• 文献检索
  • 文档翻译
  • 深度研究
  • 学术资讯
  • Suppr Zotero 插件Zotero 插件
  • 邀请有礼
  • 套餐&价格
  • 历史记录
应用&插件
Suppr Zotero 插件Zotero 插件浏览器插件Mac 客户端Windows 客户端微信小程序
定价
高级版会员购买积分包购买API积分包
服务
文献检索文档翻译深度研究API 文档MCP 服务
关于我们
关于 Suppr公司介绍联系我们用户协议隐私条款
关注我们

Suppr 超能文献

核心技术专利:CN118964589B侵权必究
粤ICP备2023148730 号-1Suppr @ 2026

文献检索

告别复杂PubMed语法,用中文像聊天一样搜索,搜遍4000万医学文献。AI智能推荐,让科研检索更轻松。

立即免费搜索

文件翻译

保留排版,准确专业,支持PDF/Word/PPT等文件格式,支持 12+语言互译。

免费翻译文档

深度研究

AI帮你快速写综述,25分钟生成高质量综述,智能提取关键信息,辅助科研写作。

立即免费体验

碱性蛋白酶水解马铃薯蛋白对高脂饮食衰老大鼠的心脏保护作用是通过IGF1R-PI3K-Akt代偿性再激活实现的。

The Heart Protection Effect of Alcalase Potato Protein Hydrolysate Is through IGF1R-PI3K-Akt Compensatory Reactivation in Aging Rats on High Fat Diets.

作者信息

Hu Wei-Syun, Ting Wei-Jen, Chiang Wen-Dee, Pai Peiying, Yeh Yu-Lan, Chang Chung-Ho, Lin Wan-Teng, Huang Chih-Yang

机构信息

PhD Program for Aging, China Medical University, Taichung 40402, Taiwan.

Graduate Institute of Basic Medical Science, China Medical University, Taichung 40402, Taiwan.

出版信息

Int J Mol Sci. 2015 May 5;16(5):10158-72. doi: 10.3390/ijms160510158.

DOI:10.3390/ijms160510158
PMID:25950762
原文链接:https://pmc.ncbi.nlm.nih.gov/articles/PMC4463638/
Abstract

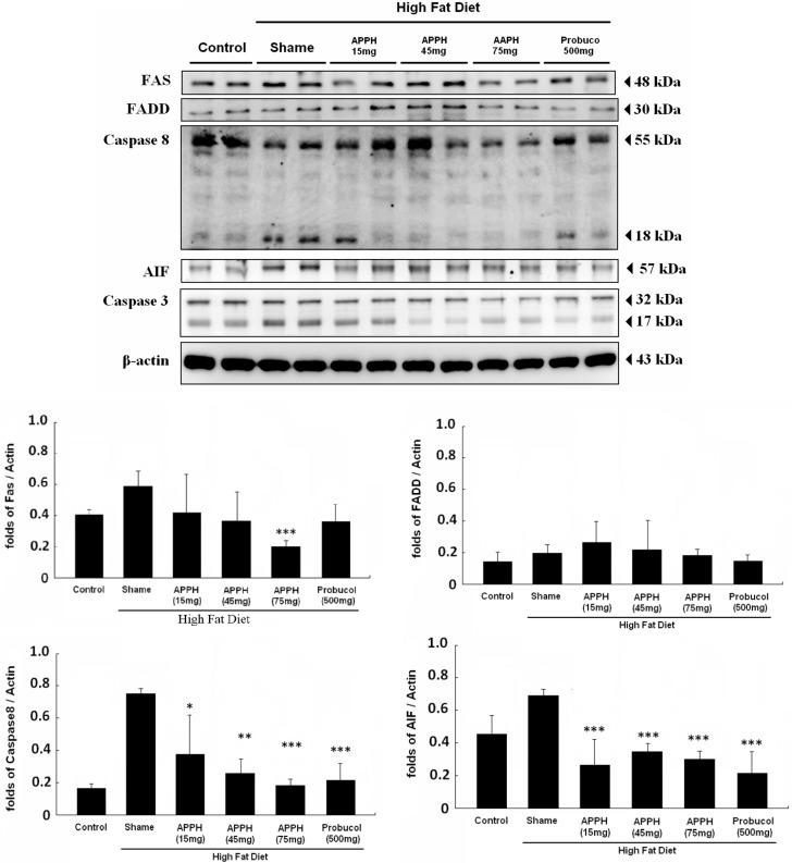
The prevalence of obesity is high in older adults. Alcalase potato protein hydrolysate (APPH), a nutraceutical food, might have greater benefits and be more economical than hypolipidemic drugs. In this study, serum lipid profiles and heart protective effects were evaluated in high fat diet (HFD) induced hyperlipidemia in aging rats treated with APPH (15, 45 and 75 mg/kg/day) and probucol (500 mg/kg/day). APPH treatments reduced serum triacylglycerol (TG), total cholesterol (TC), and low density lipoprotein (LDL) levels to the normal levels expressed in the control group. Additionally, the IGF1R-PI3K-Akt survival pathway was reactivated, and Fas-FADD (Fas-associated death domain) induced apoptosis was inhibited by APPH treatments (15 and 45 mg/kg/day) in HFD aging rat hearts. APPH (75 mg/kg/day) rather than probucol (500 mg/kg/day) treatment could reduce serum lipids without affecting HDL expression. The heart protective effect of APPH in aging rats with hyperlipidemia was through lowering serum lipids and enhancing the activation of the compensatory IGF1R-PI3K-Akt survival pathway.

