Zhang Jin, Song Guan-Yang, Chen Xing-Zuo, Li Yue, Li Xu, Zhou Jun-Lin
Department of Orthopaedics, Beijing Chao Yang Hospital, Capital Medical University, Beijing 100020, China.
Chin Med J (Engl). 2015 May 20;128(10):1370-5. doi: 10.4103/0366-6999.156784.
Many studies suggest that the gamma irradiation decreases allograft strength in a dose-dependent manner. However, no study has demonstrated that this decrease in strength translates into higher failure rate in meniscal allograft transplantation (MAT). The aim of this study was to investigate the effects of gamma irradiation on macroscopic and histological alterations of transplanted meniscal tissue and joint cartilage after MAT.
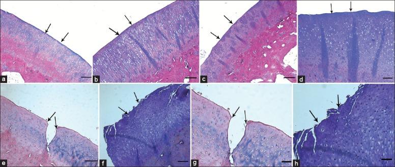
Medial total meniscectomies were performed on the right knees of 60 New Zealand white rabbits. All meniscal allografts were divided into three groups (20 in each group) and then sterilized with 0 Mrad, 1.5 Mrad, or 2.5 Mrad of gamma irradiation. For each group, 5 menisci were randomly chosen for scanning electron microscopic (SEM) analysis and the remaining 15 were prepared for MAT surgeries. Forty-five right knees received MAT surgeries (0 Mrad group, 1.5 Mrad group, 2.5 Mrad group, 15 in each group), whereas the remaining 15 only received medial meniscectomy (Meni group). The left knees of the Meni group were chosen as the Sham group (n = 15). All the rabbits were sacrificed at week 24 postoperatively. Cartilage of the medial compartment of each group was evaluated macroscopically using the International Cartilage Repair Society (ICRS) score and then histologically using the Mankin score based on the Masson Trichrome staining.
The SEM analysis confirmed that the meniscal collagen fibers would be significantly damaged as the dose of gamma irradiation increased. At week 24, the overall scores of macroscopic evaluations of the transplanted meniscal tissue showed no significant differences among the three groups receiving MAT surgeries, except for 2 in the 2.5 Mrad group presented partial radial tears at midbody. The ICRS scores and the Mankin scores showed the lowest in the Sham group and the highest in the Meni group (P < 0.05). For the three groups receiving MAT surgeries, the 2.5 Mrad group showed significant higher ICRS scores and Mankin scores than both the 0 Mrad group and the 1.5 Mrad group (P < 0.05). Whereas the 1.5 Mrad group presented similar results to the 0 Mrad group concerning both the ICRS scores and the Mankin scores.
The current in vivo animal study proved that although the meniscal collagen fibers were damaged after gamma irradiation, the failure rate of MAT surgeries might not significantly increase if the irradiation dose was <1.5 Mrad for New Zealand white rabbits.
许多研究表明,γ射线辐照会以剂量依赖的方式降低同种异体移植物的强度。然而,尚无研究表明这种强度降低会转化为半月板同种异体移植(MAT)中更高的失败率。本研究的目的是调查γ射线辐照对MAT术后移植半月板组织和关节软骨的宏观及组织学改变的影响。
对60只新西兰白兔的右膝进行内侧半月板全切除术。将所有半月板同种异体移植物分为三组(每组20个),然后分别用0兆拉德、1.5兆拉德或2.5兆拉德的γ射线进行灭菌。对于每组,随机选择5个半月板进行扫描电子显微镜(SEM)分析,其余15个准备用于MAT手术。45只右膝接受了MAT手术(0兆拉德组、1.5兆拉德组、2.5兆拉德组,每组15只),而其余15只仅接受内侧半月板切除术(半月板组)。将半月板组的左膝作为假手术组(n = 15)。所有兔子在术后24周处死。使用国际软骨修复协会(ICRS)评分对每组内侧间室的软骨进行宏观评估,然后基于Masson三色染色使用曼金评分进行组织学评估。
SEM分析证实,随着γ射线辐照剂量的增加,半月板胶原纤维会受到显著损伤。在术后24周时,接受MAT手术的三组中,移植半月板组织的宏观评估总分无显著差异,但2.5兆拉德组中有2个在体中部出现部分放射状撕裂。ICRS评分和曼金评分在假手术组中最低,在半月板组中最高(P < 0.05)。对于接受MAT手术的三组,2.5兆拉德组的ICRS评分和曼金评分显著高于0兆拉德组和1.5兆拉德组(P < 0.05)。而1.5兆拉德组在ICRS评分和曼金评分方面与0兆拉德组结果相似。
当前的体内动物研究证明,尽管γ射线辐照后半月板胶原纤维受损,但对于新西兰白兔,如果辐照剂量<1.5兆拉德,MAT手术的失败率可能不会显著增加。