Suppr超能文献

一名免疫功能低下青少年的癫痫发作:病例报告

Seizures in an immunocompromised adolescent: a case report.

作者信息

Bataduwaarachchi Vipula R, Tissera Nirmali

机构信息

Department of Pharmacology and Pharmacy, Faculty of Medicine University of Colombo, PO Box 271, Kynsey Road, Colombo 8, Sri Lanka.

Department of Medicine, National Hospital, Ward Place, Colombo, Sri Lanka.

出版信息

J Med Case Rep. 2015 Aug 28;9:184. doi: 10.1186/s13256-015-0660-2.

Abstract

INTRODUCTION

Tuberculosis is a progressive and disabling infection predominantly seen in low-income and middle-income countries. Immunocompromised patients are at a higher risk of contracting tuberculosis than the healthy population. The presentation may also be atypical, leading to delay in diagnosis. We report the first case of tuberculous cerebral vasculitis presenting with epilepsia partialis continua.

CASE PRESENTATION

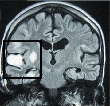
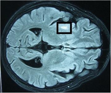
A 17-year-old adolescent boy of Sri Lankan Moor heritage was taking long-term immunosuppressants for nephrotic syndrome. He presented to hospital with focal fits affecting his left arm. He later developed choreiform movements of the same arm, progressing to epilepsia partialis continua and weakness. The gradually evolving focal neurological signs and underlying immunosuppression raised the possibility of localized cerebral infection or inflammation. Analysis of his cerebrospinal fluid showed lymphocytosis with normal cellular morphology. Magnetic resonance imaging was suggestive of progressive vasculitic infarctions of the cerebral cortex and basal ganglia. There was no evidence of active autoimmune or viral disease on hematological investigations, but molecular amplification detected Mycobacterium tuberculosis in his cerebrospinal fluid. Although our patient had been established on isoniazid preventive treatment for eight months before the episode, tuberculosis was nonetheless considered to be the most likely cause of the cerebral vasculitis. He was treated with a trial of anti-tuberculosis treatment, including streptomycin and adjunctive steroids, and made an uneventful recovery.

CONCLUSION

Clinicians should have a high index of suspicion for tuberculosis infection in patients with compromised immunity and other risk factors. The pathophysiological mechanisms underpinning cerebral vasculitis and epilepsia partialis continua are not completely understood. The efficacy of isoniazid prophylaxis in patients with immune suppression warrants further study. We present a regimen that successfully treated tuberculous cerebral vasculitis.

摘要

引言

结核病是一种主要在低收入和中等收入国家出现的进行性致残性感染。免疫功能低下的患者比健康人群感染结核病的风险更高。其临床表现也可能不典型,导致诊断延迟。我们报告首例以持续性部分性癫痫发作表现的结核性脑血管炎病例。

病例介绍

一名17岁具有斯里兰卡摩尔族血统的青少年男性因肾病综合征长期服用免疫抑制剂。他因左臂局灶性抽搐入院。随后该手臂出现舞蹈样动作,进而发展为持续性部分性癫痫发作和无力。逐渐演变的局灶性神经体征及潜在的免疫抑制提示存在局限性脑感染或炎症。其脑脊液分析显示淋巴细胞增多,细胞形态正常。磁共振成像提示大脑皮质和基底节区进行性血管炎性梗死。血液学检查未发现活动性自身免疫性或病毒性疾病证据,但分子扩增检测在其脑脊液中发现结核分枝杆菌。尽管我们的患者在此次发作前已接受异烟肼预防性治疗8个月,但结核病仍被认为是脑血管炎最可能的病因。他接受了包括链霉素和辅助性类固醇在内的抗结核治疗试验,恢复过程顺利。

结论

临床医生应对免疫功能受损及其他危险因素患者的结核感染保持高度怀疑。导致脑血管炎和持续性部分性癫痫发作的病理生理机制尚未完全明确。免疫抑制患者中异烟肼预防治疗的疗效值得进一步研究。我们介绍了一种成功治疗结核性脑血管炎的方案。

https://cdn.ncbi.nlm.nih.gov/pmc/blobs/4502/4552135/984f5de3d85b/13256_2015_660_Fig1_HTML.jpg

文献检索

告别复杂PubMed语法,用中文像聊天一样搜索,搜遍4000万医学文献。AI智能推荐,让科研检索更轻松。

立即免费搜索

文件翻译

保留排版,准确专业,支持PDF/Word/PPT等文件格式,支持 12+语言互译。

免费翻译文档

深度研究

AI帮你快速写综述,25分钟生成高质量综述,智能提取关键信息,辅助科研写作。

立即免费体验