Wu Wei, Lu Chao-Xia, Wang Yi-Ning, Liu Fang, Chen Wei, Liu Yong-Tai, Han Ye-Chen, Cao Jian, Zhang Shu-Yang, Zhang Xue
Department of Cardiology, Peking Union Medical College Hospital, Chinese Academy of Medical Science & Peking Union Medical College, Beijing, China (W.W., W.C., Y.T.L., Y.C.H., S.Y.Z.).
McKusick-Zhang Center for Genetic Medicine, Institute of Basic Medical Sciences, Chinese Academy of Medical Science & Peking Union Medical College, Beijing, China (C.X.L., F.L., X.Z.).
J Am Heart Assoc. 2015 Jul 10;4(7):e001879. doi: 10.1161/JAHA.115.001879.
MYBPC3 dysfunctions have been proven to induce dilated cardiomyopathy, hypertrophic cardiomyopathy, and/or left ventricular noncompaction; however, the genotype-phenotype correlation between MYBPC3 and restrictive cardiomyopathy (RCM) has not been established. The newly developed next-generation sequencing method is capable of broad genomic DNA sequencing with high throughput and can help explore novel correlations between genetic variants and cardiomyopathies.
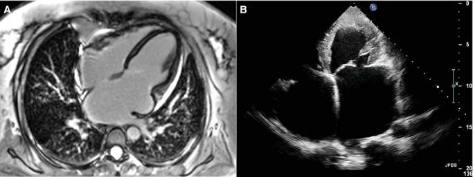
A proband from a multigenerational family with 3 live patients and 1 unrelated patient with clinical diagnoses of RCM underwent a next-generation sequencing workflow based on a custom AmpliSeq panel, including 64 candidate pathogenic genes for cardiomyopathies, on the Ion Personal Genome Machine high-throughput sequencing benchtop instrument. The selected panel contained a total of 64 genes that were reportedly associated with inherited cardiomyopathies. All patients fulfilled strict criteria for RCM with clinical characteristics, echocardiography, and/or cardiac magnetic resonance findings. The multigenerational family with 3 adult RCM patients carried an identical nonsense MYBPC3 mutation, and the unrelated patient carried a missense mutation in the MYBPC3 gene. All of these results were confirmed by the Sanger sequencing method.
This study demonstrated that MYBPC3 gene mutations, revealed by next-generation sequencing, were associated with familial and sporadic RCM patients. It is suggested that the next-generation sequencing platform with a selected panel provides a highly efficient approach for molecular diagnosis of hereditary and idiopathic RCM and helps build new genotype-phenotype correlations.
MYBPC3功能障碍已被证实可诱发扩张型心肌病、肥厚型心肌病和/或左心室心肌致密化不全;然而,MYBPC3与限制型心肌病(RCM)之间的基因型-表型相关性尚未确立。新开发的下一代测序方法能够对广泛的基因组DNA进行高通量测序,并有助于探索基因变异与心肌病之间的新关联。
对一个有3名存活患者和1名无关患者的多代家族中的先证者进行了下一代测序流程,该家族临床诊断为RCM。测序在Ion Personal Genome Machine高通量测序台式仪器上进行,基于定制的AmpliSeq面板,该面板包含64个心肌病候选致病基因。所选面板总共包含64个据报道与遗传性心肌病相关的基因。所有患者均符合RCM的严格标准,有临床特征、超声心动图和/或心脏磁共振成像结果。这个有3名成年RCM患者的多代家族携带相同的MYBPC3无义突变,而无关患者携带MYBPC3基因的错义突变。所有这些结果均通过桑格测序法得到证实。
本研究表明,下一代测序揭示的MYBPC3基因突变与家族性和散发性RCM患者相关。提示带有所选面板的下一代测序平台为遗传性和特发性RCM的分子诊断提供了一种高效方法,并有助于建立新的基因型-表型相关性。