Suppr超能文献

朗格汉斯细胞组织细胞增多症继发霍奇金淋巴瘤:一例报告

Langerhans cell histiocytosis followed by hodgkin lymphoma: a case report.

作者信息

Safaei Akbar, Bagheri Mandana, Shahryari Jahanbanoo, Noori Sadat, Esmailzade Elmira

机构信息

Department of Pathology, Molecular Pathology and Cytogenetic Ward, Shiraz University of Medical Sciences, Iran;

Student Research Committee, Shiraz University of Medical Sciences, Shiraz, Iran.

出版信息

Iran J Med Sci. 2015 May;40(3):282-6.

Abstract

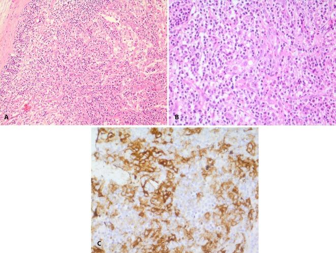
Langerhans cell histiocytosis (LCH) is a rare neoplasm defined as the proliferation of bone marrow langerhans cells, which is a kind of dendritic cells. The major pathological features of LCH are expression of CD1a and S100 as well as Birbeck granules. Its presentation can differ from a mild bone lesion to a multi-systemic evolved malignant neoplasm; however, the latter outcome is almost rare. Thus, LCH is mostly known as a benign neoplasm. In this study, we present a case of LCH followed by Hodgkin lymphoma (HL). Accompaniment of this disease with malignant lymphoma is rare and considered as case report. Several cases in which malignant lymphoma occurred prior to LCH are reported; however, few cases can be found with LCH followed by malignant lymphomas.

摘要

朗格汉斯细胞组织细胞增多症(LCH)是一种罕见的肿瘤,定义为骨髓朗格汉斯细胞(一种树突状细胞)的增殖。LCH的主要病理特征是CD1a和S100的表达以及伯贝克颗粒。其表现从轻度骨病变到多系统进展的恶性肿瘤不等;然而,后一种情况几乎很少见。因此,LCH大多被认为是一种良性肿瘤。在本研究中,我们报告一例LCH继发霍奇金淋巴瘤(HL)的病例。这种疾病与恶性淋巴瘤同时存在很罕见,被视为病例报告。有几例恶性淋巴瘤发生在LCH之前的病例报道;然而,很少能找到LCH继发恶性淋巴瘤的病例。

https://cdn.ncbi.nlm.nih.gov/pmc/blobs/eedb/4430893/9a9d43876ffe/ijms-40-282-g001.jpg

文献AI研究员

20分钟写一篇综述,助力文献阅读效率提升50倍。

立即体验

用中文搜PubMed

大模型驱动的PubMed中文搜索引擎

马上搜索

文档翻译

学术文献翻译模型,支持多种主流文档格式。

立即体验