Suppr超能文献

Falling through the cracks of vasculitis classification-a report of three patients.

作者信息

Havill John P, Levine Stuart M, Kuperman Michael, Hellmann David B, Geetha Duvuru

机构信息

Division of Nephrology, Department of Medicine, Johns Hopkins Bayview Medical Center, Baltimore, MD, USA.

Division of Rheumatology, Department of Medicine, Johns Hopkins Bayview Medical Center, Baltimore, MD, USA.

出版信息

NDT Plus. 2011 Oct;4(5):327-30. doi: 10.1093/ndtplus/sfr054. Epub 2011 Apr 14.

Abstract
摘要
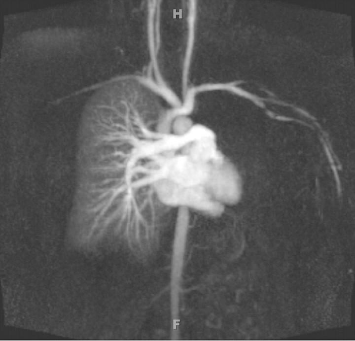
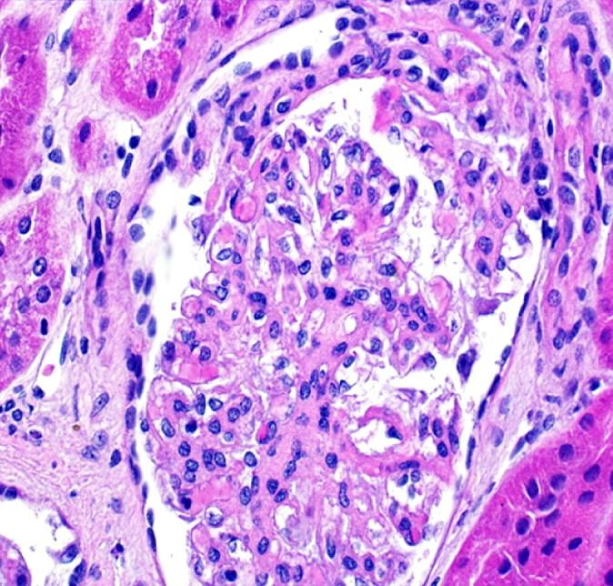
https://cdn.ncbi.nlm.nih.gov/pmc/blobs/7606/4421729/ad2c8b3ebb5b/ndtplussfr054f01_3c.jpg

文献AI研究员

20分钟写一篇综述,助力文献阅读效率提升50倍。

立即体验

用中文搜PubMed

大模型驱动的PubMed中文搜索引擎

马上搜索

文档翻译

学术文献翻译模型,支持多种主流文档格式。

立即体验