Suppr超能文献

亚急性期局部递送高剂量软骨素酶ABC可促进完全性脊髓横断后轴突生长和功能恢复。

Local Delivery of High-Dose Chondroitinase ABC in the Sub-Acute Stage Promotes Axonal Outgrowth and Functional Recovery after Complete Spinal Cord Transection.

作者信息

Cheng Chu-Hsun, Lin Chi-Te, Lee Meng-Jen, Tsai May-Jywan, Huang Wen-Hung, Huang Ming-Chao, Lin Yi-Lo, Chen Ching-Jung, Huang Wen-Cheng, Cheng Henrich

机构信息

Program in Molecular Medicine, National Yang-Ming University and Academia Sinica, Taipei, Taiwan; Institute of Pharmacology, School of Medicine, National Yang-Ming University, Taipei, Taiwan; Neural Regeneration Laboratory, Department of Neurosurgery, Neurological Institute, Taipei Veterans General Hospital, Taipei, Taiwan.

Neural Regeneration Laboratory, Department of Neurosurgery, Neurological Institute, Taipei Veterans General Hospital, Taipei, Taiwan; Department of Nursing, Central Taiwan University of Science and Technology, Taichung, Taiwan.

出版信息

PLoS One. 2015 Sep 22;10(9):e0138705. doi: 10.1371/journal.pone.0138705. eCollection 2015.

Abstract

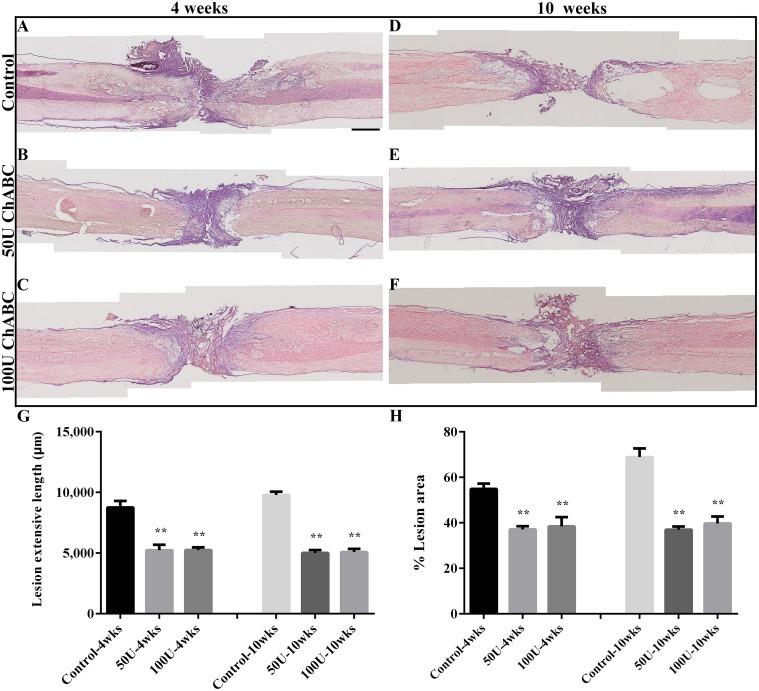
Chondroitin sulfate proteoglycans (CSPGs) are glial scar-associated molecules considered axonal regeneration inhibitors and can be digested by chondroitinase ABC (ChABC) to promote axonal regeneration after spinal cord injury (SCI). We previously demonstrated that intrathecal delivery of low-dose ChABC (1 U) in the acute stage of SCI promoted axonal regrowth and functional recovery. In this study, high-dose ChABC (50 U) introduced via intrathecal delivery induced subarachnoid hemorrhage and death within 48 h. However, most SCI patients are treated in the sub-acute or chronic stages, when the dense glial scar has formed and is minimally digested by intrathecal delivery of ChABC at the injury site. The present study investigated whether intraparenchymal delivery of ChABC in the sub-acute stage of complete spinal cord transection would promote axonal outgrowth and improve functional recovery. We observed no functional recovery following the low-dose ChABC (1 U or 5 U) treatments. Furthermore, animals treated with high-dose ChABC (50 U or 100 U) showed decreased CSPGs levels. The extent and area of the lesion were also dramatically decreased after ChABC treatment. The outgrowth of the regenerating axons was significantly increased, and some partially crossed the lesion site in the ChABC-treated groups. In addition, retrograde Fluoro-Gold (FG) labeling showed that the outgrowing axons could cross the lesion site and reach several brain stem nuclei involved in sensory and motor functions. The Basso, Beattie and Bresnahan (BBB) open field locomotor scores revealed that the ChABC treatment significantly improved functional recovery compared to the control group at eight weeks after treatment. Our study demonstrates that high-dose ChABC treatment in the sub-acute stage of SCI effectively improves glial scar digestion by reducing the lesion size and increasing axonal regrowth to the related functional nuclei, which promotes locomotor recovery. Thus, our results will aid in the treatment of spinal cord injury.

摘要

硫酸软骨素蛋白聚糖(CSPGs)是与胶质瘢痕相关的分子,被认为是轴突再生抑制剂,可被软骨素酶ABC(ChABC)消化,以促进脊髓损伤(SCI)后的轴突再生。我们之前证明,在SCI急性期鞘内注射低剂量ChABC(1 U)可促进轴突再生和功能恢复。在本研究中,通过鞘内注射引入的高剂量ChABC(50 U)在48小时内导致蛛网膜下腔出血和死亡。然而,大多数SCI患者在亚急性或慢性阶段接受治疗,此时致密的胶质瘢痕已经形成,鞘内注射ChABC在损伤部位对其消化作用极小。本研究调查了在完全性脊髓横断亚急性期实质内注射ChABC是否会促进轴突生长并改善功能恢复。我们观察到低剂量ChABC(1 U或5 U)治疗后没有功能恢复。此外,接受高剂量ChABC(50 U或100 U)治疗的动物CSPGs水平降低。ChABC治疗后病变的范围和面积也显著减小。再生轴突的生长在ChABC治疗组中显著增加,一些轴突部分穿过了病变部位。此外,逆行荧光金(FG)标记显示,生长出的轴突可以穿过病变部位并到达几个参与感觉和运动功能的脑干核。Basso、Beattie和Bresnahan(BBB)旷场运动评分显示,与对照组相比,ChABC治疗在治疗后八周显著改善了功能恢复。我们的研究表明,SCI亚急性期高剂量ChABC治疗通过减小病变大小和增加轴突向相关功能核的生长,有效改善了胶质瘢痕的消化,从而促进了运动功能恢复。因此,我们的结果将有助于脊髓损伤的治疗。

https://cdn.ncbi.nlm.nih.gov/pmc/blobs/250d/4579094/4c20d3efe4ab/pone.0138705.g001.jpg

文献AI研究员

20分钟写一篇综述,助力文献阅读效率提升50倍。

立即体验

用中文搜PubMed

大模型驱动的PubMed中文搜索引擎

马上搜索

文档翻译

学术文献翻译模型,支持多种主流文档格式。

立即体验