• 文献检索
  • 文档翻译
  • 深度研究
  • 学术资讯
  • Suppr Zotero 插件Zotero 插件
  • 邀请有礼
  • 套餐&价格
  • 历史记录
应用&插件
Suppr Zotero 插件Zotero 插件浏览器插件Mac 客户端Windows 客户端微信小程序
定价
高级版会员购买积分包购买API积分包
服务
文献检索文档翻译深度研究API 文档MCP 服务
关于我们
关于 Suppr公司介绍联系我们用户协议隐私条款
关注我们

Suppr 超能文献

核心技术专利:CN118964589B侵权必究
粤ICP备2023148730 号-1Suppr @ 2026

文献检索

告别复杂PubMed语法,用中文像聊天一样搜索,搜遍4000万医学文献。AI智能推荐,让科研检索更轻松。

立即免费搜索

文件翻译

保留排版,准确专业,支持PDF/Word/PPT等文件格式,支持 12+语言互译。

免费翻译文档

深度研究

AI帮你快速写综述,25分钟生成高质量综述,智能提取关键信息,辅助科研写作。

立即免费体验

软骨母细胞性骨肉瘤

Chondroblastic osteosarcoma.

作者信息

Almeida Etanaiara, Mascarenhas Bruno Araújo, Cerqueira Arlei, Medrado Alena Ribeiro Alves Peixoto

机构信息

Department of Basic Science and Bahian School of Medicine and Public Health, Salvador, Brazil.

Department of Diagnosis and Therapeutics, Bahia Federal University, Salvador, Bahia, Brazil.

出版信息

J Oral Maxillofac Pathol. 2014 Sep-Dec;18(3):464-8. doi: 10.4103/0973-029X.151357.

DOI:10.4103/0973-029X.151357
PMID:25949008
原文链接:https://pmc.ncbi.nlm.nih.gov/articles/PMC4409198/
Abstract

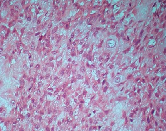
The purpose of this paper is to report a case of chondroblastic osteosarcoma in the region of the maxilla, with 5 months of evolution. The term osteosarcoma refers to a heterogeneous group of malignancies with bone formation or mesenchymal tissue with histopathological evidence of osteogenic differentiation. The pattern of chondroblastic osteosarcoma represents 25% of all reported cases of this neoplasm. Its histopathological diagnosis is based on the predominance of a chondroid matrix formed in the midst of neoplastic cells. A woman patient, 27-year old, melanoderm, presented on extraoral exam with facial asymmetry caused by the a swelling in the premaxillary region with upper lip protrusion. Intraoral exam showed a maxillary tumefaction with involvement of the vestibular and palatine regions. The computerized tomography (CT) analysis exhibited a radiolucent mass with dispersed areas of radiopacity, with poorly defined and indistinct peripheral edges. The patient was subjected to incisional biopsy and histopathological examination showed the presence of a malignant neoplasm of mesenchymal origin characterized by the presence of irregular bone trabeculae dispersed among mildly atypical chondroblastic cells. The World Health Organization (WHO) recognizes several variants that differ in location, clinical behavior and degree of cellular atypia. The conventional or classical osteosarcoma is the most frequent variant, which develops within the medullary bone. This report illustrates the rapid evolution of one of the histological variants of osteosarcoma.

摘要

本文旨在报告一例上颌骨区域的软骨母细胞性骨肉瘤病例,病程为5个月。骨肉瘤一词指的是一组异质性恶性肿瘤,具有骨形成或间充质组织,并有成骨分化的组织病理学证据。软骨母细胞性骨肉瘤模式占该肿瘤所有报告病例的25%。其组织病理学诊断基于肿瘤细胞中形成的软骨样基质占优势。一名27岁的黑皮肤女性患者,口外检查显示前上颌区域肿胀伴上唇突出,导致面部不对称。口内检查显示上颌肿物累及前庭和腭部区域。计算机断层扫描(CT)分析显示一个透射线肿物,有散在的不透射线区域,周边边缘模糊不清。患者接受了切开活检,组织病理学检查显示存在间叶源性恶性肿瘤,其特征为不规则骨小梁散在于轻度非典型软骨母细胞之间。世界卫生组织(WHO)认可几种在位置、临床行为和细胞异型程度上有所不同的变体。传统或经典骨肉瘤是最常见的变体,发生于髓腔内骨。本报告说明了骨肉瘤的一种组织学变体的快速发展情况。

