• 文献检索
  • 文档翻译
  • 深度研究
  • 学术资讯
  • Suppr Zotero 插件Zotero 插件
  • 邀请有礼
  • 套餐&价格
  • 历史记录
应用&插件
Suppr Zotero 插件Zotero 插件浏览器插件Mac 客户端Windows 客户端微信小程序
定价
高级版会员购买积分包购买API积分包
服务
文献检索文档翻译深度研究API 文档MCP 服务
关于我们
关于 Suppr公司介绍联系我们用户协议隐私条款
关注我们

Suppr 超能文献

核心技术专利:CN118964589B侵权必究
粤ICP备2023148730 号-1Suppr @ 2026

文献检索

告别复杂PubMed语法,用中文像聊天一样搜索,搜遍4000万医学文献。AI智能推荐,让科研检索更轻松。

立即免费搜索

文件翻译

保留排版,准确专业,支持PDF/Word/PPT等文件格式,支持 12+语言互译。

免费翻译文档

深度研究

AI帮你快速写综述,25分钟生成高质量综述,智能提取关键信息,辅助科研写作。

立即免费体验

巴氏腺腺样囊性癌患者的多学科治疗并存活15年:一例报告及文献复习

Interdisciplinary treatment of the patient with adenoid cystic carcinoma of the Bartholin's gland resulting in 15 years' survival: a case report and review of literature.

作者信息

Nowak Marek, Rycel Magdalena, Szpakowski Marian, Kulig Andrzej, Sobotkowski Janusz, Dziki Adam

机构信息

Department of Gynecology and Gynecologic Oncology, Polish Mother's Memorial Hospital - Research Institute, Lodz, Poland.

Department of Pathology, Polish Mother's Memorial Hospital - Research Institute, Lodz, Poland.

出版信息

Prz Menopauzalny. 2014 Oct;13(5):310-2. doi: 10.5114/pm.2014.46474. Epub 2014 Nov 2.

DOI:10.5114/pm.2014.46474
PMID:26327872
原文链接:https://pmc.ncbi.nlm.nih.gov/articles/PMC4520381/
Abstract

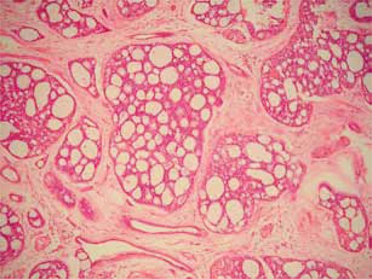
Carcinoma of the Bartholin's gland is very rare, comprises below 2% of Bartholin's gland lesions and adenoid cystic carcinoma (ADC) is one of the most uncommon variants and accounts for 10-15% of Bartholin's gland malignancies. There is no consensus on treatment of ADC of the Bartholin's gland: reported cases were treated with local excision or vulvectomy with or without lymphadenectomy followed or not by radiotherapy. The survival of patients varies significantly, so we present a case of interdisciplinary treatment of ADC resulting in 15 years' survival. The patient was initially treated with local excision, but the margins were not clear. Then vulvectomy, inguinal lymphadenectomy and adjuvant brachytherapy were performed resulting in 7 years free of the disease. Relapses were excised by abdominoperineal amputation of the rectum and distal part of the vagina with sigmoideostomy, excisions of local recurrences in vagina and metastasectomy of isolated lung metastases. The patient died manifesting multiple lung metastases 15 years after the initial diagnosis. Based on our experience and world literature, in cases of adenoid cystic carcinoma of the Bartholin's gland, vulvectomy with or without lymphadenectomy should be considered as a treatment of choice and in patients with positive margin, surgery should be extended by adjuvant radiotherapy.

摘要

巴氏腺腺癌非常罕见,占巴氏腺病变的比例不到2%,而腺样囊性癌(ADC)是最不常见的变体之一,占巴氏腺恶性肿瘤的10 - 15%。对于巴氏腺ADC的治疗尚无共识:报告的病例采用局部切除或外阴切除术,伴或不伴淋巴结清扫术,术后是否进行放疗。患者的生存率差异很大,因此我们报告一例通过多学科治疗使患者存活15年的腺样囊性癌病例。患者最初接受局部切除,但切缘不清晰。随后进行了外阴切除术、腹股沟淋巴结清扫术和辅助近距离放疗,患者无病生存7年。复发时通过腹会阴直肠和阴道远端切除术加乙状结肠造口术、阴道局部复发灶切除术以及孤立性肺转移灶切除术进行治疗。患者在初次诊断15年后因出现多发肺转移而死亡。根据我们的经验和世界文献,对于巴氏腺腺样囊性癌病例,应考虑行外阴切除术伴或不伴淋巴结清扫术作为首选治疗方法,对于切缘阳性的患者,手术应辅以辅助放疗。

https://cdn.ncbi.nlm.nih.gov/pmc/blobs/099b/4520381/a412a71e5f37/MR-13-23841-g001.jpg
https://cdn.ncbi.nlm.nih.gov/pmc/blobs/099b/4520381/a412a71e5f37/MR-13-23841-g001.jpg
https://cdn.ncbi.nlm.nih.gov/pmc/blobs/099b/4520381/a412a71e5f37/MR-13-23841-g001.jpg

