Suppr超能文献

使用1.0特斯拉开放式扫描仪评估小儿及先天性心脏病:一项回顾性队列研究。

Use of a 1.0 Tesla open scanner for evaluation of pediatric and congenital heart disease: a retrospective cohort study.

作者信息

Lu Jimmy C, Nielsen James C, Morowitz Layne, Musani Muzammil, Ghadimi Mahani Maryam, Agarwal Prachi P, Ibrahim El-Sayed H, Dorfman Adam L

机构信息

Department of Pediatrics and Communicable Diseases, Division of Pediatric Cardiology, University of Michigan, Ann Arbor, MI, USA.

Department of Radiology, Section of Pediatric Radiology, University of Michigan, Ann Arbor, MI, USA.

出版信息

J Cardiovasc Magn Reson. 2015 May 25;17(1):39. doi: 10.1186/s12968-015-0144-y.

Abstract

BACKGROUND

Open cardiovascular magnetic resonance (CMR) scanners offer the potential for imaging patients with claustrophobia or large body size, but at a lower 1.0 Tesla magnetic field. This study aimed to evaluate the efficacy of open CMR for evaluation of pediatric and congenital heart disease.

METHODS

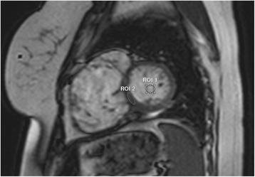
This retrospective, cross-sectional study included all patients ≤18 years old or with congenital heart disease who underwent CMR on an open 1.0 Tesla scanner at two centers from 2012-2014. Indications for CMR and clinical questions were extracted from the medical record. Studies were qualitatively graded for image quality and diagnostic utility. In a subset of 25 patients, signal-to-noise (SNR) and contrast-to-noise (CNR) ratios were compared to size- and diagnosis-matched patients with CMR on a 1.5 Tesla scanner.

RESULTS

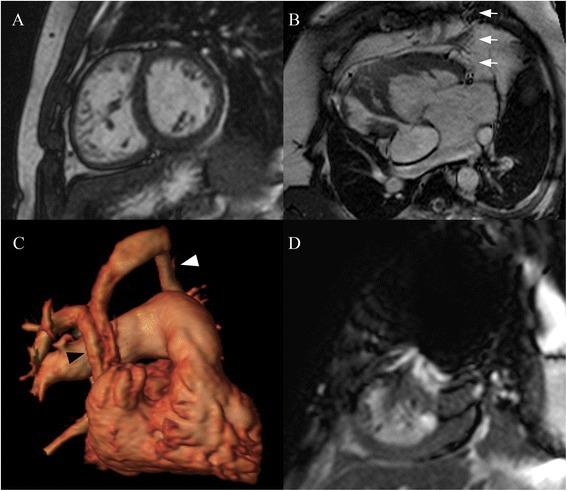
A total of 65 patients (median 17.3 years old, 60% male) were included. Congenital heart disease was present in 32 (50%), with tetralogy of Fallot and bicuspid aortic valve the most common diagnoses. Open CMR was used due to scheduling/equipment issues in 51 (80%), claustrophobia in 7 (11%), and patient size in 3 (5%); 4 patients with claustrophobia had failed CMR on a different scanner, but completed the study on open CMR without sedation. All patients had good or excellent image quality on black blood, phase contrast, magnetic resonance angiography, and late gadolinium enhancement imaging. There was below average image quality in 3/63 (5%) patients with cine images, and 4/15 (27%) patients with coronary artery imaging. SNR and CNR were decreased in cine and magnetic resonance angiography images compared to 1.5 Tesla. The clinical question was answered adequately in all but 2 patients; 1 patient with a Fontan had artifact from an embolization coil limiting RV volume analysis, and in 1 patient the right coronary artery origin was not well seen.

CONCLUSIONS

Open 1.0 Tesla scanners can effectively evaluate pediatric and congenital heart disease, including patients with claustrophobia and larger body size. Despite minor artifacts and differences in SNR and CNR, the majority of clinical questions can be answered adequately, with some limitations with coronary artery imaging. Further evaluation is necessary to optimize protocols and image quality.

摘要

背景

开放式心血管磁共振(CMR)扫描仪为对幽闭恐惧症患者或体型较大的患者进行成像提供了可能,但磁场强度为较低的1.0特斯拉。本研究旨在评估开放式CMR对小儿及先天性心脏病的评估效果。

方法

这项回顾性横断面研究纳入了2012年至2014年在两个中心于1.0特斯拉开放式扫描仪上接受CMR检查的所有18岁及以下或患有先天性心脏病的患者。从病历中提取CMR的适应证和临床问题。对研究的图像质量和诊断效用进行定性分级。在25例患者的子集中,将信噪比(SNR)和对比噪声比(CNR)与在1.5特斯拉扫描仪上进行CMR检查的、在体型和诊断方面相匹配的患者进行比较。

结果

共纳入65例患者(中位年龄17.3岁,60%为男性)。32例(50%)患有先天性心脏病,其中法洛四联症和二叶式主动脉瓣是最常见的诊断。51例(80%)因检查安排/设备问题使用开放式CMR,7例(11%)因幽闭恐惧症,3例(5%)因患者体型;4例幽闭恐惧症患者在另一台扫描仪上CMR检查失败,但在开放式CMR上未使用镇静剂即完成了检查。所有患者在黑血、相位对比、磁共振血管造影和延迟钆增强成像上均具有良好或优秀的图像质量。3/63例(5%)电影图像患者和4/15例(27%)冠状动脉成像患者的图像质量低于平均水平。与1.5特斯拉相比,电影图像和磁共振血管造影图像中的SNR和CNR降低。除2例患者外,所有患者的临床问题均得到充分解答;1例接受Fontan手术的患者因栓塞线圈产生伪影,限制了右心室容积分析,1例患者右冠状动脉起源显示不清。

结论

1.0特斯拉开放式扫描仪可有效评估小儿及先天性心脏病,包括幽闭恐惧症患者和体型较大的患者。尽管存在轻微伪影以及SNR和CNR的差异,但大多数临床问题仍可得到充分解答,冠状动脉成像存在一些局限性。需要进一步评估以优化检查方案和图像质量。

https://cdn.ncbi.nlm.nih.gov/pmc/blobs/9040/4490663/d9cd2cd569e2/12968_2015_144_Fig1_HTML.jpg

文献AI研究员

20分钟写一篇综述,助力文献阅读效率提升50倍。

立即体验

用中文搜PubMed

大模型驱动的PubMed中文搜索引擎

马上搜索

文档翻译

学术文献翻译模型,支持多种主流文档格式。

立即体验