• 文献检索
  • 文档翻译
  • 深度研究
  • 学术资讯
  • Suppr Zotero 插件Zotero 插件
  • 邀请有礼
  • 套餐&价格
  • 历史记录
应用&插件
Suppr Zotero 插件Zotero 插件浏览器插件Mac 客户端Windows 客户端微信小程序
定价
高级版会员购买积分包购买API积分包
服务
文献检索文档翻译深度研究API 文档MCP 服务
关于我们
关于 Suppr公司介绍联系我们用户协议隐私条款
关注我们

Suppr 超能文献

核心技术专利:CN118964589B侵权必究
粤ICP备2023148730 号-1Suppr @ 2026

文献检索

告别复杂PubMed语法,用中文像聊天一样搜索,搜遍4000万医学文献。AI智能推荐,让科研检索更轻松。

立即免费搜索

文件翻译

保留排版,准确专业,支持PDF/Word/PPT等文件格式,支持 12+语言互译。

免费翻译文档

深度研究

AI帮你快速写综述,25分钟生成高质量综述,智能提取关键信息,辅助科研写作。

立即免费体验

裂解的CD44细胞内结构域支持干性因子的激活并促进乳腺癌的肿瘤发生。

Cleaved CD44 intracellular domain supports activation of stemness factors and promotes tumorigenesis of breast cancer.

作者信息

Cho Yunhee, Lee Hyun-Woo, Kang Hyeok-Gu, Kim Hye-Young, Kim Seok-Jun, Chun Kyung-Hee

机构信息

Department of Biochemistry & Molecular Biology, Yonsei University College of Medicine, Seodaemun-gu, Seoul 120-752, Korea.

Brain Korea 21 Plus Project for Medical Science, Yonsei University, Seodaemun-gu, Seoul 120-752, Korea.

出版信息

Oncotarget. 2015 Apr 20;6(11):8709-21. doi: 10.18632/oncotarget.3325.

DOI:10.18632/oncotarget.3325
PMID:25909162
原文链接:https://pmc.ncbi.nlm.nih.gov/articles/PMC4496178/
Abstract

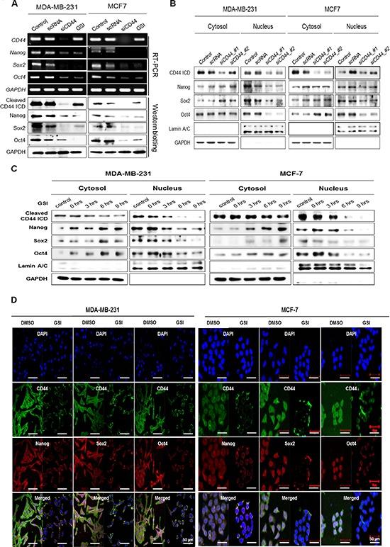
CD44 plays a role in the progression of tumors and is expressed in cancer stem cells (CSCs). However, the mechanisms underlying the crosstalk of CD44 with stemness genes in CSC maintenance remains unclear. In this study, we demonstrated how the cleaved intracellular domain of CD44 (CD44ICD) activates stemness factors such as Nanog, Sox2 and Oct4, and contributes to the tumorigenesis of breast cancer. We have found that the overexpression of CD44ICD increased mammosphere formation in breast cancer cells. Treatment with a γ-secretase inhibitor (GSI), which blocks the cleavage of CD44ICD, interfered with mammosphere formation. Interestingly, CD44ICD decreased the expression levels and nuclear localization of stemness factors, but overexpression of CD44ICD reversed these effects. In addition, we showed that nuclear localization of CD44ICD is important for transcriptional activation of the stemness factors. Furthermore, CD44ICD-overexpressed cells exhibited strong tumorigenecity and greater metastatic potential than did the control cells or CD44-depleted cells in vivo in mice models. Taken together, it was supposed that CD44 promotes tumorigenesis through the interaction and nuclear-translocation of its intracellular domain and stemness factors. We suggest that the prevention of cleavage and nuclear-translocation of CD44ICD is a potential target in treating breast cancer.

