Suppr超能文献

针对特发性肺纤维化急性加重期的自身抗体靶向治疗

Autoantibody-Targeted Treatments for Acute Exacerbations of Idiopathic Pulmonary Fibrosis.

作者信息

Donahoe Michael, Valentine Vincent G, Chien Nydia, Gibson Kevin F, Raval Jay S, Saul Melissa, Xue Jianmin, Zhang Yingze, Duncan Steven R

机构信息

Department of Medicine, University of Pittsburgh, Pittsburgh, Pennsylvania, 15213, United States of America.

Department of Medicine, University of Texas Medical Branch, Galveston, Texas, 77555, United States of America.

出版信息

PLoS One. 2015 Jun 17;10(6):e0127771. doi: 10.1371/journal.pone.0127771. eCollection 2015.

Abstract

BACKGROUND

Severe acute exacerbations (AE) of idiopathic pulmonary fibrosis (IPF) are medically untreatable and often fatal within days. Recent evidence suggests autoantibodies may be involved in IPF progression. Autoantibody-mediated lung diseases are typically refractory to glucocorticoids and nonspecific medications, but frequently respond to focused autoantibody reduction treatments. We conducted a pilot trial to test the hypothesis that autoantibody-targeted therapies may also benefit AE-IPF patients.

METHODS

Eleven (11) critically-ill AE-IPF patients with no evidence of conventional autoimmune diseases were treated with therapeutic plasma exchanges (TPE) and rituximab, supplemented in later cases with intravenous immunoglobulin (IVIG). Plasma anti-epithelial (HEp-2) autoantibodies and matrix metalloproteinase-7 (MMP7) were evaluated by indirect immunofluorescence and ELISA, respectively. Outcomes among the trial subjects were compared to those of 20 historical control AE-IPF patients treated with conventional glucocorticoid therapy prior to this experimental trial.

RESULTS

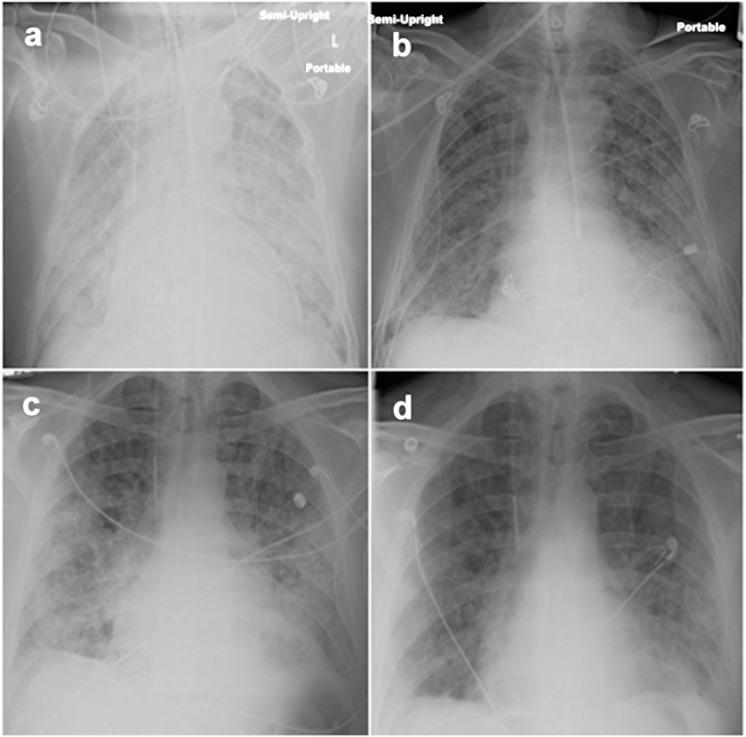
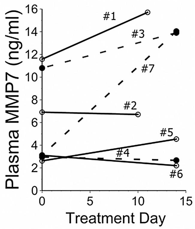
Nine (9) trial subjects (82%) had improvements of pulmonary gas exchange after treatment, compared to one (5%) historical control. Two of the three trial subjects who relapsed after only five TPE responded again with additional TPE. The three latest subjects who responded to an augmented regimen of nine TPE plus rituximab plus IVIG have had sustained responses without relapses after 96-to-237 days. Anti-HEp-2 autoantibodies were present in trial subjects prior to therapy, and were reduced by TPE among those who responded to treatment. Conversely, plasma MMP7 levels were not systematically affected by therapy nor correlated with clinical responses. One-year survival of trial subjects was 46+15% vs. 0% among historical controls. No serious adverse events were attributable to the experimental medications.

CONCLUSION

This pilot trial indicates specific treatments that reduce autoantibodies might benefit some severely-ill AE-IPF patients. These findings have potential implications regarding mechanisms of IPF progression, and justify considerations for incremental trials of autoantibody-targeted therapies in AE-IPF patients.

TRIAL REGISTRATION

ClinicalTrials.gov NCT01266317.

