benign tumors of the female urethra. Most of them are found in post-menopausal women, and they are rare in childhood. Only a few pediatric cases have been published in the literature. In this report, we present an unusual case of a pediatric patient with a urethral caruncle, along with a review of the literature.

CASE PRESENTATION

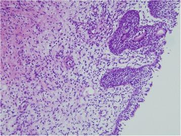
A 9-year-old Mongolian girl was referred to our hospital with a 2-week history of frequent adherence of a small amount of blood to her underwear. We found a sessile smooth margin, a clear boundary and an elastic, soft red tumor over the entire circumference of the urethral meatus. At the beginning, because of the child's age, urethral prolapse was suspected. There was no response after 3 weeks of conservative treatment with steroid ointment. With the patient under general anesthesia, a partial tumor resection was performed for the purpose of histological examination. The tumor excision was limited to about 1/2 laps of the urethral meatus to prevent the development of urethral stricture. On the basis of clinical and histopathological examinations, a diagnosis of a urethral caruncle was made. Post-operatively, steroid ointment application to residual masses was continued, and these disappeared about 6 months later. Our patient was free of recurrence and had had no complications after 3 years of follow-up.

CONCLUSIONS

Urethral caruncles are rare in children, and the possibility of malignancy is slight during this period. Biopsy of the mass is not required for diagnosis. It should be indicated only if the mass has other characteristics that raise suspicion of malignancy. In previously reported cases, all of the tumor was removed. However, the trigger of the caruncle in childhood is chronic inflammation. Conservative therapy with steroid ointment should be the core treatment. However, it may be necessary to proceed to treatment because caruncles take a long time to heal. The case that we describe in this report will serve as an example for similar cases in the future.

摘要

引言

尿道肉阜是女性尿道最常见的良性肿瘤。大多数尿道肉阜见于绝经后女性,儿童期罕见。文献中仅发表了少数儿科病例。在本报告中,我们介绍了一例患有尿道肉阜的儿科患者的罕见病例,并对文献进行了综述。

病例介绍

一名9岁蒙古族女孩因内裤上频繁少量沾血2周被转诊至我院。我们在尿道口整个圆周上发现一个有蒂、边缘光滑、边界清晰且质地柔软、有弹性的红色肿物。起初,由于患儿年龄,怀疑为尿道脱垂。使用类固醇软膏保守治疗3周后无反应。在全身麻醉下,为进行组织学检查对肿物进行了部分切除。肿瘤切除范围限于尿道口约1/2圈,以防止尿道狭窄的发生。根据临床和组织病理学检查,诊断为尿道肉阜。术后,继续对残留肿物涂抹类固醇软膏,约6个月后肿物消失。我们的患者在随访3年中无复发且无并发症。

结论

尿道肉阜在儿童中罕见,在此期间发生恶性肿瘤的可能性较小。诊断时无需对肿物进行活检。仅当肿物具有其他提示恶性肿瘤的特征时才应进行活检。在既往报道的病例中,均将肿瘤全部切除。然而,儿童期尿道肉阜的诱因是慢性炎症。类固醇软膏保守治疗应作为核心治疗方法。然而,由于肉阜愈合时间较长,可能有必要进行手术治疗。我们在本报告中描述的病例将为未来类似病例提供范例。

https://cdn.ncbi.nlm.nih.gov/pmc/blobs/a017/4404654/fcd52cff73be/13256_2015_518_Fig1_HTML.jpg

文献AI研究员

20分钟写一篇综述,助力文献阅读效率提升50倍。

立即体验

用中文搜PubMed

大模型驱动的PubMed中文搜索引擎

马上搜索

文档翻译

学术文献翻译模型,支持多种主流文档格式。

立即体验