https://cdn.ncbi.nlm.nih.gov/pmc/blobs/1c6f/4409198/a80703653826/JOMFP-18-464-g008.jpg
https://cdn.ncbi.nlm.nih.gov/pmc/blobs/1c6f/4409198/ba5e5654d973/JOMFP-18-464-g001.jpg
https://cdn.ncbi.nlm.nih.gov/pmc/blobs/1c6f/4409198/ef5c301dba61/JOMFP-18-464-g002.jpg
https://cdn.ncbi.nlm.nih.gov/pmc/blobs/1c6f/4409198/1f120362978a/JOMFP-18-464-g003.jpg
https://cdn.ncbi.nlm.nih.gov/pmc/blobs/1c6f/4409198/69e0b15b97f6/JOMFP-18-464-g004.jpg
https://cdn.ncbi.nlm.nih.gov/pmc/blobs/1c6f/4409198/093d60ab933c/JOMFP-18-464-g005.jpg
https://cdn.ncbi.nlm.nih.gov/pmc/blobs/1c6f/4409198/6f627f090240/JOMFP-18-464-g006.jpg
https://cdn.ncbi.nlm.nih.gov/pmc/blobs/1c6f/4409198/a651ad76e55f/JOMFP-18-464-g007.jpg
https://cdn.ncbi.nlm.nih.gov/pmc/blobs/1c6f/4409198/a80703653826/JOMFP-18-464-g008.jpg
https://cdn.ncbi.nlm.nih.gov/pmc/blobs/1c6f/4409198/ba5e5654d973/JOMFP-18-464-g001.jpg
https://cdn.ncbi.nlm.nih.gov/pmc/blobs/1c6f/4409198/ef5c301dba61/JOMFP-18-464-g002.jpg
https://cdn.ncbi.nlm.nih.gov/pmc/blobs/1c6f/4409198/1f120362978a/JOMFP-18-464-g003.jpg
https://cdn.ncbi.nlm.nih.gov/pmc/blobs/1c6f/4409198/69e0b15b97f6/JOMFP-18-464-g004.jpg
https://cdn.ncbi.nlm.nih.gov/pmc/blobs/1c6f/4409198/093d60ab933c/JOMFP-18-464-g005.jpg
https://cdn.ncbi.nlm.nih.gov/pmc/blobs/1c6f/4409198/6f627f090240/JOMFP-18-464-g006.jpg
https://cdn.ncbi.nlm.nih.gov/pmc/blobs/1c6f/4409198/a651ad76e55f/JOMFP-18-464-g007.jpg
https://cdn.ncbi.nlm.nih.gov/pmc/blobs/1c6f/4409198/a80703653826/JOMFP-18-464-g008.jpg

