Suppr超能文献

肝上皮样血管内皮瘤的治疗:在医学新时代探索沙利度胺的用途。

Treatment of Hepatic Epithelioid Hemangioendothelioma: Finding Uses for Thalidomide in a New Era of Medicine.

作者信息

Soape Matthew P, Verma Rashmi, Payne J Drew, Wachtel Mitchell, Hardwicke Fred, Cobos Everardo

机构信息

Texas Tech University Health Sciences Center, 3601 4th Street, Lubbock, TX 79430, USA.

出版信息

Case Rep Gastrointest Med. 2015;2015:326795. doi: 10.1155/2015/326795. Epub 2015 Jun 17.

Abstract

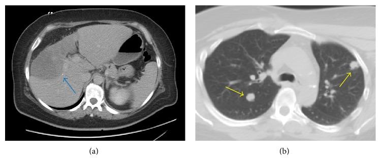
Hepatic epithelioid hemangioendothelioma (HEH) is extremely rare, occurring in 1 to 2 per 100,000, with chemotherapy options not well defined. Our case involved a 49-year-old female who had hepatic masses and metastasis to the lungs with a liver biopsy revealing HEH. After developing a rash from sorafenib, thalidomide was started with the progression of disease stabilized. Resection is only an option in 10% of the cases; therefore, chemotherapy is the only line of treatment. Newer chemotherapy alternatives are targeting angiogenesis via the vascular endothelial growth factor. Thalidomide was first used as an antiemetic, but, sadly, soon linked to phocomelia birth defects. Given the mechanism of action against angiogenesis, thalidomide has a valid role in vascular tumors. In conclusion, the use of thalidomide as chemotherapy is novel and promising, especially in the setting of a rare vascular liver tumor such as HEH.

摘要

肝上皮样血管内皮瘤(HEH)极为罕见,发病率为十万分之一至二,化疗方案尚不明确。我们的病例是一位49岁女性,有肝脏肿块并伴有肺转移,肝脏活检显示为HEH。在使用索拉非尼后出现皮疹后,开始使用沙利度胺,疾病进展得以稳定。仅10%的病例可选择手术切除;因此,化疗是唯一的治疗方法。新型化疗药物通过血管内皮生长因子靶向血管生成。沙利度胺最初用作止吐药,但遗憾的是,很快就与短肢畸形出生缺陷有关。鉴于其抗血管生成的作用机制,沙利度胺在血管肿瘤中具有一定作用。总之,将沙利度胺用作化疗药物是新颖且有前景的,尤其是在治疗像HEH这样罕见的肝脏血管肿瘤时。

https://cdn.ncbi.nlm.nih.gov/pmc/blobs/f17b/4488146/4ee2d95f054c/CRIGM2015-326795.001.jpg

文献AI研究员

20分钟写一篇综述,助力文献阅读效率提升50倍。

立即体验

用中文搜PubMed

大模型驱动的PubMed中文搜索引擎

马上搜索

文档翻译

学术文献翻译模型,支持多种主流文档格式。

立即体验