• 文献检索
  • 文档翻译
  • 深度研究
  • 学术资讯
  • Suppr Zotero 插件Zotero 插件
  • 邀请有礼
  • 套餐&价格
  • 历史记录
应用&插件
Suppr Zotero 插件Zotero 插件浏览器插件Mac 客户端Windows 客户端微信小程序
定价
高级版会员购买积分包购买API积分包
服务
文献检索文档翻译深度研究API 文档MCP 服务
关于我们
关于 Suppr公司介绍联系我们用户协议隐私条款
关注我们

Suppr 超能文献

核心技术专利:CN118964589B侵权必究
粤ICP备2023148730 号-1Suppr @ 2026

文献检索

告别复杂PubMed语法,用中文像聊天一样搜索,搜遍4000万医学文献。AI智能推荐,让科研检索更轻松。

立即免费搜索

文件翻译

保留排版,准确专业,支持PDF/Word/PPT等文件格式,支持 12+语言互译。

免费翻译文档

深度研究

AI帮你快速写综述,25分钟生成高质量综述,智能提取关键信息,辅助科研写作。

立即免费体验

一组用于预测结直肠癌转移的癌睾丸抗原和临床风险因素

A Panel of Cancer Testis Antigens and Clinical Risk Factors to Predict Metastasis in Colorectal Cancer.

作者信息

Molania Ramyar, Mahjoubi Frouzandeh, Mirzaei Rezvan, Khatami Saeed-Reza, Mahjoubi Bahar

机构信息

Division of Medical Biotechnology, National Institute of Genetic Engineering and Biotechnology (NIGEB), Pajoohesh Boulevard, Tehran-Karaj Highway, 17th Km, P.O. Box 14965-161, Tehran, Iran ; Department of Genetics, Faculty of Science, Shahid Chamran University, Ahwaz, Iran.

Division of Medical Biotechnology, National Institute of Genetic Engineering and Biotechnology (NIGEB), Pajoohesh Boulevard, Tehran-Karaj Highway, 17th Km, P.O. Box 14965-161, Tehran, Iran.

出版信息

J Biomark. 2014;2014:272683. doi: 10.1155/2014/272683. Epub 2014 Mar 9.

DOI:10.1155/2014/272683
PMID:26317029
原文链接:https://pmc.ncbi.nlm.nih.gov/articles/PMC4437385/
Abstract

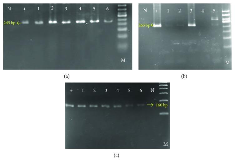
Colorectal cancer (CRC) is the third common carcinoma with a high rate of mortality worldwide and several studies have investigated some molecular and clinicopathological markers for diagnosis and prognosis of its malignant phenotypes. The aim of this study is to evaluate expression frequency of PAGE4, SCP-1, and SPANXA/D cancer testis antigen (CTA) genes as well as some clinical risk markers to predict liver metastasis of colorectal cancer patients. The expression frequency of PAGE4, SCP-1, and SPANXA/D cancer/testis antigen (CTA) genes was obtained using reverse transcription polymerase chain reaction (RT-PCR) assay in 90 colorectal tumor samples including both negative and positive liver metastasis tumors. Statistical analysis was performed to assess the association of three studied genes and clinical risk factors with CRC liver metastasis. The frequency of PAGE4 and SCP-1 genes expression was significantly higher in the primary tumours with liver metastasis when statistically compared with primary tumors with no liver metastasis (P < 0.05). Among all clinical risk factors studied, the lymph node metastasis and the depth of invasion were statistically correlated with liver metastasis of CRC patients. In addition, using multiple logistic regression, we constructed a model based on PAGE4 and lymph node metastasis to predict liver metastasis of CRC.

