Suppr超能文献

小鼠鼻内间充质干细胞治疗新生儿脑损伤的长期安全性和有效性评估。

Assessment of long-term safety and efficacy of intranasal mesenchymal stem cell treatment for neonatal brain injury in the mouse.

作者信息

Donega Vanessa, Nijboer Cora H, van Velthoven Cindy T J, Youssef Sameh A, de Bruin Alain, van Bel Frank, Kavelaars Annemieke, Heijnen Cobi J

机构信息

Laboratory of Neuroimmunology and Developmental Origins of Disease, University Medical Center Utrecht, Utrecht, The Netherlands.

Dutch Molecular Pathology Center, Department of Pathobiology, Faculty of Veterinary Medicine, Utrecht University, Utrecht, The Netherlands.

出版信息

Pediatr Res. 2015 Nov;78(5):520-6. doi: 10.1038/pr.2015.145. Epub 2015 Aug 13.

Abstract

BACKGROUND

For clinical translation, we assessed whether intranasal mesenchymal stem cell (MSC) treatment after hypoxia-ischemia (HI) induces neoplasia in the brain or periphery at 14 mo. Furthermore, the long-term effects of MSCs on behavior and lesion size were determined.

METHOD

HI was induced in 9-d-old mice. Pups received an intranasal administration of 0.5 × 10(6) MSCs or vehicle at 10 d post-HI. Full macroscopical and microscopical pathological analysis of 39 organs per mouse was performed. Sensorimotor behavior was assessed in the cylinder-rearing test at 10 d, 28 d, 6 mo, and 9 mo. Cognition was measured with the novel object recognition test at 3 and 14 mo post-HI. Lesion size was determined by analyzing mouse-anti-microtubule-associated protein 2 (MAP2) and mouse-anti-myelin basic protein (MBP) staining at 5 wk and 14 mo.

RESULTS

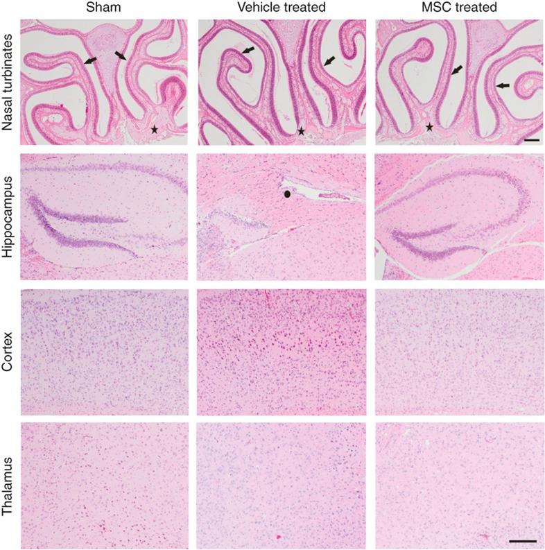
At 14 mo post-HI, we did not observe any neoplasia in the nasal turbinates, brain, or other organs of HI mice treated with MSCs. Furthermore, our results show that MSC-induced improvement of sensorimotor and cognitive function is long lasting. In contrast, HI-vehicle mice showed severe behavioral impairment. Recovery of MAP2- and MBP-positive area lasted up to 14 mo following MSC treatment.

CONCLUSION

Our results provide strong evidence of the long-term safety and positive effects of MSC treatment following neonatal HI in mice.

摘要

背景

为了进行临床转化,我们评估了缺氧缺血(HI)后经鼻给予间充质干细胞(MSC)治疗14个月时是否会在脑内或外周诱导肿瘤形成。此外,还确定了MSC对行为和损伤大小的长期影响。

方法

在9日龄小鼠中诱导HI。幼鼠在HI后10天经鼻给予0.5×10⁶个MSC或赋形剂。对每只小鼠的39个器官进行全面的宏观和微观病理分析。在HI后10天、28天、6个月和9个月时,通过圆筒饲养试验评估感觉运动行为。在HI后3个月和14个月时,用新物体识别试验测量认知能力。在5周和14个月时,通过分析小鼠抗微管相关蛋白2(MAP2)和小鼠抗髓鞘碱性蛋白(MBP)染色来确定损伤大小。

结果

在HI后14个月时,我们在接受MSC治疗的HI小鼠的鼻甲、脑或其他器官中未观察到任何肿瘤形成。此外,我们的结果表明,MSC诱导的感觉运动和认知功能改善是持久的。相比之下,HI-赋形剂组小鼠表现出严重的行为障碍。MSC治疗后MAP2和MBP阳性区域的恢复持续长达14个月。

结论

我们的结果为新生小鼠HI后MSC治疗的长期安全性和积极效果提供了有力证据。

https://cdn.ncbi.nlm.nih.gov/pmc/blobs/b67c/4635434/5598e2d518d8/pr2015145f1.jpg

文献AI研究员

20分钟写一篇综述,助力文献阅读效率提升50倍。

立即体验

用中文搜PubMed

大模型驱动的PubMed中文搜索引擎

马上搜索

文档翻译

学术文献翻译模型,支持多种主流文档格式。

立即体验