• 文献检索
  • 文档翻译
  • 深度研究
  • 学术资讯
  • Suppr Zotero 插件Zotero 插件
  • 邀请有礼
  • 套餐&价格
  • 历史记录
应用&插件
Suppr Zotero 插件Zotero 插件浏览器插件Mac 客户端Windows 客户端微信小程序
定价
高级版会员购买积分包购买API积分包
服务
文献检索文档翻译深度研究API 文档MCP 服务
关于我们
关于 Suppr公司介绍联系我们用户协议隐私条款
关注我们

Suppr 超能文献

核心技术专利:CN118964589B侵权必究
粤ICP备2023148730 号-1Suppr @ 2026

文献检索

告别复杂PubMed语法,用中文像聊天一样搜索,搜遍4000万医学文献。AI智能推荐,让科研检索更轻松。

立即免费搜索

文件翻译

保留排版,准确专业,支持PDF/Word/PPT等文件格式,支持 12+语言互译。

免费翻译文档

深度研究

AI帮你快速写综述,25分钟生成高质量综述,智能提取关键信息,辅助科研写作。

立即免费体验

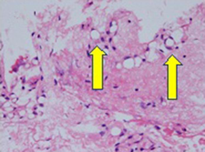
心包活检显示为胃印戒细胞癌。

Pericardial biopsy revealed gastric signet-ring cell cancer.

作者信息

Hashimoto Yu, Iwata Yoshifumi, Sangen Ryusho, Usuda Daisuke, Kanda Tsugiyasu, Sakamoto Daisuke, Takagi Shou, Sakamoto Shigeru

机构信息

Department of General Medicine, Kanazawa Medical University Himi Municipal Hospital, Himi, Japan.

Department of Cardiovascular Surgery, Kanazawa Medical University Himi Municipal Hospital, Himi, Japan.

出版信息

Case Rep Oncol. 2015 Mar 26;8(1):174-8. doi: 10.1159/000381260. eCollection 2015 Jan-Apr.

DOI:10.1159/000381260
PMID:25960729
原文链接:https://pmc.ncbi.nlm.nih.gov/articles/PMC4410591/
Abstract

We describe the case of an 85-year-old man who presented with a large pericardial effusion. The patient was admitted because of anorexia and general malaise. Chest X-ray revealed an increased cardiothoracic ratio and a small amount of bilateral pleural effusion. Two-dimensional ultrasonographic echocardiography showed pericardial effusions with atrial and right ventricular early diastolic collapse, establishing the diagnosis of cardiac tamponade. Signet-ring cell cancer with pericardial involvement was diagnosed by subxiphoid pericardiostomy. The clear fluid was removed through pericardial drainage. The signet-ring cell carcinoma of the stomach was revealed by gastric fiberscope examination after pericardial biopsy proved malignancy. Virchow lymph node metastasis was also found. We diagnosed the patient with gastric cancer stage IV and suggested him the best supportive therapy. He died of cardiac arrest 1 month after best supportive care.

摘要

我们描述了一名85岁男性出现大量心包积液的病例。该患者因厌食和全身不适入院。胸部X线显示心胸比增大及少量双侧胸腔积液。二维超声心动图显示心包积液伴心房和右心室舒张早期塌陷,确诊为心脏压塞。经剑突下心包造口术诊断为印戒细胞癌伴心包受累。通过心包引流清除清亮液体。心包活检证实为恶性后,经胃纤维镜检查发现胃印戒细胞癌。还发现了魏尔啸淋巴结转移。我们诊断该患者为IV期胃癌,并建议其接受最佳支持治疗。在接受最佳支持治疗1个月后,他死于心脏骤停。

https://cdn.ncbi.nlm.nih.gov/pmc/blobs/e493/4410591/a9feca63c76f/cro-0008-0174-g03.jpg
https://cdn.ncbi.nlm.nih.gov/pmc/blobs/e493/4410591/b62026a30ee4/cro-0008-0174-g01.jpg
https://cdn.ncbi.nlm.nih.gov/pmc/blobs/e493/4410591/87f7130265ba/cro-0008-0174-g02.jpg
https://cdn.ncbi.nlm.nih.gov/pmc/blobs/e493/4410591/a9feca63c76f/cro-0008-0174-g03.jpg
https://cdn.ncbi.nlm.nih.gov/pmc/blobs/e493/4410591/b62026a30ee4/cro-0008-0174-g01.jpg
https://cdn.ncbi.nlm.nih.gov/pmc/blobs/e493/4410591/87f7130265ba/cro-0008-0174-g02.jpg
https://cdn.ncbi.nlm.nih.gov/pmc/blobs/e493/4410591/a9feca63c76f/cro-0008-0174-g03.jpg

