Suppr超能文献

来自溶组织内阿米巴的一种单核糖核酸酶III结构域蛋白具有双链RNA切割活性,并能在异源系统中协助介导RNA干扰基因沉默。

A Single RNaseIII Domain Protein from Entamoeba histolytica Has dsRNA Cleavage Activity and Can Help Mediate RNAi Gene Silencing in a Heterologous System.

作者信息

Pompey Justine M, Foda Bardees, Singh Upinder

机构信息

Department of Microbiology and Immunology, Stanford University School of Medicine, Stanford, California, United States of America.

Division of Infectious Diseases, Department of Internal Medicine, Stanford University School of Medicine, Stanford, California, United States of America; Molecular Genetics and Enzymology Department, National Research Centre, Dokki, Egypt.

出版信息

PLoS One. 2015 Jul 31;10(7):e0133740. doi: 10.1371/journal.pone.0133740. eCollection 2015.

Abstract

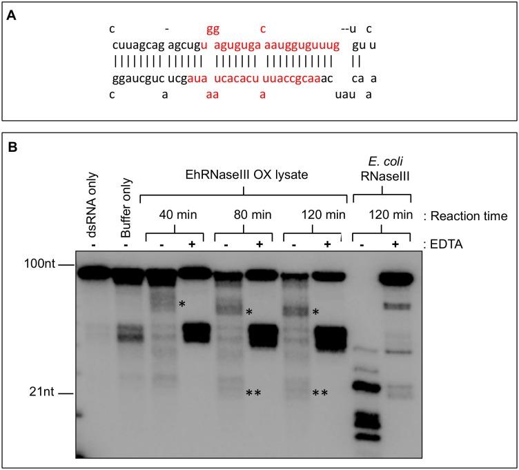
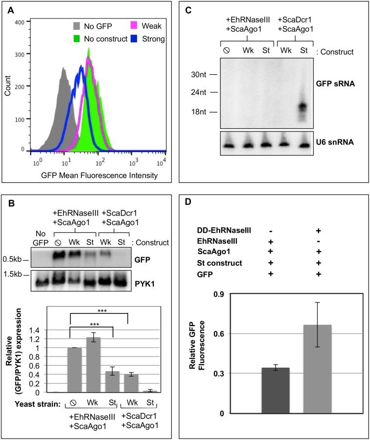
Dicer enzymes process double-stranded RNA (dsRNA) into small RNAs that target gene silencing through the RNA interference (RNAi) pathway. Dicer enzymes are complex, multi-domain RNaseIII proteins, however structural minimalism of this protein has recently emerged in parasitic and fungal systems. The most minimal Dicer, Saccharomyces castellii Dicer1, has a single RNaseIII domain and two double stranded RNA binding domains. In the protozoan parasite Entamoeba histolytica 27nt small RNAs are abundant and mediate silencing, yet no canonical Dicer enzyme has been identified. Although EhRNaseIII does not exhibit robust dsRNA cleavage in vitro, it can process dsRNA in the RNAi-negative background of Saccharomyces cerevisiae, and in conjunction with S. castellii Argonaute1 can partially reconstitute the RNAi pathway. Thus, although EhRNaseIII lacks the domain architecture of canonical or minimal Dicer enzymes, it has dsRNA processing activity that contributes to gene silencing via RNAi. Our data advance the understanding of small RNA biogenesis in Entamoeba as well as broaden the spectrum of non-canonical Dicer enzymes that contribute to the RNAi pathway.

摘要

Dicer酶将双链RNA(dsRNA)加工成小RNA,这些小RNA通过RNA干扰(RNAi)途径靶向基因沉默。Dicer酶是复杂的多结构域RNaseIII蛋白,然而这种蛋白质的结构简约性最近在寄生虫和真菌系统中出现。最简约的Dicer,即酿酒酵母Dicer1,具有单个RNaseIII结构域和两个双链RNA结合结构域。在原生动物寄生虫溶组织内阿米巴中,27nt小RNA丰富并介导沉默,但尚未鉴定出典型的Dicer酶。尽管EhRNaseIII在体外不表现出强大的dsRNA切割活性,但它可以在酿酒酵母的RNAi阴性背景下加工dsRNA,并且与酿酒酵母Argonaute1一起可以部分重建RNAi途径。因此,尽管EhRNaseIII缺乏典型或简约Dicer酶的结构域结构,但它具有dsRNA加工活性,可通过RNAi促进基因沉默。我们的数据推进了对溶组织内阿米巴中小RNA生物合成的理解,并拓宽了有助于RNAi途径的非典型Dicer酶的范围。

https://cdn.ncbi.nlm.nih.gov/pmc/blobs/96b5/4521922/675934460a35/pone.0133740.g001.jpg

文献AI研究员

20分钟写一篇综述,助力文献阅读效率提升50倍。

立即体验

用中文搜PubMed

大模型驱动的PubMed中文搜索引擎

马上搜索

文档翻译

学术文献翻译模型,支持多种主流文档格式。

立即体验