相似文献

1
Interdisciplinary treatment of the patient with adenoid cystic carcinoma of the Bartholin's gland resulting in 15 years' survival: a case report and review of literature.巴氏腺腺样囊性癌患者的多学科治疗并存活15年:一例报告及文献复习
Prz Menopauzalny. 2014 Oct;13(5):310-2. doi: 10.5114/pm.2014.46474. Epub 2014 Nov 2.
2
Liver metastasis in a case of adenoid cystic carcinoma of the Bartholin's gland: a rare presentation.巴氏腺腺样囊性癌伴肝转移:一种罕见的表现。
Arch Gynecol Obstet. 2009 May;279(5):747-50. doi: 10.1007/s00404-008-0771-8. Epub 2008 Sep 18.
3
Adenoid Cystic Carcinoma of Bartholin's Gland: A Case Report with Emphasis on Surgical Management.巴氏腺腺样囊性癌:重视手术治疗的病例报告。
Am J Case Rep. 2022 Mar 9;23:e935707. doi: 10.12659/AJCR.935707.
4
Adenoid cystic carcinoma of Bartholin's Gland. Case report with review of the literature.巴氏腺腺样囊性癌。病例报告并文献复习
Gynecol Obstet Invest. 2005;59(1):54-8. doi: 10.1159/000081468. Epub 2004 Oct 12.
5
Adenoid cystic carcinoma of the Bartholin's gland: report of two cases and review of the literature.巴氏腺腺样囊性癌:两例报告并文献复习
Gynecol Oncol. 2006 Feb;100(2):422-5. doi: 10.1016/j.ygyno.2005.08.030. Epub 2005 Sep 27.
6
Adenoid cystic carcinoma of Bartholin's gland: a review of the literature and report of a patient.巴氏腺腺样囊性癌:文献综述及一例患者报告
Gynecol Oncol. 1996 Apr;61(1):122-5. doi: 10.1006/gyno.1996.0109.
7
Report of two cases of adenoid cystic carcinoma of Bartholin's gland and review of literature.报告两例巴氏腺腺样囊性癌,并复习文献。
Taiwan J Obstet Gynecol. 2013 Mar;52(1):113-6. doi: 10.1016/j.tjog.2012.10.005.
8
Adenoid cystic carcinoma of the Bartholin's gland: a case report and literature review.巴氏腺腺样囊性癌:一例报告及文献复习
J Int Med Res. 2020 Feb;48(2):300060519863540. doi: 10.1177/0300060519863540. Epub 2019 Jul 29.
9
Adenoid cystic carcinoma of Bartholin's gland diagnosed after lung lobectomy: Review of the literature and a case presentation.肺叶切除术后诊断的巴氏腺腺样囊性癌:文献综述及病例报告
Turk J Obstet Gynecol. 2020 Dec;17(4):310-313. doi: 10.4274/tjod.galenos.2020.39225. Epub 2020 Dec 10.
10
Adenoid cystic carcinoma of Bartholin's gland with lung metastasis: a case report.巴氏腺腺样囊性癌伴肺转移:一例报告
Eur J Gynaecol Oncol. 2009;30(3):317-20.

引用本文的文献

1
29-year-old with dyspareunia and vulvar mass: An unusual diagnosis of Bartholin's gland carcinoma.29岁女性,性交困难伴外阴肿物:巴氏腺癌的罕见诊断病例
Gynecol Oncol Rep. 2018 Nov 16;27:15-18. doi: 10.1016/j.gore.2018.11.003. eCollection 2019 Feb.
2
A Case of Adenoid Cystic Carcinoma Mimicking a Bartholin Cyst and Literature Review.1例酷似巴氏腺囊肿的腺样囊性癌病例及文献复习
Case Rep Obstet Gynecol. 2018 Mar 26;2018:5256876. doi: 10.1155/2018/5256876. eCollection 2018.
3
Adenoid Cystic Carcinoma of Vulva-11 Years' Single-Institution Experience.

本文引用的文献

1
Adenoid cystic carcinoma of the Bartholin's gland: case report and systematic review of the literature.巴氏腺腺样囊性癌:病例报告及文献系统综述
Eur J Gynaecol Oncol. 2011;32(5):567-72.
2
Bartholin gland carcinoma.巴氏腺癌
Indian J Pathol Microbiol. 2010 Jan-Mar;53(1):171-2. doi: 10.4103/0377-4929.59221.
3
The pathomorphology of Bartholin's gland. Analysis of surgical data.巴氏腺的病理形态学。手术资料分析。
外阴腺样囊性癌——单机构11年经验
J Obstet Gynaecol India. 2017 Jun;67(3):196-201. doi: 10.1007/s13224-016-0935-6. Epub 2016 Sep 19.
Pol J Pathol. 2007;58(2):99-103.
4
Adenoid cystic carcinoma of the Bartholin gland: an overview.巴氏腺腺样囊性癌:综述
Arch Pathol Lab Med. 2007 May;131(5):796-8. doi: 10.5858/2007-131-796-ACCOTB.
5
Bartholin's gland carcinoma: a 15-year experience.巴氏腺癌:15年经验总结
Gynecol Oncol. 2001 Aug;82(2):247-51. doi: 10.1006/gyno.2001.6304.
6
Adenoid cystic carcinoma of Bartholin's gland: what is the optimal approach?巴氏腺腺样囊性癌:最佳治疗方法是什么?
Eur J Surg Oncol. 1999 Aug;25(4):406-9. doi: 10.1053/ejso.1999.0666.
7
Adenoid cystic carcinoma of the vulva. Malignant cylindroma.外阴腺样囊性癌。恶性圆柱瘤。
Obstet Gynecol. 1978 Jan;51(1 Suppl):26s-29s.