Suppr超能文献

垂体增生:一个未被充分认识且异质性疾病的病例系列及文献综述

Pituitary hyperplasia: case series and literature review of an under-recognised and heterogeneous condition.

作者信息

De Sousa Sunita M C, Earls Peter, McCormack Ann I

机构信息

Department of Endocrinology , St Vincent's Hospital , Sydney, New South Wales , Australia ; Hormones and Cancer Group , Garvan Institute of Medical Research , 384 Victoria Street, Sydney, New South Wales, 2010 , Australia.

Department of Anatomical Pathology , St Vincent's Hospital , Sydney, New South Wales , Australia.

出版信息

Endocrinol Diabetes Metab Case Rep. 2015;2015:150017. doi: 10.1530/EDM-15-0017. Epub 2015 Jun 1.

Abstract

UNLABELLED

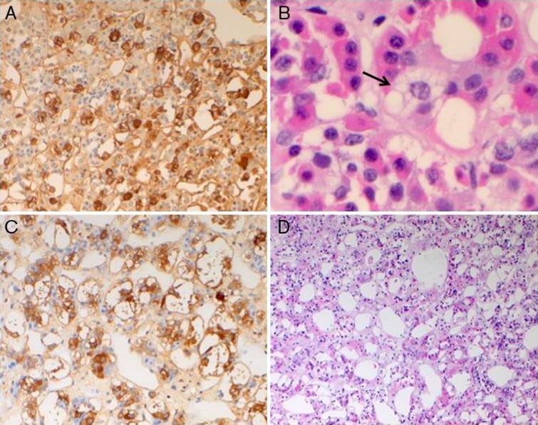
Pituitary hyperplasia (PH) occurs in heterogeneous settings and remains under-recognised. Increased awareness of this condition and its natural history should circumvent unnecessary trans-sphenoidal surgery. We performed an observational case series of patients referred to a single endocrinologist over a 3-year period. Four young women were identified with PH manifesting as diffuse, symmetrical pituitary enlargement near or touching the optic apparatus on MRI. The first woman presented with primary hypothyroidism and likely had thyrotroph hyperplasia given prompt resolution with thyroxine. The second and third women were diagnosed with pathological gonadotroph hyperplasia due to primary gonadal insufficiency, with histopathological confirmation including gonadal-deficiency cells in the third case where surgery could have been avoided. The fourth woman likely had idiopathic PH, though she had concomitant polycystic ovary syndrome which is a debated cause of PH. Patients suspected of PH should undergo comprehensive hormonal, radiological and sometimes ophthalmological evaluation. This is best conducted by a specialised multidisciplinary team with preference for treatment of underlying conditions and close monitoring over surgical intervention.

LEARNING POINTS

Normal pituitary dimensions are influenced by age and gender with the greatest pituitary heights seen in young adults and perimenopausal women.Pituitary enlargement may be seen in the settings of pregnancy, end-organ insufficiency with loss of negative feedback, and excess trophic hormone from the hypothalamus or neuroendocrine tumours.PH may be caused or exacerbated by medications including oestrogen, GNRH analogues and antipsychotics.Management involves identification of cases of idiopathic PH suitable for simple surveillance and reversal of pathological or iatrogenic causes where they exist.Surgery should be avoided in PH as it rarely progresses.

摘要

未标注

垂体增生(PH)发生于多种不同情况,且仍未得到充分认识。提高对这种疾病及其自然病程的认识应可避免不必要的经蝶窦手术。我们对在3年期间转诊至一位内分泌专家处的患者进行了一项观察性病例系列研究。确定了4名年轻女性患有垂体增生,在MRI上表现为弥漫性、对称性垂体增大,靠近或触及视器。第一名女性表现为原发性甲状腺功能减退,鉴于使用甲状腺素后迅速缓解,可能患有促甲状腺激素细胞增生。第二名和第三名女性因原发性性腺功能不全被诊断为病理性促性腺激素细胞增生,在第三例中经组织病理学证实包括性腺缺乏细胞,而该例本可避免手术。第四名女性可能患有特发性垂体增生,尽管她同时患有多囊卵巢综合征,这是一个有争议的垂体增生病因。疑似垂体增生的患者应接受全面的激素、影像学检查,有时还需眼科评估。这最好由一个专业的多学科团队进行,优先治疗潜在疾病并密切监测而非进行手术干预。

学习要点

正常垂体大小受年龄和性别的影响,在年轻成年人和围绝经期女性中垂体高度最大。在妊娠、终末器官功能不全导致负反馈丧失以及下丘脑或神经内分泌肿瘤产生过多促激素的情况下,可能会出现垂体增大。垂体增生可能由包括雌激素、促性腺激素释放激素类似物和抗精神病药物在内的药物引起或加重。管理包括识别适合简单监测的特发性垂体增生病例,并在存在病理性或医源性病因时予以纠正。垂体增生患者应避免手术,因为其很少进展。

https://cdn.ncbi.nlm.nih.gov/pmc/blobs/4056/4482158/156a3d99f355/edmcr-2015-150017-g001.jpg

文献AI研究员

20分钟写一篇综述,助力文献阅读效率提升50倍。

立即体验

用中文搜PubMed

大模型驱动的PubMed中文搜索引擎

马上搜索

文档翻译

学术文献翻译模型,支持多种主流文档格式。

立即体验