Suppr超能文献

钾离子通道开放剂在尼可地尔对环磷酰胺诱导的大鼠肺和睾丸毒性的保护作用中的作用。

Role of the KATP channel in the protective effect of nicorandil on cyclophosphamide-induced lung and testicular toxicity in rats.

作者信息

Ahmed Lamiaa A, El-Maraghy Shohda A, Rizk Sherine M

机构信息

Department of Pharmacology and Toxicology, Faculty of Pharmacy, Cairo University, Cairo, Egypt.

Department of Biochemistry, Faculty of Pharmacy, Cairo University, Cairo, Egypt.

出版信息

Sci Rep. 2015 Sep 25;5:14043. doi: 10.1038/srep14043.

Abstract

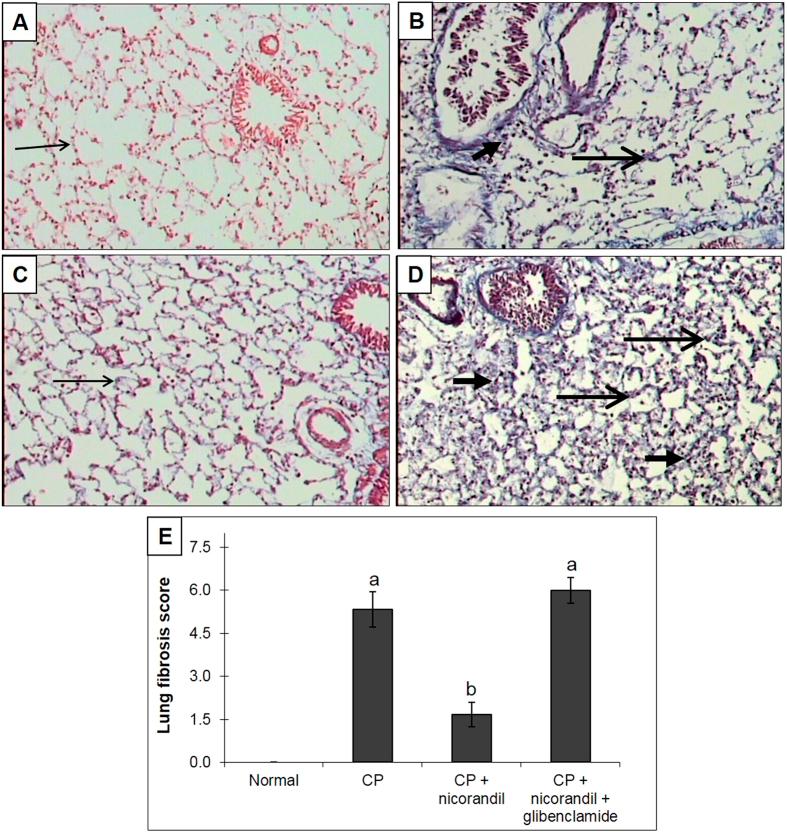
This study is the first to investigate the role of the KATP channel in the possible protection mediated by nicorandil against cyclophosphamide-induced lung and testicular toxicity in rats. Animals received cyclophosphamide (150 mg/kg/day, i.p.) for 2 consecutive days and then were untreated for the following 5 days. Nicorandil (3 mg/kg/day, p.o.) was administered starting from the day of cyclophosphamide injection with or without glibenclamide (5 mg/kg/day, p.o.). Nicorandil administration significantly reduced the cyclophosphamide-induced deterioration of testicular function, as demonstrated by increases in the level of serum testosterone and the activities of the testicular 3β- hydroxysteroid, 17β-hydroxysteroid and sorbitol dehydrogenases. Furthermore, nicorandil significantly alleviated oxidative stress (as determined by lipid peroxides and reduced glutathione levels and total antioxidant capacity), as well as inflammatory markers (tumour necrosis factor-α and interleukin-1β), in bronchoalveolar lavage fluid and testicular tissue. Finally, the therapy decreased the levels of fibrogenic markers (transforming growth factor-β and hydroxyproline) and ameliorated the histological alterations (as assessed by lung fibrosis grading and testicular Johnsen scores). The co-administration of glibenclamide (a KATP channel blocker) blocked the protective effects of nicorandil. In conclusion, KATP channel activation plays an important role in the protective effect of nicorandil against cyclophosphamide-induced lung and testicular toxicity.

摘要

本研究首次探究了钾离子通道开放剂(KATP)通道在尼可地尔介导的对环磷酰胺诱导的大鼠肺和睾丸毒性的可能保护作用中的角色。动物连续2天接受环磷酰胺(150毫克/千克/天,腹腔注射),然后在接下来的5天不进行处理。从注射环磷酰胺当天开始给予尼可地尔(3毫克/千克/天,口服),同时或不同时给予格列本脲(5毫克/千克/天,口服)。尼可地尔给药显著减轻了环磷酰胺诱导的睾丸功能恶化,血清睾酮水平以及睾丸3β-羟基类固醇、17β-羟基类固醇和山梨醇脱氢酶活性的增加证明了这一点。此外,尼可地尔显著减轻了支气管肺泡灌洗液和睾丸组织中的氧化应激(通过脂质过氧化物、还原型谷胱甘肽水平和总抗氧化能力测定)以及炎症标志物(肿瘤坏死因子-α和白细胞介素-1β)。最后,该治疗降低了纤维化标志物(转化生长因子-β和羟脯氨酸)的水平,并改善了组织学改变(通过肺纤维化分级和睾丸约翰森评分评估)。格列本脲(一种KATP通道阻滞剂)的联合给药阻断了尼可地尔的保护作用。总之,KATP通道激活在尼可地尔对环磷酰胺诱导的肺和睾丸毒性的保护作用中起重要作用。

https://cdn.ncbi.nlm.nih.gov/pmc/blobs/6a31/4585895/a1a0a63a4811/srep14043-f1.jpg

文献AI研究员

20分钟写一篇综述,助力文献阅读效率提升50倍。

立即体验

用中文搜PubMed

大模型驱动的PubMed中文搜索引擎

马上搜索

文档翻译

学术文献翻译模型,支持多种主流文档格式。

立即体验