摘要

CD44在肿瘤进展中发挥作用,并在癌症干细胞(CSC)中表达。然而,CD44与CSC维持中的干性基因相互作用的潜在机制仍不清楚。在本研究中,我们证明了CD44的裂解细胞内结构域(CD44ICD)如何激活如Nanog、Sox2和Oct4等干性因子,并促进乳腺癌的肿瘤发生。我们发现CD44ICD的过表达增加了乳腺癌细胞中乳腺球的形成。用γ-分泌酶抑制剂(GSI)处理可阻断CD44ICD的裂解,从而干扰乳腺球的形成。有趣的是,CD44ICD降低了干性因子的表达水平和核定位,但CD44ICD的过表达逆转了这些效应。此外,我们表明CD44ICD的核定位对于干性因子的转录激活很重要。此外,在小鼠模型体内,与对照细胞或CD44缺失的细胞相比,过表达CD44ICD的细胞表现出更强的肿瘤发生能力和更大的转移潜能。综上所述,推测CD44通过其细胞内结构域与干性因子的相互作用和核转位促进肿瘤发生。我们认为,防止CD44ICD的裂解和核转位是治疗乳腺癌的一个潜在靶点。

https://cdn.ncbi.nlm.nih.gov/pmc/blobs/21e2/4496178/ce7e11d5ad52/oncotarget-06-8709-g007.jpg
https://cdn.ncbi.nlm.nih.gov/pmc/blobs/21e2/4496178/d983ea4eda2e/oncotarget-06-8709-g001.jpg
https://cdn.ncbi.nlm.nih.gov/pmc/blobs/21e2/4496178/fafe6961564e/oncotarget-06-8709-g002.jpg
https://cdn.ncbi.nlm.nih.gov/pmc/blobs/21e2/4496178/c73c618c422e/oncotarget-06-8709-g003.jpg
https://cdn.ncbi.nlm.nih.gov/pmc/blobs/21e2/4496178/aa367cbd84c5/oncotarget-06-8709-g004.jpg
https://cdn.ncbi.nlm.nih.gov/pmc/blobs/21e2/4496178/7fa0910f8c0c/oncotarget-06-8709-g005.jpg
https://cdn.ncbi.nlm.nih.gov/pmc/blobs/21e2/4496178/ff56005791a0/oncotarget-06-8709-g006.jpg
https://cdn.ncbi.nlm.nih.gov/pmc/blobs/21e2/4496178/ce7e11d5ad52/oncotarget-06-8709-g007.jpg
https://cdn.ncbi.nlm.nih.gov/pmc/blobs/21e2/4496178/d983ea4eda2e/oncotarget-06-8709-g001.jpg
https://cdn.ncbi.nlm.nih.gov/pmc/blobs/21e2/4496178/fafe6961564e/oncotarget-06-8709-g002.jpg
https://cdn.ncbi.nlm.nih.gov/pmc/blobs/21e2/4496178/c73c618c422e/oncotarget-06-8709-g003.jpg
https://cdn.ncbi.nlm.nih.gov/pmc/blobs/21e2/4496178/aa367cbd84c5/oncotarget-06-8709-g004.jpg
https://cdn.ncbi.nlm.nih.gov/pmc/blobs/21e2/4496178/7fa0910f8c0c/oncotarget-06-8709-g005.jpg
https://cdn.ncbi.nlm.nih.gov/pmc/blobs/21e2/4496178/ff56005791a0/oncotarget-06-8709-g006.jpg
https://cdn.ncbi.nlm.nih.gov/pmc/blobs/21e2/4496178/ce7e11d5ad52/oncotarget-06-8709-g007.jpg