摘要

肥胖在老年人中的患病率很高。碱性蛋白酶水解马铃薯蛋白(APPH),一种营养食品,可能比降血脂药物具有更大的益处且更经济。在本研究中,对用APPH(15、45和75毫克/千克/天)和普罗布考(500毫克/千克/天)治疗的高脂饮食(HFD)诱导的衰老大鼠高脂血症的血脂谱和心脏保护作用进行了评估。APPH治疗可将血清三酰甘油(TG)、总胆固醇(TC)和低密度脂蛋白(LDL)水平降至对照组所表达的正常水平。此外,在HFD衰老大鼠心脏中,APPH治疗(15和45毫克/千克/天)可重新激活IGF1R-PI3K-Akt存活途径,并抑制Fas-FADD(Fas相关死亡结构域)诱导的细胞凋亡。APPH(75毫克/千克/天)而非普罗布考(500毫克/千克/天)治疗可降低血脂而不影响高密度脂蛋白(HDL)表达。APPH对高脂血症衰老大鼠的心脏保护作用是通过降低血脂和增强代偿性IGF1R-PI3K-Akt存活途径的激活来实现的。

https://cdn.ncbi.nlm.nih.gov/pmc/blobs/460c/4463638/02ac9a9310fa/ijms-16-10158-g004a.jpg
https://cdn.ncbi.nlm.nih.gov/pmc/blobs/460c/4463638/8d3b650e0a8d/ijms-16-10158-g001.jpg
https://cdn.ncbi.nlm.nih.gov/pmc/blobs/460c/4463638/462653f4761c/ijms-16-10158-g002a.jpg
https://cdn.ncbi.nlm.nih.gov/pmc/blobs/460c/4463638/7ef66ea5d58c/ijms-16-10158-g003a.jpg
https://cdn.ncbi.nlm.nih.gov/pmc/blobs/460c/4463638/02ac9a9310fa/ijms-16-10158-g004a.jpg
https://cdn.ncbi.nlm.nih.gov/pmc/blobs/460c/4463638/8d3b650e0a8d/ijms-16-10158-g001.jpg
https://cdn.ncbi.nlm.nih.gov/pmc/blobs/460c/4463638/462653f4761c/ijms-16-10158-g002a.jpg
https://cdn.ncbi.nlm.nih.gov/pmc/blobs/460c/4463638/7ef66ea5d58c/ijms-16-10158-g003a.jpg
https://cdn.ncbi.nlm.nih.gov/pmc/blobs/460c/4463638/02ac9a9310fa/ijms-16-10158-g004a.jpg