相似文献

1
Chondroblastic osteosarcoma.软骨母细胞性骨肉瘤
J Oral Maxillofac Pathol. 2014 Sep-Dec;18(3):464-8. doi: 10.4103/0973-029X.151357.
2
Mandibular Chondroblastic Osteosarcoma: A Case Report.下颌骨软骨母细胞性骨肉瘤:一例报告
Cureus. 2024 Feb 6;16(2):e53713. doi: 10.7759/cureus.53713. eCollection 2024 Feb.
3
Clinical and Oncological Outcome of Chondroblastic Osteosarcoma: A Single Institutional Experience.软骨母细胞性骨肉瘤的临床及肿瘤学结局:单机构经验
Indian J Orthop. 2020 Apr 12;54(5):672-677. doi: 10.1007/s43465-020-00098-3. eCollection 2020 Sep.
4
Chondroblastic osteosarcoma arising in the maxilla mimicking the radiographic and histological characteristics of cemento-osseous lesions: A case report.上颌骨发生的软骨母细胞性骨肉瘤,影像学和组织学特征类似牙骨质骨病变:一例报告
Mol Clin Oncol. 2017 May;6(5):733-736. doi: 10.3892/mco.2017.1219. Epub 2017 Apr 10.
5
Chondroblastic osteosarcoma of the left zygomatic bone: Rare case report and review of the literature.左侧颧骨软骨母细胞型骨肉瘤:罕见病例报告及文献复习
J Oral Maxillofac Pathol. 2014 May;18(2):281-5. doi: 10.4103/0973-029X.140791.
6
Advanced osteosarcoma of the maxilla: a case report.上颌骨晚期骨肉瘤:一例报告。
Med Oral Patol Oral Cir Bucal. 2008 Aug 1;13(8):E492-5.
7
Extraskeletal cutaneous chondroblastic osteosarcoma: a case report.骨外皮肤软骨母细胞性骨肉瘤:一例报告
J Cutan Pathol. 2008 Feb;35(2):231-5. doi: 10.1111/j.1600-0560.2007.00785.x.
8
Aggressive chondroblastic osteosarcoma in a dog: A case report.犬侵袭性软骨母细胞型骨肉瘤:一例报告
Vet Res Forum. 2019 Fall;10(4):361-364. doi: 10.30466/vrf.2019.100779.2402. Epub 2019 Dec 15.
9
Chondroblastic osteosarcoma: characterisation by gadolinium-enhanced MR imaging correlated with histopathology.软骨母细胞性骨肉瘤:钆增强磁共振成像特征与组织病理学的相关性
Skeletal Radiol. 1998 Mar;27(3):145-53. doi: 10.1007/s002560050354.
10
Secondary osteosarcoma: is there a predilection for the chondroblastic subtype?继发性骨肉瘤:是否对软骨母细胞亚型有偏好?
Orthopedics. 2015 May;38(5):e359-66. doi: 10.3928/01477447-20150504-51.

引用本文的文献

1
Chondroblastic Osteosarcoma in an Adolescent: Are Conventional Biopsy Techniques Just Scratching the Surface?一名青少年的软骨母细胞性骨肉瘤:传统活检技术是否只是触及表面?
Indian J Otolaryngol Head Neck Surg. 2025 Feb;77(2):1023-1028. doi: 10.1007/s12070-024-05229-y. Epub 2024 Nov 30.
2
Chondroblastic Osteosarcoma of proximal tibia.胫骨近端软骨母细胞型骨肉瘤
Autops Case Rep. 2024 Sep 12;14:e2024515. doi: 10.4322/acr.2024.515. eCollection 2024.
3
Chondroblastic Osteosarcoma of the Maxilla with Poor Response to Neoadjuvant Chemotherapy: A Rare Case Report and Updated Review of Literature.