相似文献

1
Cleaved CD44 intracellular domain supports activation of stemness factors and promotes tumorigenesis of breast cancer.裂解的CD44细胞内结构域支持干性因子的激活并促进乳腺癌的肿瘤发生。
Oncotarget. 2015 Apr 20;6(11):8709-21. doi: 10.18632/oncotarget.3325.
2
Hyaluronan-CD44v3 interaction with Oct4-Sox2-Nanog promotes miR-302 expression leading to self-renewal, clonal formation, and cisplatin resistance in cancer stem cells from head and neck squamous cell carcinoma.透明质酸-CD44v3 与 Oct4-Sox2-Nanog 的相互作用促进 miR-302 的表达,导致头颈部鳞状细胞癌中的癌症干细胞自我更新、克隆形成和顺铂耐药。
J Biol Chem. 2012 Sep 21;287(39):32800-24. doi: 10.1074/jbc.M111.308528. Epub 2012 Jul 30.
3
CD44ICD promotes breast cancer stemness via PFKFB4-mediated glucose metabolism.CD44ICD 通过 PFKFB4 介导的葡萄糖代谢促进乳腺癌干性。
Theranostics. 2018 Nov 29;8(22):6248-6262. doi: 10.7150/thno.28721. eCollection 2018.
4
Different Effects of BORIS/CTCFL on Stemness Gene Expression, Sphere Formation and Cell Survival in Epithelial Cancer Stem Cells.BORIS/CTCFL对上皮癌干细胞干性基因表达、成球能力及细胞存活的不同影响
PLoS One. 2015 Jul 17;10(7):e0132977. doi: 10.1371/journal.pone.0132977. eCollection 2015.
5
Knock out CD44 in reprogrammed liver cancer cell C3A increases CSCs stemness and promotes differentiation.敲除重编程肝癌细胞C3A中的CD44可增加癌症干细胞干性并促进分化。
Oncotarget. 2015 Dec 29;6(42):44452-65. doi: 10.18632/oncotarget.6090.
6
MiR-199a-5p represses the stemness of cutaneous squamous cell carcinoma stem cells by targeting Sirt1 and CD44ICD cleavage signaling.miR-199a-5p 通过靶向 Sirt1 和 CD44ICD 切割信号抑制皮肤鳞状细胞癌干细胞的干性。
Cell Cycle. 2020 Jan;19(1):1-14. doi: 10.1080/15384101.2019.1689482. Epub 2019 Dec 6.
7
Reduced tumorigenicity and drug resistance through the downregulation of octamer-binding protein 4 and Nanog transcriptional factor expression in human breast stem cells.通过下调人乳腺干细胞中八聚体结合蛋白4和Nanog转录因子的表达来降低肿瘤发生能力和耐药性。
Mol Med Rep. 2015 Mar;11(3):1647-54. doi: 10.3892/mmr.2014.2972. Epub 2014 Nov 18.
8
Nuclear reprogramming of luminal-like breast cancer cells generates Sox2-overexpressing cancer stem-like cellular states harboring transcriptional activation of the mTOR pathway.腔面型乳腺癌细胞的核重编程产生 Sox2 过表达的癌症干细胞样细胞状态,其特征是 mTOR 通路的转录激活。
Cell Cycle. 2013 Sep 15;12(18):3109-24. doi: 10.4161/cc.26173. Epub 2013 Aug 21.
9
MiR-221 promotes stemness of breast cancer cells by targeting DNMT3b.微小RNA-221通过靶向DNA甲基转移酶3b促进乳腺癌细胞的干性。
Oncotarget. 2016 Jan 5;7(1):580-92. doi: 10.18632/oncotarget.5979.
10
[LincRNA-ROR functions as a ceRNA to regulate Oct4, Sox2, and Nanog expression by sponging miR-145 and its effect on biologic characteristics of colonic cancer stem cells].[长链非编码RNA-ROR作为竞争性内源RNA通过吸附miR-145调控Oct4、Sox2和Nanog的表达及其对结肠癌干细胞生物学特性的影响]
Zhonghua Bing Li Xue Za Zhi. 2018 Apr 8;47(4):284-290. doi: 10.3760/cma.j.issn.0529-5807.2018.04.011.

引用本文的文献

1
The Role of the Fox Gene in Breast Cancer Progression.Fox基因在乳腺癌进展中的作用。
Int J Mol Sci. 2025 Feb 7;26(4):1415. doi: 10.3390/ijms26041415.
2
From mitochondria to tumor suppression: ACAT1's crucial role in gastric cancer.从线粒体到肿瘤抑制:ACAT1 在胃癌中的关键作用。
Front Immunol. 2024 Aug 23;15:1449525. doi: 10.3389/fimmu.2024.1449525. eCollection 2024.
3
Toward Characterizing Lymphatic Vasculature in the Mammary Gland During Normal Development and Tumor-Associated Remodeling.探讨正常发育和肿瘤相关重塑过程中乳腺淋巴管的特征。