相似文献

1
The Heart Protection Effect of Alcalase Potato Protein Hydrolysate Is through IGF1R-PI3K-Akt Compensatory Reactivation in Aging Rats on High Fat Diets.碱性蛋白酶水解马铃薯蛋白对高脂饮食衰老大鼠的心脏保护作用是通过IGF1R-PI3K-Akt代偿性再激活实现的。
Int J Mol Sci. 2015 May 5;16(5):10158-72. doi: 10.3390/ijms160510158.
2
Oral administration of alcalase potato protein hydrolysate-APPH attenuates high fat diet-induced cardiac complications via TGF-β/GSN axis in aging rats.口服碱性蛋白酶土豆蛋白水解物-APPH 通过 TGF-β/GSN 轴减轻衰老大鼠高脂饮食诱导的心脏并发症。
Environ Toxicol. 2019 Jan;34(1):5-12. doi: 10.1002/tox.22651. Epub 2018 Sep 21.
3
Protein hydrolysate from potato confers hepatic-protection in hamsters against high fat diet induced apoptosis and fibrosis by suppressing Caspase-3 and MMP2/9 and by enhancing Akt-survival pathway.马铃薯蛋白水解产物通过抑制 Caspase-3 和 MMP2/9 以及增强 Akt 生存途径来防止高脂肪饮食诱导的仓鼠肝损伤中的细胞凋亡和纤维化。
BMC Complement Altern Med. 2019 Oct 25;19(1):283. doi: 10.1186/s12906-019-2700-8.
4
Role of potato protein hydrolysate and exercise in preventing high-fat diet-induced hepatocyte apoptosis in senescence-accelerated mouse.马铃薯蛋白水解物和运动在预防快速老化小鼠高脂饮食诱导的肝细胞凋亡中的作用。
J Food Biochem. 2020 Dec;44(12):e13525. doi: 10.1111/jfbc.13525. Epub 2020 Oct 19.
5
Bioactive dipeptide from potato protein hydrolysate combined with swimming exercise prevents high fat diet induced hepatocyte apoptosis by activating PI3K/Akt in SAMP8 mouse.马铃薯蛋白水解物中的生物活性二肽与游泳运动相结合,通过激活 SAMP8 小鼠中的 PI3K/Akt,预防高脂饮食诱导的肝细胞凋亡。
Mol Biol Rep. 2021 Mar;48(3):2629-2637. doi: 10.1007/s11033-021-06317-w. Epub 2021 Mar 31.
6
Lipolysis stimulating peptides of potato protein hydrolysate effectively suppresses high-fat-diet-induced hepatocyte apoptosis and fibrosis in aging rats.马铃薯蛋白水解物的脂肪分解刺激肽可有效抑制高脂饮食诱导的衰老大鼠肝细胞凋亡和纤维化。
Food Nutr Res. 2016 Jul 12;60:31417. doi: 10.3402/fnr.v60.31417. eCollection 2016.
7
The effect of vitamin E, probucol, and lovastatin on oxidative status and aortic fatty lesions in hyperlipidemic-diabetic hamsters.维生素E、普罗布考和洛伐他汀对高脂血症糖尿病仓鼠氧化状态和主动脉脂肪病变的影响。
Atherosclerosis. 2000 Apr;149(2):277-86. doi: 10.1016/s0021-9150(99)00331-7.
8
Daming capsule, a hypolipidaemic drug, lowers blood lipids by activating the AMPK signalling pathway.大名胶囊是一种降脂药物,通过激活 AMPK 信号通路降低血脂。
Biomed Pharmacother. 2019 Sep;117:109176. doi: 10.1016/j.biopha.2019.109176. Epub 2019 Jul 1.
9
Effects of the duration of hyperlipidemia on cerebral lipids, vessels and neurons in rats.高脂血症持续时间对大鼠脑脂质、血管和神经元的影响。
Lipids Health Dis. 2017 Jan 31;16(1):26. doi: 10.1186/s12944-016-0401-6.
10
Antidiabetic Effects of a Short Peptide of Potato Protein Hydrolysate in STZ-Induced Diabetic Mice.马铃薯蛋白短肽对链脲佐菌素诱导糖尿病小鼠的降血糖作用。
Nutrients. 2019 Apr 4;11(4):779. doi: 10.3390/nu11040779.