摘要

结直肠癌(CRC)是全球第三大常见癌症,死亡率很高,多项研究已对其恶性表型的一些分子和临床病理标志物进行了调查。本研究的目的是评估PAGE4、SCP-1和SPANXA/D癌睾丸抗原(CTA)基因的表达频率以及一些临床风险标志物,以预测结直肠癌患者的肝转移。使用逆转录聚合酶链反应(RT-PCR)检测法,在90份结直肠肿瘤样本(包括肝转移阴性和阳性肿瘤)中获得了PAGE4、SCP-1和SPANXA/D癌/睾丸抗原(CTA)基因的表达频率。进行统计分析以评估三个研究基因和临床风险因素与结直肠癌肝转移的关联。与无肝转移的原发性肿瘤相比,有肝转移的原发性肿瘤中PAGE4和SCP-1基因的表达频率显著更高(P < 0.05)。在所有研究的临床风险因素中,淋巴结转移和浸润深度与结直肠癌患者的肝转移在统计学上相关。此外,使用多元逻辑回归,我们构建了一个基于PAGE4和淋巴结转移的模型来预测结直肠癌的肝转移。

https://cdn.ncbi.nlm.nih.gov/pmc/blobs/45f0/4437385/89fd303af428/JBM2014-272683.001.jpg
https://cdn.ncbi.nlm.nih.gov/pmc/blobs/45f0/4437385/89fd303af428/JBM2014-272683.001.jpg
https://cdn.ncbi.nlm.nih.gov/pmc/blobs/45f0/4437385/89fd303af428/JBM2014-272683.001.jpg

相似文献

1
A Panel of Cancer Testis Antigens and Clinical Risk Factors to Predict Metastasis in Colorectal Cancer.一组用于预测结直肠癌转移的癌睾丸抗原和临床风险因素
J Biomark. 2014;2014:272683. doi: 10.1155/2014/272683. Epub 2014 Mar 9.
2
Cancer/testis antigens and clinical risk factors for liver metastasis of colorectal cancer: a predictive panel.癌症/睾丸抗原与结直肠癌肝转移的临床风险因素:一个预测指标组
Dis Colon Rectum. 2010 Jan;53(1):31-8. doi: 10.1007/DCR.0b013e3181bdca3a.
3
Predicting lymph node metastasis in early colorectal cancer using the CITED1 expression.利用 CITED1 表达预测早期结直肠癌的淋巴结转移。
J Surg Res. 2013 Nov;185(1):136-42. doi: 10.1016/j.jss.2013.05.041. Epub 2013 Jun 2.
4
[Identification of genes that predict lymph node metastasis in colorectal cancer cases].[预测结直肠癌病例中淋巴结转移的基因鉴定]
Fukuoka Igaku Zasshi. 2013 Dec;104(12):559-63.
5
APC, K-ras, and p53 gene mutations in colorectal cancer patients: correlation to clinicopathologic features and postoperative surveillance.结直肠癌患者中APC、K-ras和p53基因突变:与临床病理特征及术后监测的相关性
Am Surg. 2005 Apr;71(4):336-43.
6
The Prognostic Value of Cancer Stem Cell Markers (Notch1, ALDH1, and CD44) in Primary Colorectal Carcinoma.癌症干细胞标志物(Notch1、醛脱氢酶1和CD44)在原发性结直肠癌中的预后价值
J Gastrointest Cancer. 2019 Dec;50(4):824-837. doi: 10.1007/s12029-018-0156-6.
7
Expression profile of cancer-testis genes in 121 human colorectal cancer tissue and adjacent normal tissue.121例人类结直肠癌组织及癌旁正常组织中癌-睾丸基因的表达谱
Clin Cancer Res. 2005 Mar 1;11(5):1809-14. doi: 10.1158/1078-0432.CCR-04-1365.
8
[Expression of stem cell markers CD44 and Lgr5 in colorectal cancer and its relationship with lymph node and liver metastasis].[干细胞标志物CD44和Lgr5在结直肠癌中的表达及其与淋巴结和肝转移的关系]
Zhonghua Yi Xue Za Zhi. 2018 Sep 25;98(36):2899-2904. doi: 10.3760/cma.j.issn.0376-2491.2018.36.005.
9
Up-regulation of mir-10b predicate advanced clinicopathological features and liver metastasis in colorectal cancer.mir-10b的上调预示着结直肠癌患者具有更严重的临床病理特征和肝转移。
Cancer Med. 2016 Oct;5(10):2932-2941. doi: 10.1002/cam4.789. Epub 2016 Sep 4.
10
Lymphangiogenic Gene Expression Is Associated With Lymph Node Recurrence and Poor Prognosis After Partial Hepatectomy for Colorectal Liver Metastasis.淋巴管生成基因表达与结直肠肝转移部分肝切除术后淋巴结复发和预后不良相关。
Ann Surg. 2017 Nov;266(5):765-771. doi: 10.1097/SLA.0000000000002430.

