Suppr超能文献

多能性因子NANOG促进鳞状细胞癌的形成。

The pluripotency factor NANOG promotes the formation of squamous cell carcinomas.

作者信息

Palla Adelaida R, Piazzolla Daniela, Alcazar Noelia, Cañamero Marta, Graña Osvaldo, Gómez-López Gonzalo, Dominguez Orlando, Dueñas Marta, Paramio Jesús M, Serrano Manuel

机构信息

1] Molecular Oncology Unit, CIEMAT, Madrid 28040, Spain [2] Oncogenomic Unit, Institute of Biomedical Research, University Hospital "12 de Octubre", Madrid 28040, Spain.

出版信息

Sci Rep. 2015 May 19;5:10205. doi: 10.1038/srep10205.

Abstract

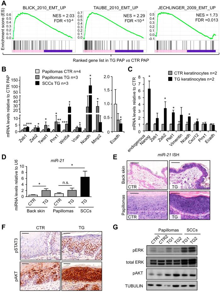
NANOG is a key pluripotency factor in embryonic stem cells that is frequently expressed in squamous cell carcinomas (SCCs). However, a direct link between NANOG and SCCs remains to be established. Here, we show that inducible overexpression of NANOG in mouse skin epithelia favours the malignant conversion of skin papillomas induced by chemical carcinogenesis, leading to increased SCC formation. Gene expression analyses in pre-malignant skin indicate that NANOG induces genes associated to epithelial-mesenchymal transition (EMT). Some of these genes are directly activated by NANOG, including EMT-associated genes Zeb1, Zeb2, Twist1, Prrx1 and miR-21. Finally, endogenous NANOG binds to the promoters of theses genes in human SCC cells and, moreover, NANOG induces EMT features in primary keratinocytes. These results provide in vivo evidence for the oncogenic role of NANOG in squamous cell carcinomas.

摘要

NANOG是胚胎干细胞中的关键多能性因子,在鳞状细胞癌(SCC)中经常表达。然而,NANOG与SCC之间的直接联系仍有待确立。在此,我们表明在小鼠皮肤上皮细胞中诱导NANOG过表达有利于化学致癌诱导的皮肤乳头状瘤发生恶性转化,导致SCC形成增加。癌前皮肤的基因表达分析表明,NANOG诱导与上皮-间质转化(EMT)相关的基因。其中一些基因由NANOG直接激活,包括与EMT相关的基因Zeb1、Zeb2、Twist1、Prrx1和miR-21。最后,内源性NANOG在人SCC细胞中与这些基因的启动子结合,此外,NANOG在原代角质形成细胞中诱导EMT特征。这些结果为NANOG在鳞状细胞癌中的致癌作用提供了体内证据。

https://cdn.ncbi.nlm.nih.gov/pmc/blobs/50a0/4437308/69ecbb5521ad/srep10205-f1.jpg

文献检索

告别复杂PubMed语法,用中文像聊天一样搜索,搜遍4000万医学文献。AI智能推荐,让科研检索更轻松。

立即免费搜索

文件翻译

保留排版,准确专业,支持PDF/Word/PPT等文件格式,支持 12+语言互译。

免费翻译文档

深度研究

AI帮你快速写综述,25分钟生成高质量综述,智能提取关键信息,辅助科研写作。

立即免费体验