引用本文的文献

1
Identification of aberrantly expressed genes during aging in the mouse heart via integrated bioinformatics analysis.通过综合生物信息学分析鉴定小鼠心脏衰老过程中异常表达的基因。
Medicine (Baltimore). 2025 Mar 28;104(13):e41972. doi: 10.1097/MD.0000000000041972.
2
Potato protein hydrolysate (PPH902) exerts anti-lipogenesis and lipolysis-promoting effect by inhibiting adipogenesis in 3T3-L1 adipocytes.马铃薯蛋白水解物(PPH902)通过抑制3T3-L1脂肪细胞的脂肪生成发挥抗脂肪生成和促进脂肪分解的作用。
3 Biotech. 2025 Apr;15(4):83. doi: 10.1007/s13205-025-04238-0. Epub 2025 Mar 10.
3
Alcalase Potato Protein Hydrolysate-PPH902 Enhances Myogenic Differentiation and Enhances Skeletal Muscle Protein Synthesis under High Glucose Condition in C2C12 Cells.

本文引用的文献

1
A New Frontier in Soy Bioactive Peptides that May Prevent Age-related Chronic Diseases.大豆生物活性肽预防与年龄相关慢性病的新前沿。
Compr Rev Food Sci Food Saf. 2005 Oct;4(4):63-78. doi: 10.1111/j.1541-4337.2005.tb00075.x.
2
Cardiomyocyte lipotoxicity is mediated by Il-6 and causes down-regulation of PPARs.心肌细胞脂毒性由白细胞介素-6介导,并导致过氧化物酶体增殖物激活受体(PPARs)表达下调。
Biochem Biophys Res Commun. 2015 Mar 27;459(1):54-9. doi: 10.1016/j.bbrc.2015.02.062. Epub 2015 Feb 21.
3
Effects of lactic acid bacteria on cardiac apoptosis are mediated by activation of the phosphatidylinositol-3 kinase/AKT survival-signalling pathway in rats fed a high-fat diet.
碱性蛋白酶马铃薯蛋白水解物-PPH902 增强 C2C12 细胞在高葡萄糖条件下的成肌分化和增强骨骼肌蛋白合成。
Molecules. 2021 Oct 30;26(21):6577. doi: 10.3390/molecules26216577.
4
Hyperglycemia-Induced Cardiac Damage Is Alleviated by Heat-Inactivated Lactobacillus reuteri GMNL-263 via Activation of the IGF1R Survival Pathway.高血糖诱导的心脏损伤通过热灭活鼠李糖乳杆菌 GMNL-263 激活 IGF1R 生存途径得到缓解。
Probiotics Antimicrob Proteins. 2021 Aug;13(4):1044-1053. doi: 10.1007/s12602-021-09745-z. Epub 2021 Feb 1.
5
A novel dipeptide from potato protein hydrolysate augments the effects of exercise training against high-fat diet-induced damages in senescence-accelerated mouse-prone 8 by boosting pAMPK / SIRT1/ PGC-1α/ pFOXO3 pathway.一种来自马铃薯蛋白水解物的新型二肽通过增强 pAMPK/SIRT1/PGC-1α/pFOXO3 通路增强运动训练对加速老化敏感 8 号小鼠高脂饮食诱导损伤的作用。
Aging (Albany NY). 2020 Apr 26;12(8):7334-7349. doi: 10.18632/aging.103081.
6
Protein hydrolysate from potato confers hepatic-protection in hamsters against high fat diet induced apoptosis and fibrosis by suppressing Caspase-3 and MMP2/9 and by enhancing Akt-survival pathway.马铃薯蛋白水解产物通过抑制 Caspase-3 和 MMP2/9 以及增强 Akt 生存途径来防止高脂肪饮食诱导的仓鼠肝损伤中的细胞凋亡和纤维化。