摘要

背景

特发性肺纤维化(IPF)的严重急性加重期(AE)在医学上无法治疗,且常在数天内致命。最近的证据表明自身抗体可能参与IPF的进展。自身抗体介导的肺部疾病通常对糖皮质激素和非特异性药物难治,但经常对针对性的自身抗体减少治疗有反应。我们进行了一项试点试验,以检验自身抗体靶向治疗可能也使AE-IPF患者受益的假设。

方法

11例无传统自身免疫性疾病证据的重症AE-IPF患者接受了治疗性血浆置换(TPE)和利妥昔单抗治疗,后期病例补充静脉注射免疫球蛋白(IVIG)。分别通过间接免疫荧光和ELISA评估血浆抗上皮(HEp-2)自身抗体和基质金属蛋白酶-7(MMP7)。将试验受试者的结果与20例在此项试验性试验之前接受传统糖皮质激素治疗的历史对照AE-IPF患者的结果进行比较。

结果

9例(82%)试验受试者在治疗后肺气体交换有改善,相比之下历史对照中有1例(5%)有改善。仅接受5次TPE后复发的3例试验受试者中有2例再次接受额外TPE后有反应。对9次TPE加利妥昔单抗加IVIG的强化方案有反应的3例最新受试者在96至237天后有持续反应且未复发。试验受试者在治疗前存在抗HEp-2自身抗体,治疗有反应者中TPE使其减少。相反,血浆MMP7水平未受到治疗的系统性影响,也与临床反应无关。试验受试者的1年生存率为46±15%,而历史对照为0%。没有严重不良事件可归因于试验药物。

结论

这项试点试验表明,减少自身抗体的特异性治疗可能使一些重症AE-IPF患者受益。这些发现对IPF进展机制有潜在影响,并为在AE-IPF患者中进行自身抗体靶向治疗的递增试验提供了正当理由。

试验注册

ClinicalTrials.gov NCT01266317

https://cdn.ncbi.nlm.nih.gov/pmc/blobs/93b4/4470587/dc41433cc24b/pone.0127771.g001.jpg

相似文献

1
Autoantibody-Targeted Treatments for Acute Exacerbations of Idiopathic Pulmonary Fibrosis.
PLoS One. 2015 Jun 17;10(6):e0127771. doi: 10.1371/journal.pone.0127771. eCollection 2015.
2
Correlates of survival after autoantibody reduction therapy for acute IPF exacerbations.
PLoS One. 2021 Nov 23;16(11):e0260345. doi: 10.1371/journal.pone.0260345. eCollection 2021.
5
Clinical significance of autoantibody positivity in idiopathic pulmonary fibrosis.
Respir Med. 2019 Aug;155:43-48. doi: 10.1016/j.rmed.2019.07.001. Epub 2019 Jul 5.
6
Patients with idiopathic pulmonary fibrosis with antibodies to heat shock protein 70 have poor prognoses.
Am J Respir Crit Care Med. 2013 Apr 1;187(7):768-75. doi: 10.1164/rccm.201203-0506OC.
9
Prognostic value of IFN-γ, sCD163, CCL2 and CXCL10 involved in acute exacerbation of idiopathic pulmonary fibrosis.
Int Immunopharmacol. 2019 May;70:208-215. doi: 10.1016/j.intimp.2019.02.039. Epub 2019 Mar 6.

引用本文的文献

3
Persistent microbial infections and idiopathic pulmonary fibrosis - an insight into pathogenesis.
Front Cell Infect Microbiol. 2024 Dec 20;14:1479801. doi: 10.3389/fcimb.2024.1479801. eCollection 2024.
4
The Between Lung Cancer and Interstitial Lung Diseases: A Focus on Acute Exacerbation.
J Clin Med. 2024 Nov 23;13(23):7085. doi: 10.3390/jcm13237085.
6
Acute exacerbation of idiopathic pulmonary fibrosis a narrative review primary focus on treatments.
J Thorac Dis. 2024 Jul 30;16(7):4727-4741. doi: 10.21037/jtd-23-1565. Epub 2024 Jul 11.
10
Lung immune signatures define two groups of end-stage IPF patients.
Respir Res. 2023 Sep 28;24(1):236. doi: 10.1186/s12931-023-02546-8.

本文引用的文献

1
B cell activating factor is central to bleomycin- and IL-17-mediated experimental pulmonary fibrosis.
J Autoimmun. 2015 Jan;56:1-11. doi: 10.1016/j.jaut.2014.08.003. Epub 2014 Oct 23.
3
C-X-C motif chemokine 13 (CXCL13) is a prognostic biomarker of idiopathic pulmonary fibrosis.
Am J Respir Crit Care Med. 2014 Apr 15;189(8):966-74. doi: 10.1164/rccm.201309-1592OC.
4
Type V collagen induced tolerance suppresses collagen deposition, TGF-β and associated transcripts in pulmonary fibrosis.
PLoS One. 2013 Oct 21;8(10):e76451. doi: 10.1371/journal.pone.0076451. eCollection 2013.
5
BPIFB1 is a lung-specific autoantigen associated with interstitial lung disease.
Sci Transl Med. 2013 Oct 9;5(206):206ra139. doi: 10.1126/scitranslmed.3006998.
6
Peripheral blood mononuclear cell gene expression profiles predict poor outcome in idiopathic pulmonary fibrosis.
Sci Transl Med. 2013 Oct 2;5(205):205ra136. doi: 10.1126/scitranslmed.3005964.
8
Plasma B lymphocyte stimulator and B cell differentiation in idiopathic pulmonary fibrosis patients.
J Immunol. 2013 Sep 1;191(5):2089-95. doi: 10.4049/jimmunol.1203476. Epub 2013 Jul 19.
9
Patients with idiopathic pulmonary fibrosis with antibodies to heat shock protein 70 have poor prognoses.
Am J Respir Crit Care Med. 2013 Apr 1;187(7):768-75. doi: 10.1164/rccm.201203-0506OC.
10
Intravenous immune globulin in autoimmune and inflammatory diseases.
N Engl J Med. 2012 Nov 22;367(21):2015-25. doi: 10.1056/NEJMra1009433.

文献AI研究员

20分钟写一篇综述,助力文献阅读效率提升50倍。

立即体验

用中文搜PubMed

大模型驱动的PubMed中文搜索引擎

马上搜索

文档翻译

学术文献翻译模型,支持多种主流文档格式。

立即体验