本文引用的文献

1
IS THERE ANY DIFFERENCE IN THE PROGNOSIS FOR PATIENTS WITH PRIMARY OSTEOSARCOMA WITH A POOR RESPONSE TO NEOADJUVANT CHEMOTHERAPY BETWEEN HUVOS GRADES I AND II?对于新辅助化疗反应不佳的原发性骨肉瘤患者,Huvos I级和II级之间的预后是否存在差异?
Rev Bras Ortop. 2015 Nov 17;46(4):420-3. doi: 10.1016/S2255-4971(15)30256-1. eCollection 2011 Jul-Aug.
2
At-risk populations for osteosarcoma: the syndromes and beyond.骨肉瘤的高危人群:综合征及其他
Sarcoma. 2012;2012:152382. doi: 10.1155/2012/152382. Epub 2012 Mar 12.
3
Clinicopathologic features of osteosarcoma in patients with Rothmund-Thomson syndrome.
上颌骨软骨母细胞性骨肉瘤对新辅助化疗反应不佳:1例罕见病例报告及文献复习
Indian J Otolaryngol Head Neck Surg. 2023 Dec;75(4):4041-4046. doi: 10.1007/s12070-023-04037-0. Epub 2023 Jul 5.
4
Osteosarcoma of the Femur Presenting with Intravenous Tumoral Thrombus.股骨骨肉瘤伴静脉内肿瘤血栓形成
Radiol Imaging Cancer. 2023 Jul;5(4):e230051. doi: 10.1148/rycan.230051.
5
Combination of hsa_circ_0004674 and lncRNA OIP5‑AS1 as a novel clinical biomarker used to predict prognosis in patients with osteosarcoma.hsa_circ_0004674与lncRNA OIP5-AS1联合作为预测骨肉瘤患者预后的新型临床生物标志物。
Exp Ther Med. 2023 Mar 23;25(5):208. doi: 10.3892/etm.2023.11907. eCollection 2023 May.
6
A Rare Presentation of Myositis Ossificans in a Diabetic Individual.糖尿病患者骨化性肌炎的罕见表现。
J Orthop Case Rep. 2022 Oct;12(10):50-53. doi: 10.13107/jocr.2022.v12.i10.3362.
7
Pelvic Venous Thromboembolism Leading to Pulmonary Embolism in a Case of Chondroblastic Osteosarcoma Detected on FDG PET/CT.在FDG PET/CT检测出的软骨母细胞性骨肉瘤病例中,盆腔静脉血栓栓塞导致肺栓塞
Indian J Nucl Med. 2021 Apr-Jun;36(2):231-232. doi: 10.4103/ijnm.ijnm_239_20. Epub 2021 Jun 21.
8
Single-cell RNA landscape of intratumoral heterogeneity and immunosuppressive microenvironment in advanced osteosarcoma.高级骨肉瘤肿瘤内异质性和免疫抑制微环境的单细胞 RNA 图谱。
Nat Commun. 2020 Dec 10;11(1):6322. doi: 10.1038/s41467-020-20059-6.
9
Chondroblastic osteosarcoma-A case report and review of literature.软骨母细胞性骨肉瘤——病例报告及文献综述
Clin Case Rep. 2019 Sep 30;8(11):2097-2102. doi: 10.1002/ccr3.1761. eCollection 2020 Nov.
10
Intraoperative considerations in a patient with chondroblastic osteosarcoma and saddle pulmonary embolism undergoing amputation.一名患有软骨母细胞性骨肉瘤并伴有鞍状肺栓塞的患者在行截肢手术时的术中注意事项。
Clin Case Rep. 2020 Mar 20;8(6):983-986. doi: 10.1002/ccr3.2744. eCollection 2020 Jun.
罗思蒙德-汤姆森综合征患者骨肉瘤的临床病理特征
J Clin Oncol. 2007 Feb 1;25(4):370-5. doi: 10.1200/JCO.2006.08.4558.
4
Comparative analysis between osteosarcoma and Ewing's sarcoma: evaluation of the time from onset of signs and symptoms until diagnosis.骨肉瘤与尤因肉瘤的对比分析:从体征和症状出现到诊断的时间评估
Clinics (Sao Paulo). 2006 Apr;61(2):99-106. doi: 10.1590/s1807-59322006000200003. Epub 2006 Apr 25.
5
Osteosarcoma of mandible initially resembling lesion of dental periapex: a case report.下颌骨骨肉瘤初诊时类似根尖周病变:一例报告
Braz J Otorhinolaryngol. 2005 Mar-Apr;71(2):242-5. doi: 10.1016/s1808-8694(15)31318-5. Epub 2005 Aug 2.
6
Radiation induced osteogenic sarcoma of the maxilla.辐射诱发的上颌骨骨肉瘤。
World J Surg Oncol. 2005 Jul 21;3:49. doi: 10.1186/1477-7819-3-49.
7
[Clinical features in osteosarcoma and prognostic implications].[骨肉瘤的临床特征及预后意义]
J Pediatr (Rio J). 2004 Jan-Feb;80(1):65-70.
8
[Osteosarcoma and chondrosarcoma--radiographic differentiation with computerized tomography].
Pesqui Odontol Bras. 2002 Jan-Mar;16(1):69-76. doi: 10.1590/s1517-74912002000100012.
9
Osteosarcoma of the jaw bones.颌骨骨肉瘤
Oral Oncol. 2001 Oct;37(7):545-7. doi: 10.1016/s1368-8375(00)00129-9.
10
Well-differentiated intraosseous osteosarcoma of the jaws: experience of two cases from the Instituto Nacional de Cancerología, México.
Oral Oncol. 1999 Sep;35(5):530-3. doi: 10.1016/s1368-8375(99)00005-6.