本文引用的文献

1
Celastrol inhibits gastric cancer growth by induction of apoptosis and autophagy.雷公藤红素通过诱导细胞凋亡和自噬抑制胃癌生长。
BMB Rep. 2014 Dec;47(12):697-702. doi: 10.5483/bmbrep.2014.47.12.069.
2
Cancer stem cells in breast cancer.乳腺癌中的肿瘤干细胞。
Histol Histopathol. 2013 Jul;28(7):827-38. doi: 10.14670/HH-28.827. Epub 2013 Mar 7.
3
Concise review: The Sox2-Oct4 connection: critical players in a much larger interdependent network integrated at multiple levels.简明回顾: Sox2-Oct4 连接:多个层面上相互依存的更大网络中关键的整合者。
J Mammary Gland Biol Neoplasia. 2024 Jan 13;29(1):1. doi: 10.1007/s10911-023-09554-w.
4
The critical role of γ-secretase and its inhibitors in cancer and cancer therapeutics.γ-分泌酶及其抑制剂在癌症和癌症治疗中的关键作用。
Int J Biol Sci. 2023 Oct 2;19(16):5089-5103. doi: 10.7150/ijbs.87334. eCollection 2023.
5
CD44 Intracellular Domain: A Long Tale of a Short Tail.CD44细胞内结构域:短尾的漫长故事
Cancers (Basel). 2023 Oct 18;15(20):5041. doi: 10.3390/cancers15205041.
6
A Narrative Review on CD44's Role in Glioblastoma Invasion, Proliferation, and Tumor Recurrence.关于CD44在胶质母细胞瘤侵袭、增殖及肿瘤复发中作用的叙述性综述
Cancers (Basel). 2023 Oct 9;15(19):4898. doi: 10.3390/cancers15194898.
7
CD44 connects autophagy decline and ageing in the vascular endothelium.CD44 连接血管内皮细胞自噬下降与衰老。
Nat Commun. 2023 Sep 8;14(1):5524. doi: 10.1038/s41467-023-41346-y.
8
Effects of Hyaluronan on Breast Cancer Aggressiveness.透明质酸对乳腺癌侵袭性的影响。
Cancers (Basel). 2023 Jul 27;15(15):3813. doi: 10.3390/cancers15153813.
9
Tissue-specific cancer stem/progenitor cells: Therapeutic implications.组织特异性癌症干细胞/祖细胞:治疗意义。
World J Stem Cells. 2023 May 26;15(5):323-341. doi: 10.4252/wjsc.v15.i5.323.
10
The role of tumor microenvironment on cancer stem cell fate in solid tumors.肿瘤微环境对实体瘤中肿瘤干细胞命运的作用。
Cell Commun Signal. 2023 Jun 16;21(1):143. doi: 10.1186/s12964-023-01129-w.
Stem Cells. 2013 Jun;31(6):1033-9. doi: 10.1002/stem.1352.
4
Breast cancer stem cell enrichment and isolation by mammosphere culture and its potential diagnostic applications.乳腺球培养法富集和分离乳腺癌干细胞及其潜在的诊断应用。
Expert Rev Mol Diagn. 2013 Jan;13(1):49-60. doi: 10.1586/erm.12.117.
5
The role of cancer stem cells in breast cancer initiation and progression: potential cancer stem cell-directed therapies.癌症干细胞在乳腺癌发生和进展中的作用:潜在的癌症干细胞定向治疗。
Oncologist. 2012;17(11):1394-401. doi: 10.1634/theoncologist.2012-0163. Epub 2012 Aug 31.
6
Hyaluronan-CD44v3 interaction with Oct4-Sox2-Nanog promotes miR-302 expression leading to self-renewal, clonal formation, and cisplatin resistance in cancer stem cells from head and neck squamous cell carcinoma.透明质酸-CD44v3 与 Oct4-Sox2-Nanog 的相互作用促进 miR-302 的表达,导致头颈部鳞状细胞癌中的癌症干细胞自我更新、克隆形成和顺铂耐药。
J Biol Chem. 2012 Sep 21;287(39):32800-24. doi: 10.1074/jbc.M111.308528. Epub 2012 Jul 30.
7
Significance of CD44 and CD24 as cancer stem cell markers: an enduring ambiguity.CD44和CD24作为癌症干细胞标志物的意义:持久的模糊性。
Clin Dev Immunol. 2012;2012:708036. doi: 10.1155/2012/708036. Epub 2012 May 30.
8
Metformin-induced preferential killing of breast cancer initiating CD44+CD24-/low cells is sufficient to overcome primary resistance to trastuzumab in HER2+ human breast cancer xenografts.二甲双胍诱导优先杀伤乳腺癌起始细胞CD44⁺CD24⁻/低表达细胞足以克服HER2⁺人乳腺癌异种移植模型中对曲妥珠单抗的原发性耐药。
Oncotarget. 2012 Apr;3(4):395-8. doi: 10.18632/oncotarget.488.
9
Galectin-3 increases the motility of mouse melanoma cells by regulating matrix metalloproteinase-1 expression.半乳糖凝集素-3通过调节基质金属蛋白酶-1 的表达来增加小鼠黑色素瘤细胞的迁移能力。
Exp Mol Med. 2012 Jun 30;44(6):387-93. doi: 10.3858/emm.2012.44.6.044.
10
Understanding the dual nature of CD44 in breast cancer progression.理解 CD44 在乳腺癌进展中的双重特性。
Mol Cancer Res. 2011 Dec;9(12):1573-86. doi: 10.1158/1541-7786.MCR-11-0156. Epub 2011 Oct 4.