Suppr超能文献

重叠性慢性胎盘炎症与独特的基因表达模式相关。

Overlap Chronic Placental Inflammation Is Associated with a Unique Gene Expression Pattern.

作者信息

Raman Kripa, Wang Huaqing, Troncone Michael J, Khan Waliul I, Pare Guillaume, Terry Jefferson

机构信息

Population Health Research Institute, Hamilton Health Sciences and McMaster University, Hamilton, Ontario, Canada; Thrombosis and Atherosclerosis Research Institute, Hamilton Health Sciences and McMaster University, Hamilton, Ontario, Canada.

Farncombe Family Digestive Health Research Institute, Hamilton Health Sciences and McMaster University, Hamilton, Ontario, Canada; Department of Pathology and Molecular Medicine, Hamilton Health Sciences and McMaster University, Hamilton, Ontario, Canada.

出版信息

PLoS One. 2015 Jul 24;10(7):e0133738. doi: 10.1371/journal.pone.0133738. eCollection 2015.

Abstract

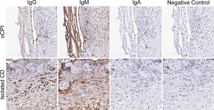
Breakdown of the balance between maternal pro- and anti-inflammatory pathways is thought to allow an anti-fetal maternal immune response that underlies development of chronic placental inflammation. Chronic placental inflammation is manifested by the influx of maternal inflammatory cells, including lymphocytes, histiocytes, and plasma cells, into the placental membranes, villi, and decidua. These infiltrates are recognized pathologically as chronic chorioamnionitis, chronic villitis of unknown etiology, and chronic deciduitis. Each of these histological entities is associated with adverse fetal outcomes including intrauterine growth restriction and preterm birth. Studying the gene expression patterns in chronically inflamed placenta, particularly when overlapping histologies are present, may lead to a better understanding of the underlying mechanism(s). Therefore, this study compared tissue with and without chronic placental inflammation, manifested as overlapping chronic chorioamnionitis, chronic villitis of unknown etiology, and chronic deciduitis. RNA expression profiling was conducted on formalin fixed, paraffin embedded placental tissue using Illumina microarrays. IGJ was the most significant differentially expressed gene identified and had increased expression in the inflamed tissue. In addition, IGLL1, CXCL13, CD27, CXCL9, ICOS, and KLRC1 had increased expression in the inflamed placental samples. These differentially expressed genes are associated with T follicular helper cells, natural killer cells, and B cells. Furthermore, these genes differ from those typically associated with the individual components of chronic placental inflammation, such as chronic villitis, suggesting that the inflammatory infiltrate associated with overlapping chronic chorioamnionitis, chronic villitis of unknown etiology, and chronic deciduitis differs is unique. To further explore and validate gene expression findings, we conducted immunohistochemical assessment of protein level expression and demonstrate that IgJ expression was largely attributable to the presence of plasma cells as part of chronic deciduitis and that IgA positive plasma cells are associated with chronic deciduitis occurring in combination with chronic chorioamnionitis and chronic villitis of unknown etiology but not with isolated chronic deciduitis.

摘要

母体促炎和抗炎途径之间的平衡被认为会引发抗胎儿的母体免疫反应,这是慢性胎盘炎症发展的基础。慢性胎盘炎症表现为母体炎症细胞(包括淋巴细胞、组织细胞和浆细胞)流入胎盘膜、绒毛和蜕膜。这些浸润在病理上被认为是慢性绒毛膜羊膜炎、病因不明的慢性绒毛炎和慢性蜕膜炎。这些组织学实体中的每一个都与不良胎儿结局相关,包括宫内生长受限和早产。研究慢性炎症胎盘的基因表达模式,特别是当存在重叠组织学时,可能有助于更好地理解潜在机制。因此,本研究比较了有和没有慢性胎盘炎症的组织,慢性胎盘炎症表现为重叠的慢性绒毛膜羊膜炎、病因不明的慢性绒毛炎和慢性蜕膜炎。使用Illumina微阵列对福尔马林固定、石蜡包埋的胎盘组织进行RNA表达谱分析。IGJ是鉴定出的差异表达最显著的基因,在炎症组织中表达增加。此外,IGLL1、CXCL13、CD27、CXCL9、ICOS和KLRC1在炎症胎盘样本中表达增加。这些差异表达的基因与滤泡辅助性T细胞、自然杀伤细胞和B细胞相关。此外,这些基因与通常与慢性胎盘炎症的各个组成部分(如慢性绒毛炎)相关的基因不同,这表明与重叠的慢性绒毛膜羊膜炎、病因不明的慢性绒毛炎和慢性蜕膜炎相关的炎症浸润是独特的。为了进一步探索和验证基因表达结果,我们进行了蛋白质水平表达的免疫组织化学评估,并证明IgJ表达很大程度上归因于作为慢性蜕膜炎一部分的浆细胞的存在,并且IgA阳性浆细胞与慢性绒毛膜羊膜炎和病因不明的慢性绒毛炎合并出现的慢性蜕膜炎相关,但与孤立的慢性蜕膜炎无关。

https://cdn.ncbi.nlm.nih.gov/pmc/blobs/2ad2/4514672/42b0bc1ae0bc/pone.0133738.g001.jpg

文献AI研究员

20分钟写一篇综述,助力文献阅读效率提升50倍。

立即体验

用中文搜PubMed

大模型驱动的PubMed中文搜索引擎

马上搜索

文档翻译

学术文献翻译模型,支持多种主流文档格式。

立即体验