BMC Complement Altern Med. 2019 Oct 25;19(1):283. doi: 10.1186/s12906-019-2700-8.
7
Antidiabetic Effects of a Short Peptide of Potato Protein Hydrolysate in STZ-Induced Diabetic Mice.马铃薯蛋白短肽对链脲佐菌素诱导糖尿病小鼠的降血糖作用。
Nutrients. 2019 Apr 4;11(4):779. doi: 10.3390/nu11040779.
8
Lipolysis stimulating peptides of potato protein hydrolysate effectively suppresses high-fat-diet-induced hepatocyte apoptosis and fibrosis in aging rats.马铃薯蛋白水解物的脂肪分解刺激肽可有效抑制高脂饮食诱导的衰老大鼠肝细胞凋亡和纤维化。
Food Nutr Res. 2016 Jul 12;60:31417. doi: 10.3402/fnr.v60.31417. eCollection 2016.
乳酸菌对心脏细胞凋亡的影响是通过激活高脂饮食喂养大鼠的磷脂酰肌醇-3激酶/AKT生存信号通路介导的。
Int J Mol Med. 2015 Feb;35(2):460-70. doi: 10.3892/ijmm.2014.2021. Epub 2014 Dec 4.
4
Calorie restriction combined with resveratrol induces autophagy and protects 26-month-old rat hearts from doxorubicin-induced toxicity.热量限制联合白藜芦醇可诱导自噬,并保护26月龄大鼠心脏免受阿霉素诱导的毒性作用。
Free Radic Biol Med. 2014 Sep;74:252-62. doi: 10.1016/j.freeradbiomed.2014.06.011. Epub 2014 Jun 26.
5
Apolipoprotein O is mitochondrial and promotes lipotoxicity in heart.载脂蛋白 O 位于线粒体中,并促进心脏的脂毒性。
J Clin Invest. 2014 May;124(5):2277-86. doi: 10.1172/JCI74668. Epub 2014 Apr 17.
6
Magnolia extract (BL153) protection of heart from lipid accumulation caused cardiac oxidative damage, inflammation, and cell death in high-fat diet fed mice.木兰提取物(BL153)对心脏的保护作用可防止高脂饮食喂养小鼠出现脂质积累、心脏氧化损伤、炎症及细胞死亡。
Oxid Med Cell Longev. 2014;2014:205849. doi: 10.1155/2014/205849. Epub 2014 Feb 16.
7
Bioactive vegetable proteins and peptides in lipid-lowering; nutraceutical potential.具有降血脂作用的生物活性植物蛋白和肽;营养保健潜力。
Nutr Hosp. 2014 Apr 1;29(4):776-84. doi: 10.3305/nh.2014.29.4.7208.
8
Functional significance of bioactive peptides derived from soybean.源自大豆的生物活性肽的功能意义。
Peptides. 2014 Apr;54:171-9. doi: 10.1016/j.peptides.2014.01.022. Epub 2014 Feb 5.
9
Extracellular vesicle markers in relation to obesity and metabolic complications in patients with manifest cardiovascular disease.明显心血管疾病患者中与肥胖及代谢并发症相关的细胞外囊泡标志物
Cardiovasc Diabetol. 2014 Feb 5;13:37. doi: 10.1186/1475-2840-13-37.
10
GABA tea prevents cardiac fibrosis by attenuating TNF-alpha and Fas/FasL-mediated apoptosis in streptozotocin-induced diabetic rats.GABA 茶通过减轻链脲佐菌素诱导的糖尿病大鼠 TNF-α 和 Fas/FasL 介导的细胞凋亡来预防心脏纤维化。
Food Chem Toxicol. 2014 Mar;65:90-6. doi: 10.1016/j.fct.2013.12.022. Epub 2013 Dec 27.