Suppr超能文献

一名感染BK病毒的肾移植受者发生的高级别尿路上皮癌。

High-grade urothelial carcinoma in a kidney transplant recipient with BK virus infection.

作者信息

Hill Prue, Slavin John, Goodman David

机构信息

Department of Anatomical Pathology.

Department of Nephrology , St Vincent's Hospital , Fitzroy 3065, Victoria , Australia.

出版信息

NDT Plus. 2009 Jun;2(3):246-9. doi: 10.1093/ndtplus/sfp025. Epub 2009 Feb 26.

Abstract

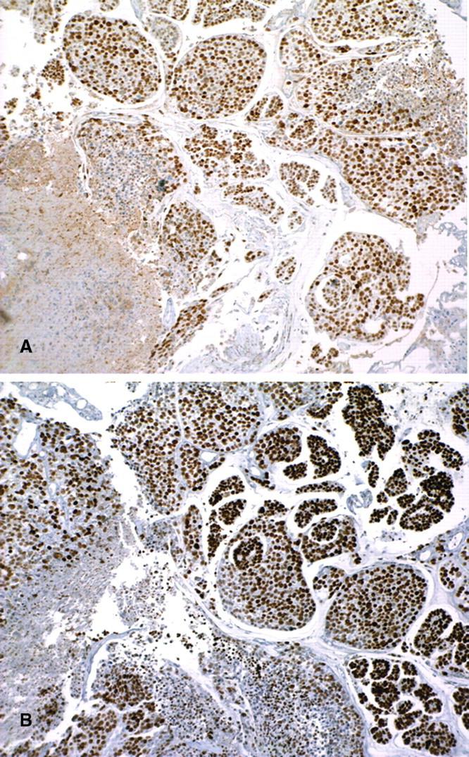
Bladder malignancy in the kidney transplant recipient is rare and compared with the general population tends to be of high grade and have an aggressive clinical course. In this report, we describe a case of urothelial carcinoma developing in a kidney transplant recipient 6 years after the diagnosis of polyomavirus nephropathy (PVN). BK virus (BKV) DNA was identified in urine and serum by PCR. The diffuse strong staining of SV40 T-antigen and p53 within both the in situ and invasive carcinoma suggest that BKV may play a role in the oncogenic pathway in this clinical setting.

摘要

肾移植受者发生膀胱恶性肿瘤较为罕见,与普通人群相比,往往分级较高且临床病程侵袭性强。在本报告中,我们描述了一例在诊断为多瘤病毒肾病(PVN)6年后发生于肾移植受者的尿路上皮癌病例。通过聚合酶链反应(PCR)在尿液和血清中检测到BK病毒(BKV)DNA。原位癌和浸润癌中SV40 T抗原和p53的弥漫性强染色表明,在这种临床情况下,BKV可能在致癌途径中发挥作用。

https://cdn.ncbi.nlm.nih.gov/pmc/blobs/393a/4421192/642311413073/sfp025fig1.jpg

文献检索

告别复杂PubMed语法,用中文像聊天一样搜索,搜遍4000万医学文献。AI智能推荐,让科研检索更轻松。

立即免费搜索

文件翻译

保留排版,准确专业,支持PDF/Word/PPT等文件格式,支持 12+语言互译。

免费翻译文档

深度研究

AI帮你快速写综述,25分钟生成高质量综述,智能提取关键信息,辅助科研写作。

立即免费体验