引用本文的文献

1
Cancer testis antigens: Emerging therapeutic targets leveraging genomic instability in cancer.癌睾丸抗原:利用癌症基因组不稳定性的新兴治疗靶点。
Mol Ther Oncol. 2024 Jan 26;32(1):200768. doi: 10.1016/j.omton.2024.200768. eCollection 2024 Mar 21.
2
Cancer/testis antigens expression during cultivation of melanoma and soft tissue sarcoma cells.黑色素瘤和软组织肉瘤细胞培养过程中癌胚抗原的表达
Clin Sarcoma Res. 2020 Feb 4;10:3. doi: 10.1186/s13569-020-0125-2. eCollection 2020.
3
PAGE4 promotes prostate cancer cells survive under oxidative stress through modulating MAPK/JNK/ERK pathway.

本文引用的文献

1
CETN1 is a cancer testis antigen with expression in prostate and pancreatic cancers.CETN1 是一种癌症睾丸抗原,在前列腺癌和胰腺癌中表达。
Biomark Res. 2013 Jun 13;1(1):22. doi: 10.1186/2050-7771-1-22.
2
Survival after liver resection in metastatic colorectal cancer: review and meta-analysis of prognostic factors.转移性结直肠癌肝切除术后的生存:预后因素的综述和荟萃分析。
Clin Epidemiol. 2012;4:283-301. doi: 10.2147/CLEP.S34285. Epub 2012 Nov 7.
3
Serological identification of Tektin5 as a cancer/testis antigen and its immunogenicity.
PAGE4 通过调节 MAPK/JNK/ERK 通路促进前列腺癌细胞在氧化应激下存活。
J Exp Clin Cancer Res. 2019 Jan 18;38(1):24. doi: 10.1186/s13046-019-1032-3.
Tektin5 的血清学鉴定作为一种癌症/睾丸抗原及其免疫原性。
BMC Cancer. 2012 Nov 14;12:520. doi: 10.1186/1471-2407-12-520.
4
Cancer/testis (CT) antigens, carcinogenesis and spermatogenesis.癌胚/睾丸(CT)抗原、致癌作用与精子发生
Spermatogenesis. 2011 Jul-Sep;1(3):209-220. doi: 10.4161/spmg.1.3.17990. Epub 2011 Jul 1.
5
The expression of MAGE and SSX, and correlation of COX2, VEGF, and survivin in colorectal cancer.结直肠癌中 MAGE 和 SSX 的表达及 COX2、VEGF 和 survivin 的相关性。
Anticancer Res. 2012 Feb;32(2):559-64.
6
Cancer/Testis Antigens as potential predictors of biochemical recurrence of prostate cancer following radical prostatectomy.癌症/睾丸抗原作为前列腺癌根治术后生化复发的潜在预测指标。
J Transl Med. 2011 Sep 14;9:153. doi: 10.1186/1479-5876-9-153.
7
Cancer testis antigens in newly diagnosed and relapse multiple myeloma: prognostic markers and potential targets for immunotherapy.癌症睾丸抗原在新诊断和复发多发性骨髓瘤中的作用:预后标志物和免疫治疗的潜在靶点。
Haematologica. 2011 Nov;96(11):1662-9. doi: 10.3324/haematol.2010.037978. Epub 2011 Jul 26.
8
Cancer testis antigens: novel biomarkers and targetable proteins for ovarian cancer.癌症睾丸抗原:卵巢癌的新型生物标志物和靶向蛋白。
Int Rev Immunol. 2011 Apr-Jun;30(2-3):127-37. doi: 10.3109/08830185.2011.572504.
9
Identification of AKAP-4 as a new cancer/testis antigen for detection and immunotherapy of prostate cancer.鉴定 AKAP-4 为一种新的肿瘤/睾丸抗原,用于前列腺癌的检测和免疫治疗。
Prostate. 2012 Jan;72(1):12-23. doi: 10.1002/pros.21400. Epub 2011 Apr 25.
10
The biology of cancer testis antigens: putative function, regulation and therapeutic potential.癌症睾丸抗原的生物学:潜在功能、调控和治疗潜力。
Mol Oncol. 2011 Apr;5(2):164-82. doi: 10.1016/j.molonc.2011.02.001. Epub 2011 Feb 18.