Suppr超能文献

用于纵向配准到特定个体三维模板的时空正则化

Spatio-Temporal Regularization for Longitudinal Registration to Subject-Specific 3d Template.

作者信息

Guizard Nicolas, Fonov Vladimir S, García-Lorenzo Daniel, Nakamura Kunio, Aubert-Broche Bérengère, Collins D Louis

机构信息

Montreal Neurological Institute, McGill University, Montréal, Canada.

Montreal Neurological Institute, McGill University, Montréal, Canada; CENIR-ICM, Pitié Salpétrière, Paris, France.

出版信息

PLoS One. 2015 Aug 24;10(8):e0133352. doi: 10.1371/journal.pone.0133352. eCollection 2015.

Abstract

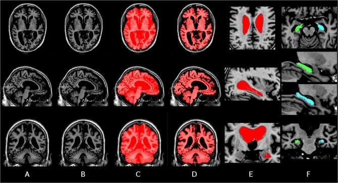
Neurodegenerative diseases such as Alzheimer's disease present subtle anatomical brain changes before the appearance of clinical symptoms. Manual structure segmentation is long and tedious and although automatic methods exist, they are often performed in a cross-sectional manner where each time-point is analyzed independently. With such analysis methods, bias, error and longitudinal noise may be introduced. Noise due to MR scanners and other physiological effects may also introduce variability in the measurement. We propose to use 4D non-linear registration with spatio-temporal regularization to correct for potential longitudinal inconsistencies in the context of structure segmentation. The major contribution of this article is the use of individual template creation with spatio-temporal regularization of the deformation fields for each subject. We validate our method with different sets of real MRI data, compare it to available longitudinal methods such as FreeSurfer, SPM12, QUARC, TBM, and KNBSI, and demonstrate that spatially local temporal regularization yields more consistent rates of change of global structures resulting in better statistical power to detect significant changes over time and between populations.

摘要

诸如阿尔茨海默病之类的神经退行性疾病在临床症状出现之前就会出现细微的脑部解剖结构变化。手动结构分割耗时且繁琐,虽然存在自动方法,但它们通常是以横断面方式进行的,即每次分析一个独立的时间点。采用这种分析方法可能会引入偏差、误差和纵向噪声。磁共振成像扫描仪产生的噪声以及其他生理效应也可能导致测量结果出现变异性。我们建议使用具有时空正则化的4D非线性配准来校正结构分割中的潜在纵向不一致性。本文的主要贡献在于为每个受试者创建个体模板并对变形场进行时空正则化。我们用不同的真实磁共振成像数据集验证了我们的方法,将其与诸如FreeSurfer、SPM12、QUARC、TBM和KNBSI等现有的纵向方法进行比较,并证明空间局部时间正则化能产生更一致的全局结构变化率,从而在检测随时间变化以及群体之间的显著变化时具有更强的统计效力。

https://cdn.ncbi.nlm.nih.gov/pmc/blobs/bfdd/4547713/bc35345da9d1/pone.0133352.g001.jpg

文献AI研究员

20分钟写一篇综述,助力文献阅读效率提升50倍。

立即体验

用中文搜PubMed

大模型驱动的PubMed中文搜索引擎

马上搜索

文档翻译

学术文献翻译模型,支持多种主流文档格式。

立即体验