Suppr超能文献

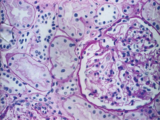
Obstructive nephropathy and kidney injury associated with ketamine abuse.

作者信息

Selby Nicholas M, Anderson John, Bungay Peter, Chesterton Lindsay J, Kolhe Nitin V

机构信息

Department of Renal Medicine.

Department of Interventional Radiology , Derby City Hospital , Derby , UK.

出版信息

NDT Plus. 2008 Oct;1(5):310-2. doi: 10.1093/ndtplus/sfn054. Epub 2008 May 21.

Abstract
摘要
https://cdn.ncbi.nlm.nih.gov/pmc/blobs/60f3/4421282/1c91cfa72de6/sfn054fig1.jpg

文献AI研究员

20分钟写一篇综述,助力文献阅读效率提升50倍。

立即体验

用中文搜PubMed

大模型驱动的PubMed中文搜索引擎

马上搜索

文档翻译

学术文献翻译模型,支持多种主流文档格式。

立即体验