Xiao Jia-Jia, Yin Ming, Wang Ze-Jian, Wang Xiao-Ping
Department of Neurology, Shanghai First People's Hospital, School of Medicine, Shanghai Jiao Tong University, Shanghai 200080, China.
School of Pharmacy, Shanghai Jiao Tong University, Shanghai 200240, China.
Oxid Med Cell Longev. 2015;2015:618631. doi: 10.1155/2015/618631. Epub 2015 Jun 3.
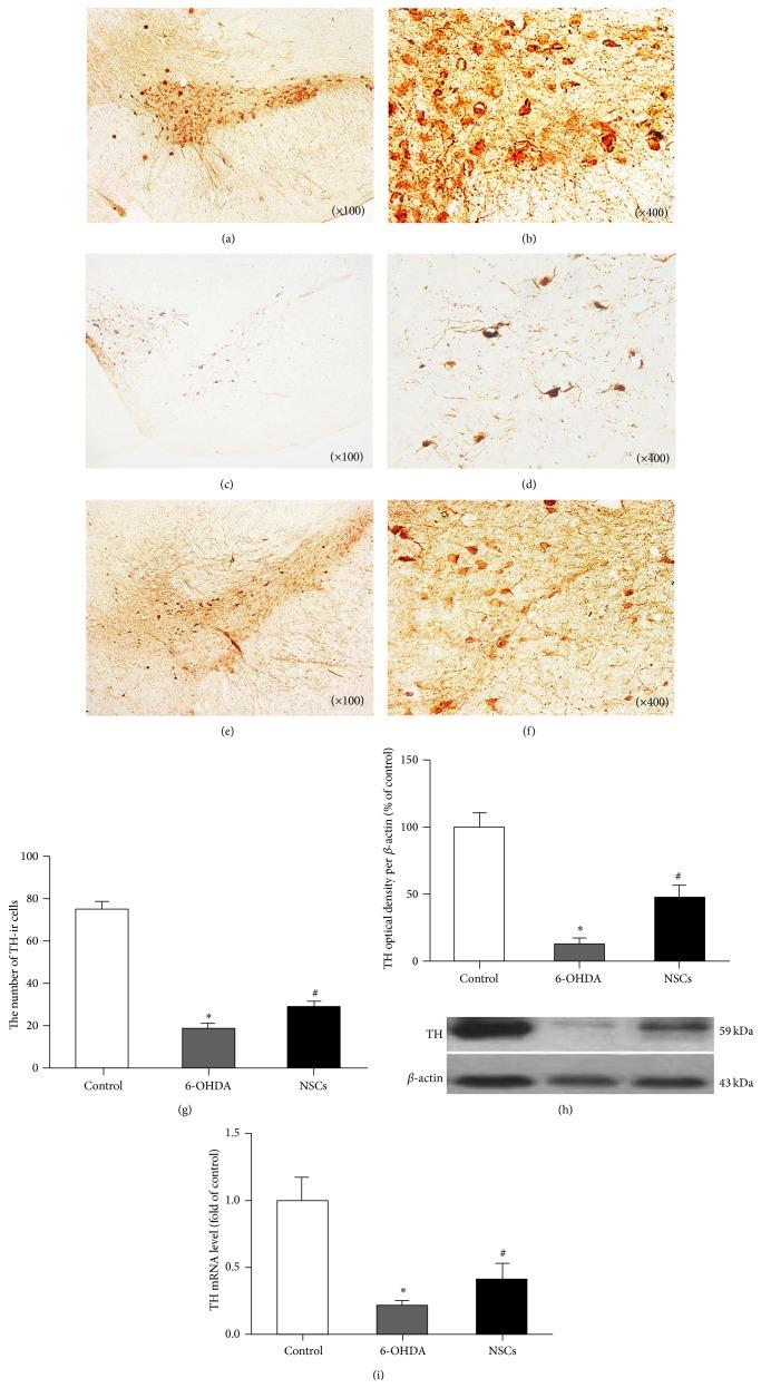
Although mounting evidence suggests that ceruloplasmin (CP) deficiency and iron deposition are pivotal factors responsible for exacerbating demise of dopaminergic neurons in the substantia nigra (SN) of the Parkinsonism and neural stem cells (NSCs) are believed to be excellent candidates for compensating the lost dopaminergic neurons, there are few researches to explore the change of CP expression and of iron deposition in the pathological microenvironment of SN after NSCs transplantation and the ability of grafted NSCs to differentiate directionally into dopaminergic neurons under the changed homeostasis. With substantia nigral stereotaxic technique and NSCs transplantation, we found that tyrosine hydroxylase and CP expression decreased and iron deposition increased in the lesioned SN after 6-OHDA administration compared with control, while tyrosine hydroxylase and CP expression increased and iron deposition decreased after NSCs transplantation compared to 6-OHDA administration alone. Only a small number of embedding NSCs are able to differentiate into dopaminergic neurons. These results suggest that grafted NSCs have an influence on improving the content of CP expression, which may play a neuroprotective role by decreasing iron deposition and ameliorating damage of dopaminergic neurons and possibly underline the iron-related common mechanism of Parkinson's disease and Wilson's disease.
尽管越来越多的证据表明,铜蓝蛋白(CP)缺乏和铁沉积是导致帕金森病黑质(SN)中多巴胺能神经元死亡加剧的关键因素,并且神经干细胞(NSCs)被认为是补偿丢失的多巴胺能神经元的理想候选者,但很少有研究探讨神经干细胞移植后黑质病理微环境中CP表达和铁沉积的变化,以及在改变的内环境稳定下移植的神经干细胞定向分化为多巴胺能神经元的能力。通过黑质立体定向技术和神经干细胞移植,我们发现,与对照组相比,6-羟基多巴胺(6-OHDA)给药后损伤的黑质中酪氨酸羟化酶和CP表达降低,铁沉积增加,而与单独给予6-OHDA相比,神经干细胞移植后酪氨酸羟化酶和CP表达增加,铁沉积减少。只有少数植入的神经干细胞能够分化为多巴胺能神经元。这些结果表明,移植的神经干细胞对提高CP表达水平有影响,这可能通过减少铁沉积和改善多巴胺能神经元损伤发挥神经保护作用,并可能揭示帕金森病和威尔逊病与铁相关的共同机制。