Suppr超能文献

胼胝体脂肪瘤伴癫痫发作及病灶周围水肿扩大:一例报告及文献综述

Lipoma in the Corpus Callosum Presenting with Epileptic Seizures Associated with Expanding Perifocal Edema: A Case Report and Literature Review.

作者信息

Fuga Michiyasu, Tanaka Toshihide, Yamamoto Yohei, Hasegawa Yuzuru, Murayama Yuichi, Takahashi-Fujigasaki Junko

机构信息

Department of Neurosurgery, Jikei University School of Medicine, Kashiwa Hospital, Chiba, Japan.

Department of Neurosurgery, Jikei University School of Medicine, Tokyo, Japan.

出版信息

Case Rep Neurol Med. 2015;2015:520208. doi: 10.1155/2015/520208. Epub 2015 May 13.

Abstract

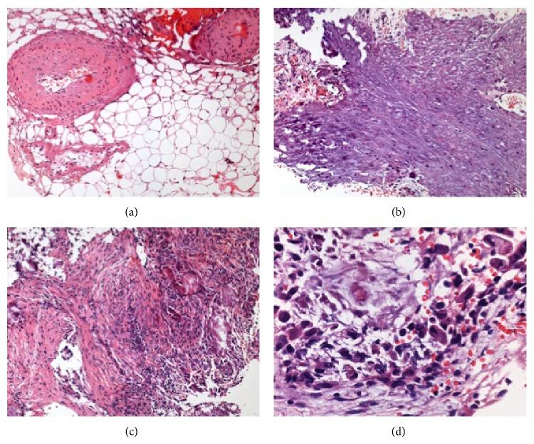
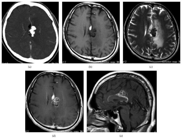
This report describes a rare case of a patient with lipoma presenting with epileptic seizures associated with expanding perifocal edema. The patient was a 48-year-old man who presented with loss of consciousness and convulsions. Magnetic resonance imaging (MRI) revealed a calcified mass in the corpus callosum with perifocal edema causing mass effect. An interhemispheric approach was used to biopsy the mass lesion. Histological examination revealed typical adipose cells, along with hamartomatous components. These components contained neurofilament and S-100-positive structures showing marked calcification. Fibrous cells immunoreactive for α-smooth muscle actin and epithelial membrane antigen proliferated with focal granulomatous inflammatory changes. MIB-1 index was approximately 5% in immature cells observed in granulomatous areas. We thus suspected a coexisting neoplastic component. The residual lesion persisted in a dormant state for 2 years following biopsy. Surgical resection of a lipoma is extremely difficult and potentially dangerous. However, in the present case, the lesion was accompanied by atypical, expanding, and perifocal edema. Surgical treatment was inevitable for the purpose of histological confirmation, considering differential diagnoses such as dermoid, epidermoid, and glioma. In the end, anticonvulsant therapy proved effective for controlling epileptic seizures.

摘要

本报告描述了一例罕见病例,一名脂肪瘤患者出现与病灶周围水肿扩大相关的癫痫发作。患者为一名48岁男性,表现为意识丧失和抽搐。磁共振成像(MRI)显示胼胝体有一个钙化肿块,伴有病灶周围水肿并产生占位效应。采用半球间入路对肿块病变进行活检。组织学检查显示典型的脂肪细胞以及错构瘤成分。这些成分包含神经丝和S-100阳性结构,显示明显钙化。对α平滑肌肌动蛋白和上皮膜抗原呈免疫反应的纤维细胞增殖,并伴有局灶性肉芽肿性炎症改变。在肉芽肿区域观察到的未成熟细胞中,MIB-1指数约为5%。因此,我们怀疑存在并存的肿瘤成分。活检后,残留病变处于休眠状态持续了2年。脂肪瘤的手术切除极其困难且具有潜在危险性。然而,在本病例中,病变伴有非典型、扩大的病灶周围水肿。考虑到诸如皮样囊肿、表皮样囊肿和胶质瘤等鉴别诊断,为了进行组织学确诊,手术治疗是不可避免的。最后,抗惊厥治疗被证明对控制癫痫发作有效。

https://cdn.ncbi.nlm.nih.gov/pmc/blobs/eb5b/4442262/808b8e9d415e/CRINM2015-520208.001.jpg

文献AI研究员

20分钟写一篇综述,助力文献阅读效率提升50倍。

立即体验

用中文搜PubMed

大模型驱动的PubMed中文搜索引擎

马上搜索

文档翻译

学术文献翻译模型,支持多种主流文档格式。

立即体验