Suppr超能文献

串联加环形与串联加卵圆形腔内施源器的短期临床结果及剂量学比较

Short-term clinical outcome and dosimetric comparison of tandem and ring versus tandem and ovoids intracavitary applicators.

作者信息

Ma John K, Mourad Waleed F, Allbright Robert, Packianathan Satyaseelan, Harrell Leslie M, Chinchar Edmund, Nguyen Alex, Vijayakumar Srinivasan

机构信息

Department of Radiation Oncology.

Department of Medicine, University of Mississippi, Jackson, MS, USA.

出版信息

J Contemp Brachytherapy. 2015 Jun;7(3):218-23. doi: 10.5114/jcb.2015.51853. Epub 2015 May 28.

Abstract

PURPOSE

To compare the short-term toxicity and dosimetry of tandem and ring (TR), and tandem and ovoid (TO) applicators in treatment of gynecologic malignancy.

MATERIAL AND METHODS

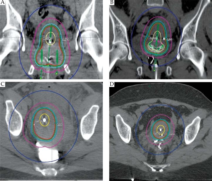
Following pelvic external beam radiation therapy (EBRT), a total of 52 computed tomography-based plans from 13 patients with cervical cancer (FIGO IB2-IIIB) were evaluated for HDR brachytherapy. Prescription was 7 Gy to the ICRU point A for four weekly fractions. Gastrointestinal and genitourinary toxicities were evaluated. Clinical target volume (CTV) and organs at risk were delineated on CT scans. Bladder, rectum, and sigmoid mean doses and D2cc were calculated. Treatment time and irradiated tissue volume were compared. Percent of CTV receiving 100% (CTV100%) of the prescribed dose as well as the percent of the prescription dose covering 90% of the CTV (D90) were evaluated.

RESULTS

Gastrointestinal and genitourinary toxicities were not different between TO and TR applicators. No significant differences in the dose to the right and left point A, or the left point B were observed. TO delivered a higher dose to right point B. Organs at risk doses were similar between the two applicators, except mean rectal dose was lower for TO applicator. Overall, TO treats a larger tissue volume than TR. Mean treatment time was shorter for TR. Tumor coverage (D90 and CTV100%) was equivalent between TO and TR applicators.

CONCLUSION

Although TO treats a larger tissue volume than TR, short-term toxicities and tumor coverage are similar. Long-term clinical outcomes will be elucidated with longer follow up period.

摘要

目的

比较串联加环形(TR)和串联加卵圆形(TO)施源器在治疗妇科恶性肿瘤中的短期毒性和剂量学。

材料与方法

在盆腔外照射放疗(EBRT)之后,对13例宫颈癌(国际妇产科联盟分期IB2-IIIB期)患者基于计算机断层扫描的52个计划进行高剂量率近距离放疗评估。处方剂量为每周4次,ICRU A点7 Gy。评估胃肠道和泌尿生殖系统毒性。在CT扫描上勾画临床靶区(CTV)和危及器官。计算膀胱、直肠和乙状结肠的平均剂量及D2cc。比较治疗时间和照射组织体积。评估接受规定剂量100%的CTV(CTV100%)以及覆盖90% CTV的处方剂量百分比(D90)。

结果

TO和TR施源器的胃肠道和泌尿生殖系统毒性无差异。左右A点或左B点的剂量未观察到显著差异。TO施源器给右B点的剂量更高。除TO施源器的直肠平均剂量较低外,两种施源器的危及器官剂量相似。总体而言,TO治疗的组织体积比TR大。TR的平均治疗时间更短。TO和TR施源器的肿瘤覆盖情况(D90和CTV100%)相当。

结论

尽管TO治疗的组织体积比TR大,但其短期毒性和肿瘤覆盖情况相似。更长随访期将阐明长期临床结果。

https://cdn.ncbi.nlm.nih.gov/pmc/blobs/204e/4499513/4ecd8e954780/JCB-7-25186-g001.jpg

文献AI研究员

20分钟写一篇综述,助力文献阅读效率提升50倍。

立即体验

用中文搜PubMed

大模型驱动的PubMed中文搜索引擎

马上搜索

文档翻译

学术文献翻译模型,支持多种主流文档格式。

立即体验