Park Hye Jung, Sohn Jung-Ho, Kim Yoon-Ju, Park Yoon Hee, Han Heejae, Park Kyung Hee, Lee Kangtaek, Choi Hoon, Um Kiju, Choi In-Hong, Park Jung-Won, Lee Jae-Hyun
Division of Allergy and Immunology, Department of Internal Medicine, Yonsei University College of Medicine, Severance Hospital, Seoul, Korea.
1] Division of Allergy and Immunology, Department of Internal Medicine, Yonsei University College of Medicine, Severance Hospital, Seoul, Korea [2] Department of Life Science, Research Institute for Natural Sciences, Hanyang Biomedical Research Institute, Hanyang University, Seoul, Korea.
Exp Mol Med. 2015 Jul 17;47(7):e173. doi: 10.1038/emm.2015.50.
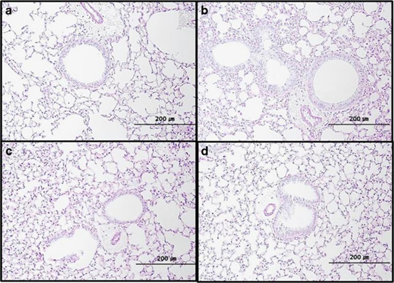
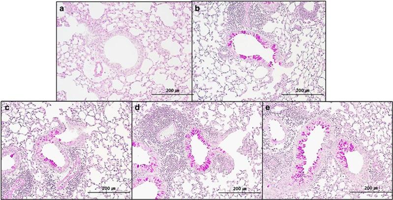
Silica nanoparticles (SNPs) are widely used in many scientific and industrial fields despite the lack of proper evaluation of their potential toxicity. This study examined the effects of acute exposure to SNPs, either alone or in conjunction with ovalbumin (OVA), by studying the respiratory systems in exposed mouse models. Three types of SNPs were used: spherical SNPs (S-SNPs), mesoporous SNPs (M-SNPs), and PEGylated SNPs (P-SNPs). In the acute SNP exposure model performed, 6-week-old BALB/c female mice were intranasally inoculated with SNPs for 3 consecutive days. In the OVA/SNPs asthma model, the mice were sensitized two times via the peritoneal route with OVA. Additionally, the mice endured OVA with or without SNP challenges intranasally. Acute SNP exposure induced significant airway inflammation and airway hyper-responsiveness, particularly in the S-SNP group. In OVA/SNPs asthma models, OVA with SNP-treated group showed significant airway inflammation, more than those treated with only OVA and without SNPs. In these models, the P-SNP group induced lower levels of inflammation on airways than both the S-SNP or M-SNP groups. Interleukin (IL)-5, IL-13, IL-1β and interferon-γ levels correlated with airway inflammation in the tested models, without statistical significance. In the mouse models studied, increased airway inflammation was associated with acute SNPs exposure, whether exposed solely to SNPs or SNPs in conjunction with OVA. P-SNPs appear to be relatively safer for clinical use than S-SNPs and M-SNPs, as determined by lower observed toxicity and airway system inflammation.
尽管缺乏对其潜在毒性的适当评估,二氧化硅纳米颗粒(SNPs)仍广泛应用于许多科学和工业领域。本研究通过研究暴露小鼠模型的呼吸系统,考察了急性暴露于SNPs单独或与卵清蛋白(OVA)联合时的影响。使用了三种类型的SNPs:球形SNPs(S-SNPs)、介孔SNPs(M-SNPs)和聚乙二醇化SNPs(P-SNPs)。在进行的急性SNPs暴露模型中,6周龄的BALB/c雌性小鼠连续3天经鼻接种SNPs。在OVA/SNPs哮喘模型中,小鼠通过腹腔途径用OVA致敏两次。此外,小鼠经鼻接受OVA激发,有无SNPs挑战。急性SNPs暴露可诱导显著的气道炎症和气道高反应性,特别是在S-SNP组。在OVA/SNPs哮喘模型中,OVA与SNP处理组显示出比仅用OVA且无SNPs处理组更显著的气道炎症。在这些模型中,P-SNP组诱导的气道炎症水平低于S-SNP组或M-SNP组。白细胞介素(IL)-5、IL-13、IL-1β和干扰素-γ水平与测试模型中的气道炎症相关,但无统计学意义。在所研究的小鼠模型中,无论单独暴露于SNPs还是与OVA联合暴露于SNPs,气道炎症增加均与急性SNPs暴露有关。根据观察到的较低毒性和气道系统炎症判断,P-SNPs在临床应用中似乎比S-SNPs和M-SNPs相对更安全。