Suppr超能文献

内镜下金属肠道支架置入术治疗胰十二指肠切除术后恶性输入袢综合征

Endoscopic metal enteral stent placement for malignant afferent loop syndrome after pancreaticoduodenectomy.

作者信息

Huang Jiaxin, Hao Sijie, Yang Feng, Di Yang, Yao Lie, Li Ji, Jiang Yongjian, Zhong Liang, Fu Deliang, Jin Chen

机构信息

Department of Pancreatic Surgery, Huashan Hospital, Fudan University, Shanghai, China.

Department of Gastroenterology, Huashan Hospital, Fudan University, Shanghai, China.

出版信息

Wideochir Inne Tech Maloinwazyjne. 2015 Jul;10(2):257-65. doi: 10.5114/wiitm.2015.51867. Epub 2015 May 28.

Abstract

INTRODUCTION

Afferent loop syndrome (ALS) is a rare and dreaded complication after pancreaticoduodenectomy (PD). Malignant ALS after PD is usually difficult to manage due to patients' poor condition. Effective and safe therapeutic strategies for these patients are reported scarcely at present.

AIM

To analyze and evaluate the clinical characteristics and treatment of these patients.

MATERIAL AND METHODS

We analyzed 3 patients with malignant ALS after PD. They were treated by endoscopic enteral metal stent placement in our hospital. Meanwhile we retrospectively reviewed 49 cases with ALS after PD through available English literature. All these patients' clinical features, laboratory study, treatment and outcome were evaluated.

RESULTS

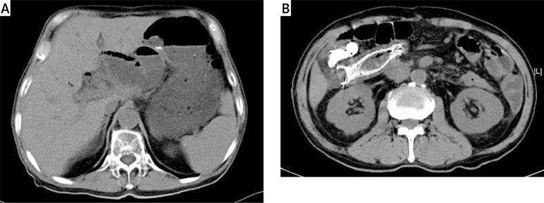
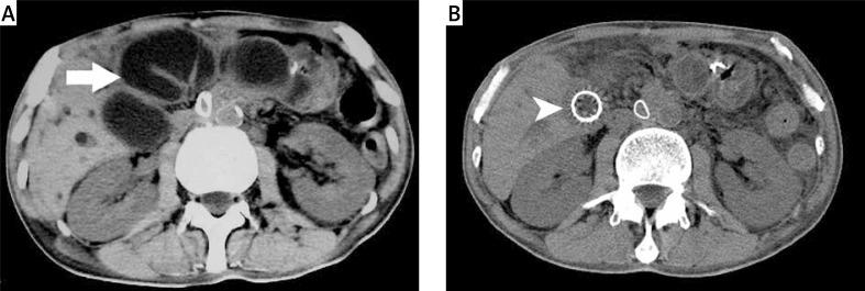
A total of 52 cases were analyzed in the study. The most common presenting symptoms of ALS after PD were jaundice (56.5%), upper abdominal pain (45.7%), fever (26.1%), and vomiting (23.9%). Sixty percent of ALS cases were caused by tumor recurrence. The mean time from prior surgery to diagnosis of ALS was 13.3 months. The rates of treatment with the endoscopic approach, percutaneous stenting or drainage, surgery, and the conservative method were 40.4%, 32.7%, 11.5%, and 15.4%, respectively. Endoscopic enteral metal stent placement proved more effective and less invasive in the treatment of malignant ALS after PD.

CONCLUSIONS

Cholangitis and cholangiectasis are the major manifestations of malignant ALS after PD. Invasive interventions are enjoying more and more acceptance for treatment. Endoscopic enteral metal stent placement appears to be a promising technique with effective palliation in these patients.

摘要

引言

输入袢综合征(ALS)是胰十二指肠切除术(PD)后一种罕见且严重的并发症。PD术后的恶性ALS通常因患者状况不佳而难以处理。目前,针对这些患者有效且安全的治疗策略鲜有报道。

目的

分析和评估这些患者的临床特征及治疗情况。

材料与方法

我们分析了3例PD术后发生恶性ALS的患者。在我院,他们接受了内镜下肠道金属支架置入术治疗。同时,我们通过现有英文文献对49例PD术后ALS患者进行了回顾性分析。对所有这些患者的临床特征、实验室检查、治疗及预后进行了评估。

结果

本研究共分析了52例患者。PD术后ALS最常见的症状为黄疸(56.5%)、上腹部疼痛(45.7%)、发热(26.1%)及呕吐(23.9%)。60%的ALS病例由肿瘤复发引起。从上次手术至诊断为ALS的平均时间为13.3个月。内镜治疗、经皮支架置入或引流、手术及保守治疗的比例分别为40.4%、32.7%、11.5%和15.4%。内镜下肠道金属支架置入术在治疗PD术后恶性ALS方面被证明更有效且侵入性更小。

结论

胆管炎和胆管扩张是PD术后恶性ALS的主要表现。侵入性干预在治疗中越来越被接受。内镜下肠道金属支架置入术似乎是一种有前景的技术,能有效缓解这些患者的症状。

https://cdn.ncbi.nlm.nih.gov/pmc/blobs/091d/4520836/82ee3cc5ca6c/WIITM-10-25187-g001.jpg

文献AI研究员

20分钟写一篇综述,助力文献阅读效率提升50倍。

立即体验

用中文搜PubMed

大模型驱动的PubMed中文搜索引擎

马上搜索

文档翻译

学术文献翻译模型,支持多种主流文档格式。

立即体验