相似文献

1
Pericardial biopsy revealed gastric signet-ring cell cancer.心包活检显示为胃印戒细胞癌。
Case Rep Oncol. 2015 Mar 26;8(1):174-8. doi: 10.1159/000381260. eCollection 2015 Jan-Apr.
2
Primary gastric signet ring cell carcinoma presenting as cardiac tamponade.原发性胃印戒细胞癌表现为心脏压塞。
World J Gastrointest Oncol. 2011 Apr 15;3(4):67-70. doi: 10.4251/wjgo.v3.i4.67.
3
Cardiac tamponade originating from primary gastric signet ring cell carcinoma.原发性胃印戒细胞癌导致的心包填塞
J Gastroenterol. 1999 Apr;34(2):250-2. doi: 10.1007/s005350050252.
4
A case with cardiac tamponade as the first sign of primary gastric signet-ring cell carcinoma treated with combination therapy.以心脏压塞为首发表现的原发性胃印戒细胞癌 1 例,采用联合治疗。
Med Sci Monit. 2010 Apr;16(4):CS41-44.
5
Continuous drainage for the treatment of gastric cancer with pericardial metastasis and cardiac tamponade: A case report.持续引流治疗胃癌心包转移并心脏压塞:一例报告
Clin Case Rep. 2023 Jun 13;11(6):e7522. doi: 10.1002/ccr3.7522. eCollection 2023 Jun.
6
[Symptomatic pericardial effusion as initial manifestation of gastric signet ring cell carcinoma].[症状性心包积液作为胃印戒细胞癌的初始表现]
Dtsch Med Wochenschr. 2003 Apr 17;128(16):870-3. doi: 10.1055/s-2003-38701.
7
Cardiac tamponade due to metastasis from early gastric cancer.早期胃癌转移所致心脏压塞
Clin J Gastroenterol. 2008 Oct;1(3):100-104. doi: 10.1007/s12328-008-0032-1. Epub 2008 Nov 28.
8
Cardiac Tamponade Unmasking Recurrent Ovarian Cancer.心脏压塞揭示复发性卵巢癌
Cureus. 2021 Jun 5;13(6):e15464. doi: 10.7759/cureus.15464.
9
Concurrent pericardial and pleural effusions: a double jeopardy.同时存在的心包积液和胸腔积液:双重风险。
J Clin Anesth. 2016 Sep;33:341-5. doi: 10.1016/j.jclinane.2016.04.056. Epub 2016 May 19.
10
Pericardial effusion: subxiphoid pericardiostomy versus percutaneous catheter drainage.心包积液:剑突下心包造口术与经皮导管引流术的比较
Ann Thorac Surg. 1999 Feb;67(2):437-40. doi: 10.1016/s0003-4975(98)01192-8.

引用本文的文献

1
Continuous drainage for the treatment of gastric cancer with pericardial metastasis and cardiac tamponade: A case report.持续引流治疗胃癌心包转移并心脏压塞:一例报告
Clin Case Rep. 2023 Jun 13;11(6):e7522. doi: 10.1002/ccr3.7522. eCollection 2023 Jun.
2
Pericardial Disease Associated with Malignancy.心包疾病与恶性肿瘤相关。
Curr Cardiol Rep. 2018 Aug 20;20(10):92. doi: 10.1007/s11886-018-1040-5.

本文引用的文献

1
Pericardioscopy and epi- and pericardial biopsy - a new window to the heart improving etiological diagnoses and permitting targeted intrapericardial therapy.心包镜检查术、心外膜和心包活检术——打开心脏的新窗口,提高病因诊断水平,并能进行靶向性心包内治疗。
Heart Fail Rev. 2013 May;18(3):317-28. doi: 10.1007/s10741-013-9382-y.
2
Primary gastric signet ring cell carcinoma presenting as cardiac tamponade.原发性胃印戒细胞癌表现为心脏压塞。
World J Gastrointest Oncol. 2011 Apr 15;3(4):67-70. doi: 10.4251/wjgo.v3.i4.67.
3
A case with cardiac tamponade as the first sign of primary gastric signet-ring cell carcinoma treated with combination therapy.
以心脏压塞为首发表现的原发性胃印戒细胞癌 1 例,采用联合治疗。
Med Sci Monit. 2010 Apr;16(4):CS41-44.
4
Systemic chemotherapy of TS-1 and cisplatin for gastric signet-ring cell carcinoma presenting as cardiac tamponade.
Med Oncol. 2008;25(2):241-4. doi: 10.1007/s12032-007-9010-6. Epub 2007 Oct 2.
5
A patient with 43 synchronous early gastric carcinomas with a Krukenberg tumor and pericardial metastasis.一名患有43处同时性早期胃癌并伴有库肯勃瘤和心包转移的患者。
Gastric Cancer. 2007;10(2):135-9. doi: 10.1007/s10120-007-0416-9. Epub 2007 Jun 25.
6
Clinicopathological study of cardiac tamponade due to pericardial metastasis originating from gastric cancer.源自胃癌的心包转移所致心脏压塞的临床病理研究
World J Gastroenterol. 2005 Nov 28;11(44):6899-904. doi: 10.3748/wjg.v11.i44.6899.
7
Metastases in carcinoma; analysis of 1000 autopsied cases.癌转移;1000例尸检病例分析
Cancer. 1950 Jan;3(1):74-85. doi: 10.1002/1097-0142(1950)3:1<74::aid-cncr2820030111>3.0.co;2-7.
8
Cardiac tamponade originating from primary gastric signet ring cell carcinoma.原发性胃印戒细胞癌导致的心包填塞
J Gastroenterol. 1999 Apr;34(2):250-2. doi: 10.1007/s005350050252.
9
Pericardioscopy in the etiologic diagnosis of pericardial effusion in 141 consecutive patients.141例连续心包积液患者的心包镜检查在病因诊断中的应用
Circulation. 1996 Oct 1;94(7):1635-41. doi: 10.1161/01.cir.94.7.1635.
10
[Metastatic cardiac tumors--clinicopathological evaluation of 64 autopsy cases].[转移性心脏肿瘤——64例尸检病例的临床病理评估]
Kokyu To Junkan. 1983 May;31(5):569-73.