Suppr超能文献

一种罕见形式皮肤淋巴瘤的显著表现。

A dramatic presentation of an unusual form of cutaneous lymphoma.

作者信息

Yang Sam Shiyao, Su Pei Qi, Tan Kong-Bing, Aw Derrick Chen-Wee

机构信息

Department of Medicine, National University Hospital, Singapore.

Department of Pathology, National University Hospital, Singapore.

出版信息

Indian J Dermatol. 2015 Jul-Aug;60(4):422. doi: 10.4103/0019-5154.160532.

Abstract

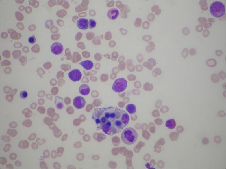
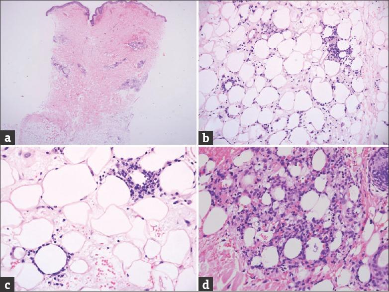
We report an unusual and dramatic presentation of a rare form of cutaneous lymphoma, known as subcutaneous panniculitis-like T-cell lymphoma (SPTCL). This patient presented with a pruritic, florid and purpuric rash that was diagnosed as lobular panniculitis and treated with oral steroids for 1 year with no success. His skin lesions would return each time oral corticosteroids were being weaned off. Upon presentation to our clinic, repeated deep skin biopsies with immunohistochemical analysis coupled with the clinical history of persistent B symptoms and the presence of pancytopenia helped clinched the rare diagnosis of SPTCL with hemophagocytosis. The patient was then started on cyclosporine and dexamethasone before definitive chemotherapy. This rare and diagnostically challenging condition is commonly misdiagnosed as benign panniculitis or eczema, and highlights the importance of repeated skin biopsies.

摘要

我们报告了一种罕见的皮肤淋巴瘤——皮下脂膜炎样T细胞淋巴瘤(SPTCL)的不寻常且显著的表现。该患者出现瘙痒、皮疹明显且呈紫癜样,最初被诊断为小叶性脂膜炎,并接受了1年的口服类固醇治疗但无效。每次停用口服皮质类固醇时,他的皮肤病变都会复发。在到我们诊所就诊时,反复进行的深层皮肤活检及免疫组化分析,结合持续存在的B症状临床病史和全血细胞减少症,有助于确诊为伴有噬血细胞现象的罕见SPTCL。然后在进行确定性化疗之前,患者开始使用环孢素和地塞米松治疗。这种罕见且诊断具有挑战性的疾病通常被误诊为良性脂膜炎或湿疹,凸显了反复进行皮肤活检的重要性。

https://cdn.ncbi.nlm.nih.gov/pmc/blobs/845c/4533575/cbcfc630596d/IJD-60-422e-g001.jpg

相似文献

1
A dramatic presentation of an unusual form of cutaneous lymphoma.
Indian J Dermatol. 2015 Jul-Aug;60(4):422. doi: 10.4103/0019-5154.160532.
4
Unusual case of subcutaneous panniculitis-like T-cell lymphoma.
Australas J Dermatol. 2004 May;45(2):114-8. doi: 10.1111/j.1440-0960.2004.00058.x.
7
Case report of subcutaneous panniculitis-like T-cell lymphoma complicated by eyelid swelling.
BMC Ophthalmol. 2016 Jul 20;16:117. doi: 10.1186/s12886-016-0303-4.
8
Remission of subcutaneous panniculitis-like T-cell lymphoma in a pregnant woman after treatment with oral corticosteroids as monotherapy.
JAAD Case Rep. 2017 Mar 20;3(2):87-89. doi: 10.1016/j.jdcr.2016.12.007. eCollection 2017 Mar.
10
Subcutaneous panniculitis-like T-cell lymphoma with macrophage activation syndrome treated by cyclosporine and prednisolone.
Indian Dermatol Online J. 2016 Nov-Dec;7(6):529-532. doi: 10.4103/2229-5178.193909.

引用本文的文献

1
Subcutaneous Panniculitis-like T-Cell Lymphoma Without Erythema and Subcutaneous Tumors.
Yonago Acta Med. 2020 Dec 25;64(1):126-128. doi: 10.33160/yam.2021.02.006. eCollection 2021 Feb.

本文引用的文献

1
An illustrative case of subcutaneous panniculitis-like T-cell lymphoma.
J Skin Cancer. 2011;2011:824528. doi: 10.1155/2011/824528. Epub 2011 Mar 3.
2
Retrospective analysis of 133 patients with cutaneous lymphomas from a single Japanese medical center between 1995 and 2008.
J Dermatol. 2011 Jun;38(6):524-30. doi: 10.1111/j.1346-8138.2010.01049.x. Epub 2010 Oct 6.
3

文献AI研究员

20分钟写一篇综述,助力文献阅读效率提升50倍。

立即体验

用中文搜PubMed

大模型驱动的PubMed中文搜索引擎

马上搜索

文档翻译

学术文献翻译模型,支持多种主流文档格式。

立即体验